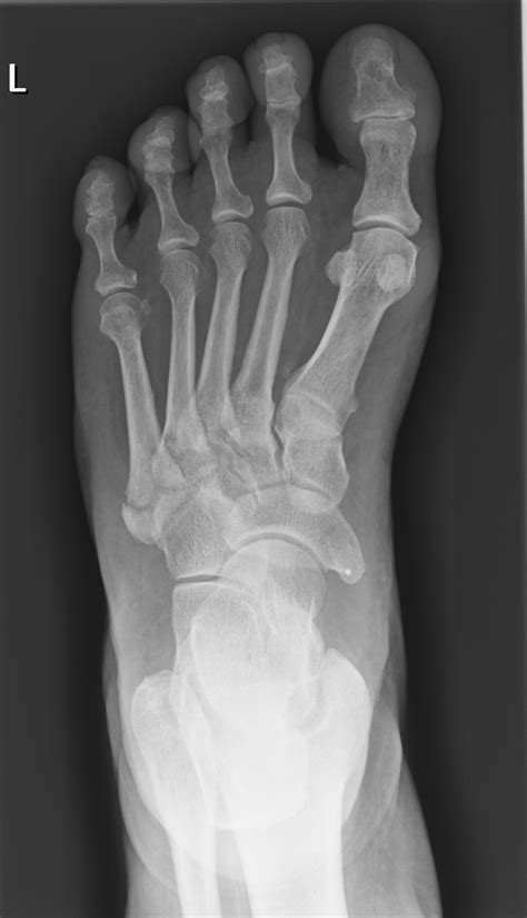
5Th Metatarsal Base

Injuries to the foot can be debilitating, and one of the most common and painful issues is a fracture at the 5th metatarsal base. This specific area of the foot is crucial for stability and movement, making any injury here particularly challenging to manage. Understanding the causes, symptoms, diagnosis, and treatment options for a 5th metatarsal base fracture is essential for anyone dealing with this condition or seeking to prevent it.

Understanding the 5th Metatarsal Base

The 5th metatarsal base is the outer part of the foot, near the little toe. This area is particularly vulnerable to fractures due to its location and the forces it endures during physical activities. The 5th metatarsal base is connected to several ligaments and tendons, which help stabilize the foot and ankle. When this area is injured, it can significantly impact mobility and daily activities.

Causes of 5th Metatarsal Base Fractures

Fractures at the 5th metatarsal base can occur due to various reasons, including:

  • Traumatic Injuries: Direct impact or trauma to the foot, such as dropping a heavy object on it or a severe twist during sports.
  • Overuse: Repetitive stress on the foot, often seen in athletes who engage in high-impact activities like running or jumping.
  • Poor Footwear: Wearing shoes that lack proper support or cushioning can increase the risk of fractures.
  • Underlying Conditions: Conditions like osteoporosis can weaken the bones, making them more susceptible to fractures.

Symptoms of a 5th Metatarsal Base Fracture

Recognizing the symptoms of a 5th metatarsal base fracture is crucial for prompt treatment. Common symptoms include:

  • Pain: Severe pain in the outer part of the foot, especially when walking or standing.
  • Swelling: Noticeable swelling and bruising around the affected area.
  • Difficulty Walking: Inability to bear weight on the injured foot.
  • Tenderness: Extreme tenderness when touching the 5th metatarsal base.

Diagnosing a 5th Metatarsal Base Fracture

Diagnosing a 5th metatarsal base fracture typically involves a combination of physical examination and imaging tests. The diagnostic process may include:

  • Physical Examination: A healthcare provider will assess the foot for swelling, tenderness, and range of motion.
  • X-Rays: Imaging tests to visualize the bone and identify any fractures.
  • CT Scans or MRIs: In some cases, more detailed imaging may be required to assess the extent of the injury.

Treatment Options for a 5th Metatarsal Base Fracture

The treatment for a 5th metatarsal base fracture depends on the severity of the injury. Common treatment options include:

  • Rest, Ice, Compression, and Elevation (RICE): Initial treatment to reduce pain and swelling.
  • Immobilization: Using a cast, boot, or brace to keep the foot stable and promote healing.
  • Pain Management: Over-the-counter pain relievers or prescription medications to manage discomfort.
  • Physical Therapy: Exercises to improve strength and flexibility once the fracture has healed.
  • Surgery: In severe cases, surgical intervention may be necessary to realign the bone and promote healing.

Recovery and Rehabilitation

Recovery from a 5th metatarsal base fracture can take several weeks to months, depending on the severity of the injury. The rehabilitation process typically involves:

  • Gradual Weight-Bearing: Slowly increasing the amount of weight placed on the injured foot as it heals.
  • Physical Therapy: Exercises to improve range of motion, strength, and balance.
  • Follow-Up Appointments: Regular check-ups with a healthcare provider to monitor progress and adjust the treatment plan as needed.

📝 Note: It is crucial to follow the healthcare provider's instructions carefully to ensure proper healing and prevent complications.

Preventing 5th Metatarsal Base Fractures

Preventing a 5th metatarsal base fracture involves taking proactive measures to protect the foot. Some effective strategies include:

  • Wearing Proper Footwear: Choosing shoes that provide adequate support and cushioning.
  • Gradual Increase in Activity: Slowly increasing the intensity and duration of physical activities to avoid overuse injuries.
  • Strengthening Exercises: Incorporating exercises to strengthen the muscles and ligaments in the foot and ankle.
  • Maintaining Bone Health: Ensuring adequate calcium and vitamin D intake to maintain bone strength.

Common Complications

While most 5th metatarsal base fractures heal without complications, there are some potential issues to be aware of:

  • Non-Union: The bone fails to heal properly, which may require surgical intervention.
  • Malunion: The bone heals in an improper position, which can affect foot function.
  • Chronic Pain: Persistent pain in the affected area, even after the fracture has healed.

📝 Note: If you experience any of these complications, it is important to consult with a healthcare provider for further evaluation and treatment.

When to Seek Medical Attention

If you suspect a 5th metatarsal base fracture, it is essential to seek medical attention promptly. Some signs that warrant immediate medical care include:

  • Severe pain that does not improve with rest and ice.
  • Inability to bear weight on the injured foot.
  • Visible deformity or swelling.
  • Numbness or tingling in the foot or toes.

Prompt diagnosis and treatment can significantly improve the outcome and reduce the risk of complications.

Comparative Table of Treatment Options

Treatment Option Description Duration Effectiveness
RICE Method Rest, Ice, Compression, Elevation Initial 48-72 hours Reduces pain and swelling
Immobilization Cast, boot, or brace 4-6 weeks Promotes healing and stability
Pain Management Over-the-counter or prescription medications As needed Manages discomfort
Physical Therapy Exercises to improve strength and flexibility Several weeks to months Enhances recovery and function
Surgery Realignment of the bone Varies based on the procedure Necessary for severe fractures

In conclusion, a 5th metatarsal base fracture is a common and painful injury that requires prompt diagnosis and appropriate treatment. Understanding the causes, symptoms, and treatment options can help individuals manage this condition effectively and prevent future injuries. By taking proactive measures to protect the foot and following a structured rehabilitation plan, individuals can achieve a full recovery and return to their daily activities with confidence.

Related Terms:

  • fifth metatarsal
  • 5th metatarsal base fracture orthobullets
  • 5th metatarsal base fracture
  • 5th metatarsal base apophysitis
  • 5th metatarsal base fracture radiology
  • 5th metatarsal fracture healing timeline
Facebook Twitter WA
Ashley
Ashley
Author
Passionate content creator delivering insightful articles on technology, lifestyle, and more. Dedicated to bringing quality content that matters.
You Might Like