Bone Spurs On Feet

Bone spurs on feet, also known as osteophytes, are bony projections that develop along bone edges. These spurs can form on any bone but are particularly common in the feet, where they often develop in response to injury, wear and tear, or underlying conditions like arthritis. Understanding the causes, symptoms, and treatment options for bone spurs on feet is crucial for managing this condition effectively.

Understanding Bone Spurs on Feet

Bone spurs are essentially the body's response to stress or damage. When the body detects damage or stress, it attempts to repair the area by building extra bone. Over time, this extra bone can form a spur. In the feet, bone spurs often develop in areas that bear significant weight, such as the heels, toes, and the balls of the feet.

Causes of Bone Spurs on Feet

Several factors can contribute to the development of bone spurs on feet:

  • Arthritis: Osteoarthritis and rheumatoid arthritis are common causes of bone spurs. These conditions cause inflammation and damage to the joints, leading to the formation of spurs.
  • Injury: Trauma or injury to the foot can result in bone spurs as the body attempts to repair the damaged area.
  • Age: As people age, the risk of developing bone spurs increases due to the natural wear and tear on the joints.
  • Obesity: Excess weight puts additional stress on the feet, increasing the likelihood of bone spur formation.
  • Poor Foot Mechanics: Conditions like flat feet or high arches can alter the distribution of weight on the feet, leading to the development of bone spurs.

Symptoms of Bone Spurs on Feet

Bone spurs on feet do not always cause symptoms. However, when they do, the symptoms can vary depending on the location and size of the spur. Common symptoms include:

  • Pain: Pain is often the most noticeable symptom, especially when walking or standing for extended periods.
  • Swelling: Inflammation around the affected area can cause swelling.
  • Reduced Mobility: The presence of a bone spur can limit the range of motion in the affected joint.
  • Tenderness: The area around the spur may be tender to the touch.

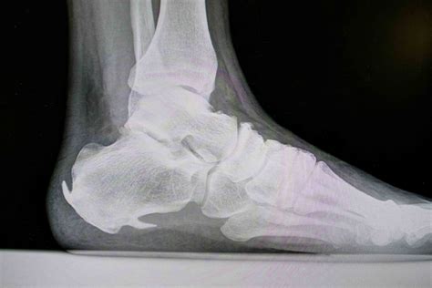
Diagnosing Bone Spurs on Feet

Diagnosing bone spurs on feet typically involves a combination of physical examination and imaging tests. A healthcare provider will:

  • Review the patient's medical history and symptoms.
  • Perform a physical examination to assess the affected area.
  • Order imaging tests such as X-rays, CT scans, or MRIs to visualize the bone spur and determine its size and location.

Treatment Options for Bone Spurs on Feet

Treatment for bone spurs on feet depends on the severity of the symptoms and the underlying cause. Options range from conservative measures to surgical interventions:

Conservative Treatments

Conservative treatments are often the first line of defense against bone spurs on feet. These may include:

  • Rest: Avoiding activities that exacerbate the pain can help reduce symptoms.
  • Ice: Applying ice to the affected area can help reduce inflammation and pain.
  • Medication: Over-the-counter pain relievers such as ibuprofen or naproxen can help manage pain and inflammation.
  • Orthotics: Custom orthotic inserts can help redistribute weight and reduce pressure on the affected area.
  • Physical Therapy: Exercises and stretches can improve flexibility and strength, reducing the impact of bone spurs.

Surgical Treatments

In cases where conservative treatments are ineffective, surgery may be recommended. Surgical options include:

  • Bone Spur Removal: Surgical removal of the bone spur can alleviate symptoms and improve mobility.
  • Joint Replacement: In severe cases, joint replacement surgery may be necessary to address underlying conditions like arthritis.

📝 Note: Surgery is typically considered a last resort and is only recommended when conservative treatments have failed to provide relief.

Preventing Bone Spurs on Feet

While it may not be possible to prevent all bone spurs, certain measures can help reduce the risk:

  • Maintain a Healthy Weight: Excess weight puts additional stress on the feet, increasing the risk of bone spurs.
  • Wear Proper Footwear: Shoes with good arch support and cushioning can help distribute weight evenly and reduce stress on the feet.
  • Exercise Regularly: Regular exercise can help maintain joint health and reduce the risk of bone spurs.
  • Manage Underlying Conditions: Effective management of conditions like arthritis can help prevent the development of bone spurs.

Living with Bone Spurs on Feet

Living with bone spurs on feet can be challenging, but with the right management strategies, it is possible to maintain a good quality of life. Key strategies include:

  • Pain Management: Use pain relievers and other therapies to manage symptoms effectively.
  • Lifestyle Adjustments: Make necessary adjustments to daily activities to avoid exacerbating symptoms.
  • Regular Check-ups: Regular visits to a healthcare provider can help monitor the condition and adjust treatment as needed.

Bone spurs on feet can significantly impact daily life, but with proper diagnosis, treatment, and management, it is possible to alleviate symptoms and improve mobility. Understanding the causes, symptoms, and treatment options for bone spurs on feet is essential for effective management and a better quality of life.

Related Terms:

  • bone spurs bottom of foot
  • bone spurs on toes treatment
  • bone spur on second toe
  • bone spurs on heel
  • bone spurs on feet symptoms
  • bone spurs on feet treatment
Facebook Twitter WA
Ashley
Ashley
Author
Passionate content creator delivering insightful articles on technology, lifestyle, and more. Dedicated to bringing quality content that matters.
You Might Like