Angle Of Cobb

Understanding the Angle of Cobb is crucial for anyone involved in the diagnosis and treatment of scoliosis, a condition characterized by an abnormal curvature of the spine. This angle, named after John Cobb, a prominent orthopedic surgeon, is a key measurement used to assess the severity of scoliosis and guide treatment decisions. This blog post delves into the significance of the Angle of Cobb, its measurement techniques, and its role in managing scoliosis.

What is the Angle of Cobb?

The Angle of Cobb is a standard method used to quantify the degree of spinal curvature in individuals with scoliosis. It involves measuring the angle formed between the most tilted vertebrae above and below the apex of the curve. This measurement helps healthcare providers determine the severity of the curvature and monitor its progression over time.

Importance of the Angle of Cobb in Scoliosis Management

The Angle of Cobb plays a pivotal role in the management of scoliosis. It is used to:

  • Assess the severity of the curvature.
  • Determine the appropriate treatment plan.
  • Monitor the progression of the condition.
  • Evaluate the effectiveness of treatment interventions.

By providing a quantitative measure of the spinal curvature, the Angle of Cobb enables healthcare providers to make informed decisions about whether to pursue conservative treatments, such as bracing, or more invasive options, like surgery.

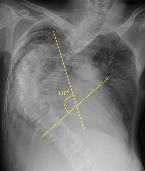
Measuring the Angle of Cobb

Measuring the Angle of Cobb involves several steps, typically performed using X-ray images. Here is a detailed guide on how to measure the Angle of Cobb:

  1. Obtain a standing posteroanterior (PA) X-ray of the spine.
  2. Identify the most tilted vertebrae above and below the apex of the curve.
  3. Draw a line along the endplate of the most tilted vertebra above the apex.
  4. Draw a line along the endplate of the most tilted vertebra below the apex.
  5. Draw perpendicular lines to these endplate lines.
  6. Measure the angle formed by the intersection of the perpendicular lines.

This angle is the Angle of Cobb and represents the degree of spinal curvature.

📝 Note: It is essential to ensure that the X-ray images are of high quality and taken with the patient standing upright to obtain accurate measurements.

Interpreting the Angle of Cobb

The Angle of Cobb is interpreted based on the following categories:

Angle of Cobb Severity Treatment Options
10° or less Mild Observation and monitoring
11° to 25° Moderate Bracing and physical therapy
26° to 40° Severe Bracing and possible surgery
41° or more Very Severe Surgery

These categories help guide treatment decisions, with milder curvatures often managed through observation and physical therapy, while more severe cases may require surgical intervention.

Treatment Options Based on the Angle of Cobb

The Angle of Cobb is a critical factor in determining the appropriate treatment plan for scoliosis. Here are the common treatment options based on the severity of the curvature:

  • Observation and Monitoring: For mild curvatures (10° or less), regular monitoring through X-rays and clinical examinations is often sufficient. No immediate treatment may be necessary unless the curve progresses.
  • Bracing: For moderate curvatures (11° to 25°), bracing is commonly recommended. Braces help to slow or stop the progression of the curve, especially in growing children and adolescents.
  • Physical Therapy: Physical therapy exercises can help improve posture, strengthen the muscles supporting the spine, and reduce pain. It is often used in conjunction with other treatments.
  • Surgery: For severe curvatures (26° or more), surgical intervention may be necessary. Surgery aims to correct the curvature, stabilize the spine, and prevent further progression.

Each treatment option has its own set of benefits and risks, and the decision to pursue a particular course of action should be made in consultation with a healthcare provider.

Monitoring Progression with the Angle of Cobb

Regular monitoring of the Angle of Cobb is essential for tracking the progression of scoliosis and adjusting treatment plans as needed. Healthcare providers typically recommend follow-up X-rays at intervals determined by the severity of the curvature and the patient’s age. For example:

  • Mild curvatures may be monitored every 6 to 12 months.
  • Moderate curvatures may require more frequent monitoring, such as every 3 to 6 months.
  • Severe curvatures may need to be monitored every 3 to 4 months, especially in growing children.

By closely monitoring the Angle of Cobb, healthcare providers can intervene early if the curvature progresses, ensuring timely and effective treatment.

Challenges and Limitations of the Angle of Cobb

While the Angle of Cobb is a widely accepted method for measuring spinal curvature, it does have some limitations and challenges:

  • Inter-Observer Variability: Different healthcare providers may measure the Angle of Cobb slightly differently, leading to variations in the reported angle.
  • X-Ray Quality: The accuracy of the measurement depends on the quality of the X-ray images. Poor-quality images can lead to inaccurate measurements.
  • Patient Positioning: The patient’s position during the X-ray can affect the measurement. It is crucial to ensure that the patient is standing upright with the shoulders and hips level.
  • Curve Complexity: In cases of complex curves, measuring the Angle of Cobb can be more challenging and may require additional measurements.

Despite these challenges, the Angle of Cobb remains a valuable tool in the assessment and management of scoliosis.

📝 Note: To minimize inter-observer variability, it is recommended that the same healthcare provider measure the Angle of Cobb over time, or that measurements be reviewed by multiple providers to ensure consistency.

Advances in Scoliosis Measurement

While the Angle of Cobb is the gold standard for measuring spinal curvature, advancements in technology have led to the development of alternative methods. These include:

  • 3D Imaging: Three-dimensional imaging techniques, such as CT scans and MRI, provide a more detailed view of the spine and can help in the assessment of complex curves.
  • Surface Topography: Non-invasive surface topography systems use infrared sensors to create a 3D model of the back, allowing for the measurement of spinal curvature without radiation exposure.
  • Biomechanical Models: Biomechanical models use mathematical algorithms to simulate the behavior of the spine under different conditions, providing insights into the progression of scoliosis and the effectiveness of treatment interventions.

These advancements offer promising alternatives to traditional X-ray-based measurements, but they are not yet widely available or standardized.

![Scoliosis X-ray](https://upload.wikimedia.org/wikipedia/commons/thumb/9/9f/Scoliosis_X-ray.jpg/1200px-Scoliosis_X-ray.jpg)

Conclusion

The Angle of Cobb is a fundamental measurement in the diagnosis and management of scoliosis. It provides a quantitative assessment of spinal curvature, guiding treatment decisions and monitoring the progression of the condition. By understanding the significance of the Angle of Cobb and its measurement techniques, healthcare providers can offer more effective and personalized care to individuals with scoliosis. Regular monitoring and timely intervention are key to managing scoliosis and improving patient outcomes.

Related Terms:

  • cobb angle of 9 degrees
  • cobb angle of 5 degrees
  • cobb angle how to measure
  • cobb angle of 12 degrees
  • cobb angle interpretation
  • cobb angle of 8 degrees
Facebook Twitter WA
Ashley
Ashley
Author
Passionate content creator delivering insightful articles on technology, lifestyle, and more. Dedicated to bringing quality content that matters.
You Might Like