Atelectasis Lung Cancer

Understanding the complexities of *Atelectasis Lung Cancer* is crucial for both medical professionals and patients. This condition, while not as widely discussed as other forms of lung cancer, presents unique challenges and requires specific management strategies. This blog post aims to provide a comprehensive overview of *Atelectasis Lung Cancer*, including its causes, symptoms, diagnosis, treatment options, and preventive measures.

What is Atelectasis Lung Cancer?

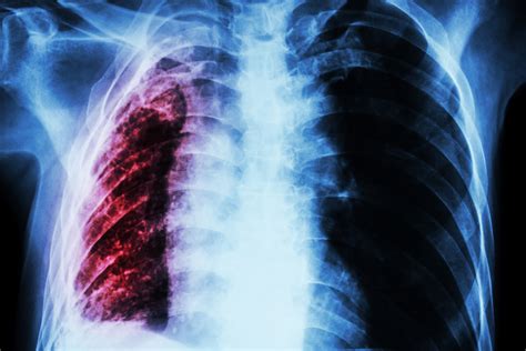
Atelectasis is a condition where the lung tissue collapses or fails to expand properly, leading to reduced oxygen intake. When this condition is associated with lung cancer, it is referred to as Atelectasis Lung Cancer. This type of cancer can be particularly challenging to diagnose and treat due to the underlying lung collapse, which can obscure symptoms and complicate diagnostic procedures.

Causes of Atelectasis Lung Cancer

The causes of Atelectasis Lung Cancer are multifaceted and can be attributed to several factors:

  • Smoking: Tobacco smoking is one of the primary causes of lung cancer, including Atelectasis Lung Cancer. The carcinogens in cigarette smoke damage lung tissue, leading to the development of cancerous cells.
  • Exposure to Asbestos: Prolonged exposure to asbestos fibers can cause lung tissue damage and increase the risk of developing lung cancer.
  • Genetic Factors: A family history of lung cancer can increase the likelihood of developing the disease.
  • Environmental Pollutants: Exposure to environmental pollutants, such as radon gas and industrial chemicals, can also contribute to the development of lung cancer.

Symptoms of Atelectasis Lung Cancer

The symptoms of Atelectasis Lung Cancer can vary depending on the stage and location of the cancer. Common symptoms include:

  • Shortness of Breath: Due to the collapsed lung tissue, patients may experience difficulty breathing.
  • Chest Pain: Persistent chest pain that worsens with deep breathing or coughing.
  • Coughing: A persistent cough that may produce blood-tinged sputum.
  • Fatigue: Extreme tiredness and weakness.
  • Weight Loss: Unexplained weight loss.
  • Fever: Low-grade fever that may be accompanied by night sweats.

Diagnosis of Atelectasis Lung Cancer

Diagnosing Atelectasis Lung Cancer involves a combination of medical history, physical examination, and diagnostic tests. The diagnostic process typically includes:

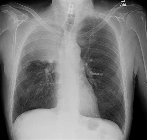
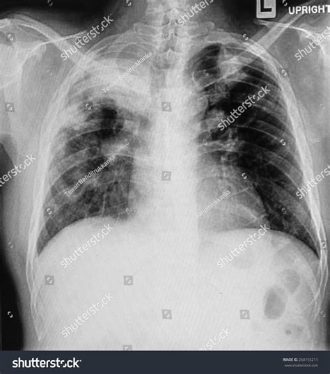
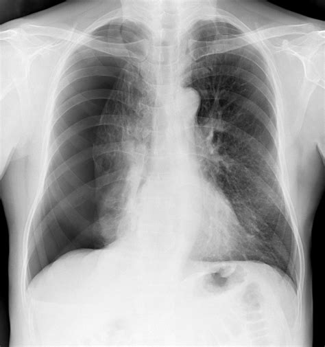
  • Chest X-ray: An initial imaging test to detect any abnormalities in the lungs.
  • CT Scan: A more detailed imaging test that provides a clearer picture of the lung tissue and any potential tumors.
  • Bronchoscopy: A procedure where a flexible tube with a camera is inserted into the lungs to visualize the airways and collect tissue samples.
  • Biopsy: A tissue sample is taken from the affected area and examined under a microscope to confirm the presence of cancerous cells.
  • Pulmonary Function Tests: Tests to measure lung capacity and function, which can help assess the extent of lung collapse.

Treatment Options for Atelectasis Lung Cancer

The treatment of Atelectasis Lung Cancer depends on the stage of the cancer, the patient’s overall health, and the extent of lung collapse. Common treatment options include:

  • Surgery: Surgical procedures to remove the cancerous tissue and restore lung function. This may involve lobectomy (removal of a lobe) or pneumonectomy (removal of an entire lung).
  • Chemotherapy: The use of drugs to kill cancer cells. Chemotherapy can be administered before or after surgery to shrink the tumor or eliminate any remaining cancer cells.
  • Radiation Therapy: The use of high-energy radiation to destroy cancer cells. Radiation therapy can be used alone or in combination with other treatments.
  • Targeted Therapy: Drugs that target specific genetic mutations in cancer cells, such as EGFR inhibitors or ALK inhibitors.
  • Immunotherapy: Treatments that boost the body’s immune system to fight cancer cells, such as checkpoint inhibitors.

Preventive Measures for Atelectasis Lung Cancer

Preventing Atelectasis Lung Cancer involves adopting a healthy lifestyle and avoiding known risk factors. Key preventive measures include:

  • Quitting Smoking: Avoiding tobacco products and seeking help to quit smoking if necessary.
  • Avoiding Asbestos Exposure: Taking precautions to avoid exposure to asbestos and other harmful substances.
  • Regular Exercise: Engaging in regular physical activity to maintain overall health and lung function.
  • Healthy Diet: Consuming a balanced diet rich in fruits, vegetables, and whole grains.
  • Regular Check-ups: Undergoing regular medical check-ups and screenings, especially for individuals with a family history of lung cancer.

Living with Atelectasis Lung Cancer

Living with Atelectasis Lung Cancer can be challenging, but with the right support and management strategies, patients can improve their quality of life. Key aspects of living with the condition include:

  • Support Groups: Joining support groups for emotional and psychological support.
  • Physical Therapy: Engaging in physical therapy to improve lung function and overall mobility.
  • Nutritional Support: Working with a nutritionist to ensure a balanced diet that supports recovery.
  • Pain Management: Using pain management techniques to alleviate discomfort and improve quality of life.

📝 Note: It is important for patients to work closely with their healthcare team to develop a personalized treatment plan that addresses their specific needs and concerns.

Research and Future Directions

Research into Atelectasis Lung Cancer is ongoing, with a focus on developing more effective treatments and improving diagnostic techniques. Some of the key areas of research include:

  • Genetic Studies: Identifying genetic mutations that contribute to the development of lung cancer and developing targeted therapies.
  • Immunotherapy: Exploring new immunotherapeutic approaches to enhance the body’s natural defenses against cancer.
  • Early Detection: Developing more sensitive diagnostic tools to detect lung cancer at an early stage, when treatment is most effective.
  • Personalized Medicine: Tailoring treatment plans to individual patients based on their genetic profile and specific needs.

Researchers are also investigating the role of lifestyle factors, such as diet and exercise, in preventing and managing *Atelectasis Lung Cancer*. By understanding the complex interplay between genetic, environmental, and lifestyle factors, scientists hope to develop more effective strategies for prevention and treatment.

Case Studies and Success Stories

Real-life case studies and success stories can provide valuable insights into the management and treatment of Atelectasis Lung Cancer. These stories highlight the importance of early detection, personalized treatment plans, and the role of support systems in improving outcomes. For example, a patient who underwent early surgical intervention and followed a comprehensive rehabilitation program may experience a significant improvement in lung function and overall quality of life.

Another success story might involve a patient who benefited from targeted therapy, which specifically addressed the genetic mutations in their cancer cells. This approach not only improved the patient's prognosis but also minimized the side effects associated with traditional chemotherapy.

These case studies underscore the importance of a multidisciplinary approach to managing *Atelectasis Lung Cancer*, involving collaboration between oncologists, pulmonologists, surgeons, and other healthcare professionals.

In addition to medical interventions, the emotional and psychological support provided by family, friends, and support groups can play a crucial role in a patient's recovery. The journey through *Atelectasis Lung Cancer* is often challenging, but with the right support and treatment, patients can achieve positive outcomes and maintain a good quality of life.

In conclusion, Atelectasis Lung Cancer is a complex condition that requires a comprehensive understanding of its causes, symptoms, diagnosis, and treatment options. By adopting preventive measures, seeking early diagnosis, and following a personalized treatment plan, patients can improve their chances of successful management and recovery. Ongoing research and advancements in medical technology continue to offer hope for better outcomes and improved quality of life for those affected by this condition.

Related Terms:

  • left lung base subsegmental atelectasis
  • subsegmental atelectasis versus scarring lung
  • can atelectasis lead to cancer
  • symptoms of atelectasis lung
  • atelectasis and or scarring
  • what causes atelectasis lung
Facebook Twitter WA
Ashley
Ashley
Author
Passionate content creator delivering insightful articles on technology, lifestyle, and more. Dedicated to bringing quality content that matters.
You Might Like