Artritis En La Rodilla

Artritis en la rodilla, or knee arthritis, is a common condition that affects millions of people worldwide. It is characterized by the inflammation and degeneration of the knee joint, leading to pain, stiffness, and reduced mobility. Understanding the causes, symptoms, and treatment options for artritis en la rodilla is crucial for managing this condition effectively.

Understanding Artritis en la Rodilla

Artritis en la rodilla can be categorized into several types, each with its own set of symptoms and causes. The most common types include:

  • Osteoarthritis: This is the most prevalent form of artritis en la rodilla, often referred to as "wear and tear" arthritis. It occurs when the cartilage that cushions the knee joint wears down over time, leading to bone-on-bone contact and inflammation.
  • Rheumatoid Arthritis: This is an autoimmune disorder where the body's immune system attacks the synovium, the lining of the membranes that surround the joints. This can lead to severe inflammation and damage to the knee joint.
  • Post-Traumatic Arthritis: This type of arthritis develops after an injury to the knee, such as a fracture or ligament tear. The trauma can cause long-term damage to the joint, leading to arthritis.
  • Psoriatic Arthritis: This form of arthritis is associated with psoriasis, a skin condition. It can affect the knee joint, causing inflammation and pain.

Symptoms of Artritis en la Rodilla

The symptoms of artritis en la rodilla can vary depending on the type and severity of the condition. Common symptoms include:

  • Pain: Persistent pain in the knee joint, which can worsen with activity and improve with rest.
  • Stiffness: Stiffness in the knee, especially after periods of inactivity, such as first thing in the morning or after sitting for a long time.
  • Swelling: Inflammation and swelling around the knee joint.
  • Reduced Range of Motion: Difficulty bending or straightening the knee fully.
  • Instability: A feeling of the knee giving way or buckling.
  • Grinding Sensation: A grating or grinding sensation when moving the knee.

Diagnosing Artritis en la Rodilla

Diagnosing artritis en la rodilla involves a combination of medical history, physical examination, and diagnostic tests. The diagnostic process typically includes:

  • Medical History: The healthcare provider will ask about symptoms, their duration, and any family history of arthritis.
  • Physical Examination: The doctor will examine the knee for swelling, tenderness, and range of motion.
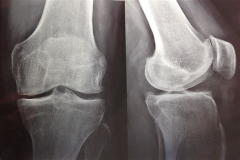
  • Imaging Tests: X-rays, MRI, or CT scans may be used to visualize the knee joint and assess the extent of damage.
  • Blood Tests: Blood tests can help identify specific types of arthritis, such as rheumatoid arthritis, by detecting certain antibodies or markers.
  • Joint Fluid Analysis: In some cases, a sample of joint fluid may be taken to check for inflammation or infection.

Treatment Options for Artritis en la Rodilla

Treatment for artritis en la rodilla aims to reduce pain, improve mobility, and slow the progression of the disease. The treatment plan may include a combination of the following:

Medications

Several types of medications can be used to manage artritis en la rodilla:

  • Pain Relievers: Over-the-counter pain relievers such as acetaminophen can help manage mild to moderate pain.
  • Nonsteroidal Anti-Inflammatory Drugs (NSAIDs): NSAIDs like ibuprofen or naproxen can reduce pain and inflammation.
  • Disease-Modifying Antirheumatic Drugs (DMARDs): These medications are used to treat rheumatoid arthritis by slowing the progression of the disease.
  • Corticosteroids: Injections of corticosteroids into the knee joint can provide temporary relief from pain and inflammation.
  • Hyaluronic Acid Injections: These injections can help lubricate the knee joint and reduce pain.

Physical Therapy

Physical therapy plays a crucial role in managing artritis en la rodilla. A physical therapist can design a personalized exercise program to:

  • Improve knee strength and flexibility.
  • Enhance range of motion.
  • Reduce pain and inflammation.
  • Improve overall mobility and function.

Lifestyle Changes

Making certain lifestyle changes can also help manage artritis en la rodilla:

  • Weight Management: Maintaining a healthy weight can reduce stress on the knee joint and alleviate symptoms.
  • Exercise: Regular low-impact exercises, such as swimming or cycling, can help strengthen the muscles around the knee and improve flexibility.
  • Assistive Devices: Using a cane or knee brace can provide additional support and reduce pain.

Surgical Options

In severe cases, surgery may be recommended to treat artritis en la rodilla. Surgical options include:

  • Arthroscopy: A minimally invasive procedure to repair damaged tissue or remove loose fragments in the knee joint.
  • Osteotomy: A procedure to realign the knee joint by cutting and reshaping the bones.
  • Knee Replacement: A surgical procedure to replace the damaged knee joint with an artificial implant.

Preventing Artritis en la Rodilla

While not all types of artritis en la rodilla can be prevented, there are steps you can take to reduce your risk:

  • Maintain a Healthy Weight: Excess weight puts additional stress on the knee joints, increasing the risk of arthritis.
  • Stay Active: Regular exercise helps strengthen the muscles around the knee and improves joint stability.
  • Avoid Injuries: Wear appropriate protective gear during sports and physical activities to prevent knee injuries.
  • Proper Nutrition: A balanced diet rich in vitamins and minerals can support overall joint health.

Living with Artritis en la Rodilla

Living with artritis en la rodilla can be challenging, but with the right management strategies, it is possible to maintain a good quality of life. Here are some tips for coping with the condition:

  • Educate Yourself: Learn about your specific type of arthritis and the available treatment options.
  • Stay Active: Engage in regular physical activity to maintain joint mobility and strength.
  • Manage Pain: Use medications, heat or cold therapy, and other pain management techniques as recommended by your healthcare provider.
  • Seek Support: Join support groups or connect with others who have artritis en la rodilla to share experiences and advice.

📝 Note: It's important to work closely with your healthcare provider to develop a personalized treatment plan that addresses your specific needs and goals.

Artritis en la rodilla is a complex condition that requires a comprehensive approach to management. By understanding the causes, symptoms, and treatment options, individuals can take proactive steps to manage their condition effectively. Regular medical check-ups, adherence to treatment plans, and lifestyle modifications can significantly improve the quality of life for those living with artritis en la rodilla.

Related Terms:

  • osteoartritis de rodilla
  • osteoartritis de rodilla tratamiento
  • que es artrosis de rodilla
  • que es osteoartritis de rodilla
  • desgaste en la rodilla
  • artritis de rodilla sintomas
Facebook Twitter WA
Ashley
Ashley
Author
Passionate content creator delivering insightful articles on technology, lifestyle, and more. Dedicated to bringing quality content that matters.
You Might Like