1St Mtp Joint

Understanding the intricacies of the 1st MTP joint is crucial for anyone involved in podiatry, orthopedics, or sports medicine. This joint, located at the base of the big toe, plays a pivotal role in the biomechanics of the foot and overall gait. This blog post delves into the anatomy, common issues, and treatment options related to the 1st MTP joint, providing a comprehensive guide for both professionals and individuals seeking to understand this critical part of the foot.

Anatomy of the 1st MTP Joint

The 1st MTP joint, or the first metatarsophalangeal joint, is a complex structure that connects the first metatarsal bone of the foot to the proximal phalanx of the big toe. This joint is essential for various movements, including flexion, extension, abduction, and adduction. The joint is stabilized by several ligaments and tendons, which work together to provide stability and mobility.

The 1st MTP joint is particularly important because it bears a significant amount of weight during walking and running. The joint's range of motion allows for the push-off phase of gait, where the big toe helps propel the body forward. Any issues with this joint can lead to significant discomfort and mobility problems.

Common Issues with the 1st MTP Joint

Several conditions can affect the 1st MTP joint, leading to pain, stiffness, and reduced mobility. Some of the most common issues include:

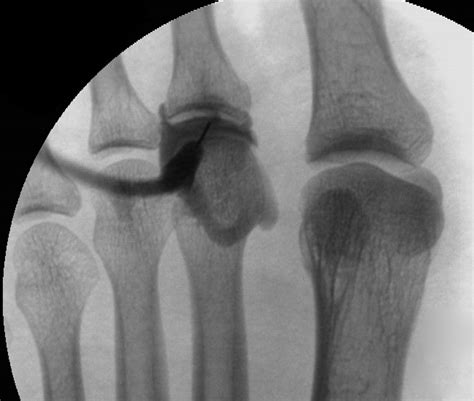
  • Hallux Rigidus: This condition is characterized by stiffness and limited range of motion in the 1st MTP joint. It often results from osteoarthritis and can cause significant pain during activities that require pushing off with the big toe.
  • Hallux Valgus: Also known as a bunion, this condition involves a misalignment of the big toe, causing it to angle towards the second toe. This can lead to pain, swelling, and difficulty wearing shoes.
  • Sesamoiditis: The sesamoid bones are small bones embedded within the tendons of the big toe. Inflammation of these bones, known as sesamoiditis, can cause pain and discomfort in the 1st MTP joint.
  • Turf Toe: This injury occurs when the big toe is hyperextended, often due to sudden stops or changes in direction. It can cause significant pain and swelling in the 1st MTP joint.

Diagnosing Issues with the 1st MTP Joint

Diagnosing problems with the 1st MTP joint typically involves a combination of physical examination, medical history, and imaging tests. A healthcare professional will assess the joint's range of motion, tenderness, and any visible deformities. Imaging tests such as X-rays, MRI, or CT scans may be used to get a clearer picture of the joint's structure and identify any underlying issues.

During the physical examination, the healthcare provider may perform specific tests to evaluate the 1st MTP joint. These tests can include:

  • Range of Motion Tests: Assessing the joint's ability to flex and extend.
  • Stability Tests: Evaluating the joint's stability and any signs of laxity.
  • Pain Provocation Tests: Identifying specific movements or positions that cause pain.

Imaging tests provide detailed views of the joint and surrounding structures. X-rays can show bone abnormalities, while MRI and CT scans offer more detailed images of soft tissues, ligaments, and tendons.

Treatment Options for 1st MTP Joint Issues

Treatment for 1st MTP joint issues depends on the severity of the condition and the underlying cause. Conservative treatments are often the first line of defense, focusing on reducing pain and improving mobility. In more severe cases, surgical intervention may be necessary.

Conservative Treatment Options

Conservative treatments aim to manage symptoms and improve joint function without surgery. These options include:

  • Rest and Ice: Reducing activity and applying ice to the affected area can help reduce inflammation and pain.
  • Medications: Over-the-counter pain relievers such as ibuprofen or naproxen can help manage pain and inflammation.
  • Physical Therapy: Exercises and stretches can improve joint mobility and strengthen the surrounding muscles.
  • Orthotics: Custom orthotic devices can help correct alignment issues and reduce pressure on the 1st MTP joint.
  • Shoe Modifications: Wearing shoes with a wider toe box and good arch support can alleviate pressure on the joint.

In some cases, corticosteroid injections may be used to reduce inflammation and pain. However, these injections should be used sparingly due to potential side effects.

Surgical Treatment Options

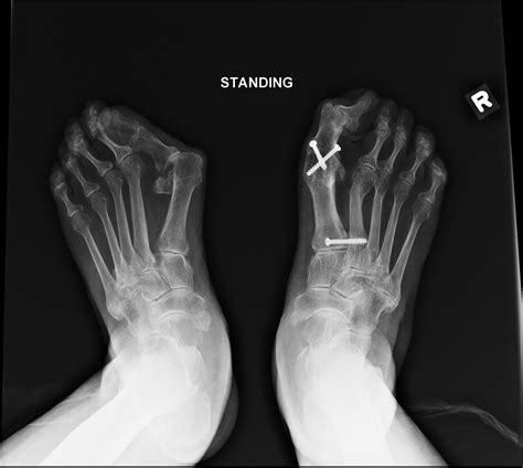
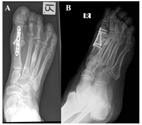
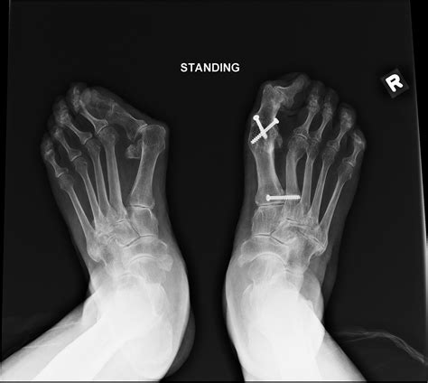
When conservative treatments fail to provide relief, surgical intervention may be necessary. The type of surgery depends on the specific condition and the extent of the damage. Common surgical procedures for 1st MTP joint issues include:

  • Cheilectomy: This procedure involves removing bone spurs or other obstructions that limit joint movement.
  • Osteotomy: Realigning the bones to correct deformities and improve joint function.
  • Arthrodesis: Fusing the joint to eliminate pain and improve stability, although this limits mobility.
  • Arthroplasty: Replacing the damaged joint with an artificial implant to restore function and reduce pain.

Surgical procedures are typically followed by a period of rehabilitation, including physical therapy and gradual return to normal activities.

📝 Note: Always consult with a healthcare professional before starting any treatment plan, especially if considering surgical options.

Preventing Issues with the 1st MTP Joint

Preventing issues with the 1st MTP joint involves maintaining good foot health and taking proactive measures to protect the joint. Some preventive strategies include:

  • Wearing Proper Footwear: Choose shoes that provide good support and have a wide toe box to reduce pressure on the joint.
  • Maintaining a Healthy Weight: Excess weight can put additional stress on the 1st MTP joint, increasing the risk of injury and wear.
  • Regular Exercise: Engage in activities that strengthen the muscles and tendons around the joint, such as stretching and low-impact exercises.
  • Avoiding High-Impact Activities: Limit activities that involve sudden stops or changes in direction, which can increase the risk of injury.

Regular check-ups with a podiatrist or orthopedic specialist can also help identify potential issues early, allowing for timely intervention and prevention of more serious problems.

Understanding the Impact of the 1st MTP Joint on Overall Foot Health

The 1st MTP joint plays a crucial role in the overall biomechanics of the foot. Any issues with this joint can have a ripple effect, affecting other parts of the foot and even the lower leg. For example, problems with the 1st MTP joint can lead to changes in gait, which can cause pain and discomfort in the knees, hips, and back.

Maintaining the health of the 1st MTP joint is essential for overall foot health and mobility. Regular exercise, proper footwear, and timely intervention for any issues can help ensure that the joint functions optimally, reducing the risk of long-term problems.

Understanding the anatomy, common issues, and treatment options for the 1st MTP joint is the first step in maintaining good foot health. By taking proactive measures and seeking professional help when needed, individuals can ensure that their 1st MTP joint remains healthy and functional, supporting an active and pain-free lifestyle.

In conclusion, the 1st MTP joint is a vital component of the foot, essential for mobility and overall foot health. By understanding its anatomy, recognizing common issues, and seeking appropriate treatment, individuals can maintain the health of this critical joint. Whether through conservative measures or surgical intervention, addressing problems with the 1st MTP joint promptly can prevent long-term complications and ensure continued mobility and comfort.

Related Terms:

  • 1st mtp joint rom
  • 1st mtp joint arthritis
  • 1st mtp joint osteoarthritis
  • 1st mtp joint foot
  • 1st mtp joint ligaments
  • 1st mtp joint anatomy
Facebook Twitter WA
Ashley
Ashley
Author
Passionate content creator delivering insightful articles on technology, lifestyle, and more. Dedicated to bringing quality content that matters.
You Might Like