Bony Growth On Gums

Discovering a bony growth on gums can be alarming, but understanding the causes, symptoms, and treatment options can help alleviate concerns. This condition, often referred to as an exostosis or torus, is generally benign and can occur in various forms. This blog post will delve into the details of bony growths on gums, their types, causes, symptoms, diagnosis, and treatment options.

Understanding Bony Growths on Gums

Bony growths on gums are typically benign and can be categorized into different types based on their location and appearance. The most common types include:

  • Torus Palatinus: This is a bony growth that occurs on the roof of the mouth.
  • Torus Mandibularis: This type of growth is found on the lower jaw, near the premolar teeth.
  • Exostosis: These are bony projections that can occur on the jawbone, often near the molars.

These growths are usually painless and do not cause discomfort unless they become large enough to interfere with normal oral functions.

Causes of Bony Growths on Gums

The exact cause of bony growths on gums is not fully understood, but several factors are believed to contribute to their development:

  • Genetic Predisposition: A family history of bony growths can increase the likelihood of developing them.
  • Chronic Irritation: Long-term irritation or pressure on the gums, such as from ill-fitting dentures or teeth grinding, can lead to the formation of bony growths.
  • Nutritional Deficiencies: In some cases, deficiencies in certain nutrients, such as vitamin D, can contribute to the development of bony growths.

While these factors can increase the risk, it is important to note that bony growths on gums can occur in individuals without any of these risk factors.

Symptoms of Bony Growths on Gums

Bony growths on gums are often asymptomatic, meaning they do not cause any noticeable symptoms. However, in some cases, individuals may experience:

  • Discomfort or pain, especially if the growth is large or interferes with normal oral functions.
  • Difficulty chewing or speaking, particularly if the growth is located on the roof of the mouth or near the teeth.
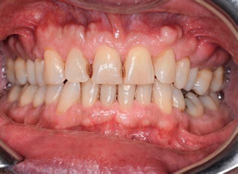
  • Visible lumps or bumps on the gums or inside the mouth.

If you notice any of these symptoms, it is important to consult a dental professional for a proper evaluation.

Diagnosis of Bony Growths on Gums

The diagnosis of bony growths on gums typically involves a thorough examination by a dental professional. The process may include:

  • Visual Examination: The dentist will visually inspect the growth to determine its size, shape, and location.
  • X-Rays: Dental X-rays may be taken to assess the extent of the growth and its impact on surrounding structures.
  • Biopsy: In some cases, a biopsy may be performed to rule out any malignant conditions, although this is rare for benign bony growths.

Based on the findings, the dentist will provide a diagnosis and recommend appropriate treatment options.

Treatment Options for Bony Growths on Gums

The treatment of bony growths on gums depends on their size, location, and impact on oral functions. In many cases, no treatment is necessary, and the growth can be monitored over time. However, if the growth causes discomfort or interferes with normal oral functions, treatment options may include:

  • Monitoring: Regular check-ups to monitor the growth and ensure it does not cause any issues.
  • Surgical Removal: In cases where the growth is large or causes discomfort, surgical removal may be recommended. This procedure is typically performed under local anesthesia and involves the removal of the bony growth.
  • Dental Appliances: For individuals with ill-fitting dentures or teeth grinding, dental appliances may be recommended to reduce irritation and prevent the formation of new growths.

It is important to consult a dental professional to determine the best course of treatment based on individual needs and circumstances.

Prevention of Bony Growths on Gums

While there is no guaranteed way to prevent bony growths on gums, certain measures can help reduce the risk:

  • Maintain good oral hygiene by brushing and flossing regularly.
  • Visit a dental professional for regular check-ups and cleanings.
  • Address any issues with ill-fitting dentures or teeth grinding promptly.
  • Ensure a balanced diet rich in essential nutrients, including vitamin D.

By taking these steps, individuals can help minimize the risk of developing bony growths on gums and maintain overall oral health.

📝 Note: If you notice any changes in your gums or experience discomfort, it is important to consult a dental professional for a proper evaluation and treatment.

Bony growths on gums are generally benign and can be managed effectively with proper care and treatment. Understanding the causes, symptoms, and treatment options can help individuals make informed decisions about their oral health. Regular dental check-ups and good oral hygiene practices are essential for maintaining overall oral health and preventing the development of bony growths on gums.

Related Terms:

  • hard painful bump on gums
  • hard lump on gums painful
  • hard bumps inside mouth gums
  • hard painful spot on gums
  • small hard lump on gum
  • hard bump on gums painless
Facebook Twitter WA
Ashley
Ashley
Author
Passionate content creator delivering insightful articles on technology, lifestyle, and more. Dedicated to bringing quality content that matters.
You Might Like