Bone Spur In Shoulder

Shoulder pain can be debilitating, affecting daily activities and overall quality of life. One common cause of shoulder pain is a bone spur in shoulder. This condition, also known as osteophytes, occurs when extra bone grows on the normal bone surface, often due to injury, aging, or degenerative conditions like arthritis. Understanding the causes, symptoms, diagnosis, and treatment options for a bone spur in the shoulder is crucial for effective management and relief.

Understanding Bone Spurs

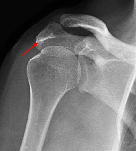
A bone spur is a bony projection that develops along bone edges. In the shoulder, bone spurs can form on the acromion (the highest point of the shoulder blade), the humerus (upper arm bone), or the clavicle (collarbone). These spurs can cause pain and limit shoulder movement, especially when they rub against tendons, ligaments, or other bones.

Causes of Bone Spurs in the Shoulder

Several factors can contribute to the development of bone spurs in the shoulder:

  • Age: As we age, the body's ability to repair and regenerate bone tissue decreases, leading to the formation of bone spurs.
  • Injury: Trauma or injury to the shoulder can cause bone spurs to form as the body attempts to repair the damaged area.
  • Arthritis: Osteoarthritis and rheumatoid arthritis can cause inflammation and damage to the shoulder joint, leading to bone spur formation.
  • Overuse: Repetitive motions and overuse of the shoulder, common in athletes and manual laborers, can lead to bone spurs.
  • Genetics: Some people may be genetically predisposed to developing bone spurs.

Symptoms of a Bone Spur in the Shoulder

The symptoms of a bone spur in the shoulder can vary depending on the location and size of the spur. Common symptoms include:

  • Pain: Persistent or intermittent pain in the shoulder, which may worsen with movement.
  • Stiffness: Reduced range of motion and stiffness in the shoulder joint.
  • Swelling: Inflammation and swelling around the shoulder area.
  • Weakness: Weakness in the shoulder and arm, making it difficult to perform daily activities.
  • Grunting or popping sounds: Audible sounds during shoulder movement, indicating friction between the bone spur and surrounding tissues.

Diagnosing a Bone Spur in the Shoulder

Diagnosing a bone spur in the shoulder involves a combination of medical history, physical examination, and diagnostic tests. Here are the steps typically involved:

  • Medical History: The healthcare provider will ask about symptoms, any recent injuries, and medical conditions that may contribute to bone spur formation.
  • Physical Examination: The provider will examine the shoulder for tenderness, swelling, and range of motion. They may also perform specific tests to assess shoulder strength and stability.
  • Imaging Tests: Diagnostic imaging tests, such as X-rays, CT scans, or MRI scans, can help visualize the bone spur and assess the extent of the damage. These tests provide detailed images of the shoulder joint and surrounding tissues.

Here is a table summarizing the diagnostic tests commonly used to identify bone spurs in the shoulder:

Test Description Purpose
X-ray Uses radiation to produce images of the bones. Identify bone spurs and assess bone structure.
CT Scan Uses X-rays and computer technology to create detailed images of the bones and soft tissues. Provide a more detailed view of the bone spur and surrounding tissues.
MRI Scan Uses magnetic fields and radio waves to produce images of the bones and soft tissues. Assess the condition of the tendons, ligaments, and other soft tissues around the shoulder.

📝 Note: Diagnostic tests should be interpreted by a qualified healthcare provider to ensure accurate diagnosis and appropriate treatment.

Treatment Options for Bone Spurs in the Shoulder

Treatment for a bone spur in the shoulder depends on the severity of the symptoms and the underlying cause. The primary goal is to relieve pain, reduce inflammation, and improve shoulder function. Treatment options include:

  • Conservative Treatments:
    • Rest: Avoiding activities that aggravate the shoulder pain.
    • Ice: Applying ice packs to the affected area to reduce swelling and numb pain.
    • Medications: Over-the-counter pain relievers and anti-inflammatory drugs to manage pain and inflammation.
    • Physical Therapy: Exercises to improve shoulder strength, flexibility, and range of motion.
    • Corticosteroid Injections: Injections to reduce inflammation and pain.
  • Surgical Treatments:
    • Arthroscopy: A minimally invasive procedure using a small camera and instruments to remove the bone spur and repair any damaged tissues.
    • Open Surgery: A more invasive procedure involving a larger incision to access and remove the bone spur.

Here is a table summarizing the treatment options for bone spurs in the shoulder:

Treatment Option Description Purpose
Rest Avoiding activities that cause pain. Reduce strain on the shoulder.
Ice Applying ice packs to the affected area. Reduce swelling and numb pain.
Medications Over-the-counter pain relievers and anti-inflammatory drugs. Manage pain and inflammation.
Physical Therapy Exercises to improve shoulder strength and flexibility. Enhance shoulder function and range of motion.
Corticosteroid Injections Injections to reduce inflammation and pain. Provide temporary relief from symptoms.
Arthroscopy A minimally invasive procedure to remove the bone spur. Repair damaged tissues and improve shoulder function.
Open Surgery A more invasive procedure to access and remove the bone spur. Remove the bone spur and repair any damaged tissues.

📝 Note: Surgical treatments are typically considered when conservative treatments fail to provide relief. The choice of treatment depends on the individual's symptoms, overall health, and preferences.

Preventing Bone Spurs in the Shoulder

While it may not be possible to prevent all cases of bone spurs, certain measures can help reduce the risk:

  • Maintain a Healthy Weight: Excess weight can put additional strain on the shoulder joints, increasing the risk of bone spurs.
  • Exercise Regularly: Regular exercise helps strengthen the muscles and ligaments around the shoulder, providing better support and reducing the risk of injury.
  • Proper Technique: Use proper technique during physical activities and sports to avoid shoulder injuries.
  • Avoid Repetitive Motions: Take breaks and vary activities to avoid repetitive motions that can lead to bone spurs.
  • Manage Arthritis: If you have arthritis, follow your healthcare provider's recommendations for managing the condition to reduce the risk of bone spurs.

Bone spurs in the shoulder can be a challenging condition to manage, but with the right approach, it is possible to find relief and improve shoulder function. Understanding the causes, symptoms, and treatment options for a bone spur in the shoulder is the first step toward effective management. By working closely with a healthcare provider and following a comprehensive treatment plan, individuals can alleviate pain, reduce inflammation, and regain shoulder mobility.

In summary, a bone spur in the shoulder is a common condition that can cause significant pain and discomfort. Understanding the underlying causes, recognizing the symptoms, and seeking appropriate diagnosis and treatment are essential for managing this condition effectively. Whether through conservative treatments or surgical interventions, there are various options available to help individuals find relief and improve their quality of life. By taking proactive measures to prevent bone spurs and following a comprehensive treatment plan, individuals can overcome the challenges posed by this condition and regain shoulder function.

Related Terms:

  • bone spurs shoulder treatment
  • bone spurs in shoulder surgery
  • bone spurs in shoulder symptoms
  • extra bone in shoulder
  • are shoulder bone spurs painful
  • subacromial spur shoulder treatment
Facebook Twitter WA
Ashley
Ashley
Author
Passionate content creator delivering insightful articles on technology, lifestyle, and more. Dedicated to bringing quality content that matters.
You Might Like