Achilles Calcaneal Spur

Achilles Calcaneal Spur, also known as a heel spur, is a bony growth that develops on the underside of the heel bone. This condition is often associated with plantar fasciitis, an inflammation of the tissue that connects the heel bone to the toes. Understanding the causes, symptoms, and treatment options for Achilles Calcaneal Spur is crucial for managing this condition effectively.

Understanding Achilles Calcaneal Spur

Achilles Calcaneal Spur is a common foot condition that can cause significant discomfort and pain. It occurs when calcium deposits form a bony protrusion on the underside of the heel bone. This spur can vary in size and shape, and its presence can lead to inflammation and pain, particularly in the morning or after periods of rest.

Causes of Achilles Calcaneal Spur

The exact cause of Achilles Calcaneal Spur is not always clear, but several factors are known to contribute to its development:

  • Plantar Fasciitis: This is the most common cause. The inflammation of the plantar fascia can lead to the formation of a heel spur.
  • Excessive Prolonged Strain: Activities that place excessive strain on the heel and foot, such as running or jumping, can contribute to the development of a heel spur.
  • Foot Mechanics: Abnormal foot mechanics, such as flat feet or high arches, can increase the risk of developing a heel spur.
  • Age: The risk of developing a heel spur increases with age, as the plantar fascia can become less flexible over time.
  • Obesity: Excess weight can put additional pressure on the feet, leading to the formation of a heel spur.

Symptoms of Achilles Calcaneal Spur

The symptoms of Achilles Calcaneal Spur can vary, but they often include:

  • Heel Pain: This is the most common symptom, often described as a sharp, stabbing pain in the heel.
  • Pain Upon Waking: Pain is often most severe in the morning or after periods of rest.
  • Pain After Activity: Pain can also worsen after prolonged standing or physical activity.
  • Swelling: In some cases, swelling may be present around the heel.

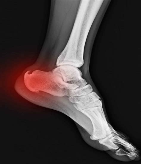
Diagnosing Achilles Calcaneal Spur

Diagnosing Achilles Calcaneal Spur typically involves a combination of a physical examination and imaging tests. A healthcare provider will:

  • Examine the foot and heel for signs of inflammation and tenderness.
  • Review the patient's medical history and symptoms.
  • Order imaging tests, such as X-rays, to confirm the presence of a heel spur.

In some cases, additional tests such as MRI or ultrasound may be recommended to assess the extent of the inflammation and damage to the plantar fascia.

Treatment Options for Achilles Calcaneal Spur

Treatment for Achilles Calcaneal Spur focuses on relieving pain and reducing inflammation. The specific treatment plan will depend on the severity of the condition and the individual's overall health. Common treatment options include:

  • Rest and Ice: Resting the affected foot and applying ice can help reduce inflammation and pain.
  • Medications: Over-the-counter pain relievers such as ibuprofen or naproxen can help manage pain and inflammation.
  • Orthotics: Custom orthotic devices can help support the foot and reduce strain on the plantar fascia.
  • Physical Therapy: Exercises and stretches can help improve flexibility and strength in the foot and ankle.
  • Corticosteroid Injections: Injections of corticosteroids can help reduce inflammation and pain.
  • Extracorporeal Shock Wave Therapy (ESWT): This non-invasive treatment uses sound waves to stimulate healing in the affected area.
  • Surgery: In severe cases, surgery may be recommended to remove the heel spur and repair the plantar fascia.

It is important to note that treatment for Achilles Calcaneal Spur often involves a combination of these approaches. A healthcare provider can help determine the most effective treatment plan based on the individual's needs and the severity of the condition.

📝 Note: Always consult with a healthcare provider before starting any new treatment plan.

Preventing Achilles Calcaneal Spur

While not all cases of Achilles Calcaneal Spur can be prevented, there are several steps that can be taken to reduce the risk of developing this condition:

  • Maintain a Healthy Weight: Excess weight can put additional pressure on the feet, increasing the risk of heel spurs.
  • Wear Proper Footwear: Choose shoes that provide good support and cushioning to reduce strain on the feet.
  • Stretch Regularly: Regular stretching exercises can help improve flexibility and reduce the risk of injury.
  • Gradual Increase in Activity: Gradually increase the intensity and duration of physical activities to allow the body to adapt.
  • Address Foot Mechanics: If you have flat feet or high arches, consider using orthotic devices to improve foot mechanics.

Living with Achilles Calcaneal Spur

Living with Achilles Calcaneal Spur can be challenging, but with the right management strategies, it is possible to reduce pain and improve quality of life. Here are some tips for managing this condition:

  • Follow Your Treatment Plan: Stick to the treatment plan recommended by your healthcare provider to manage symptoms effectively.
  • Stay Active: Engage in low-impact activities such as swimming or cycling to maintain fitness without exacerbating symptoms.
  • Monitor Symptoms: Keep track of your symptoms and report any changes to your healthcare provider.
  • Seek Support: Consider joining a support group or seeking counseling if the condition is affecting your mental health.

Achilles Calcaneal Spur can be a painful and debilitating condition, but with proper management and treatment, it is possible to reduce symptoms and improve quality of life.

Achilles Calcaneal Spur is a common foot condition that can cause significant discomfort and pain. Understanding the causes, symptoms, and treatment options for this condition is crucial for managing it effectively. By following a comprehensive treatment plan and taking steps to prevent the condition, individuals can reduce pain and improve their overall quality of life.

Related Terms:

  • heel spur causing achilles tendonitis
  • achilles calcaneal spur icd 10
  • 4 mm plantar calcaneal spur
  • achilles tendon bone spur pictures
  • achilles tendonitis from bone spur
  • bone spur behind achilles tendon
Facebook Twitter WA
Ashley
Ashley
Author
Passionate content creator delivering insightful articles on technology, lifestyle, and more. Dedicated to bringing quality content that matters.
You Might Like