Broken Scaphoid Bone

Injuries to the wrist can be debilitating, and one of the most common yet often overlooked injuries is a broken scaphoid bone. The scaphoid bone is one of the eight carpal bones in the wrist and plays a crucial role in the stability and movement of the hand. Understanding the causes, symptoms, diagnosis, and treatment of a broken scaphoid bone is essential for anyone who has experienced a wrist injury or is at risk of one.

Understanding the Scaphoid Bone

The scaphoid bone is located on the thumb side of the wrist, just below the radius bone in the forearm. It is a small, boat-shaped bone that connects the two rows of carpal bones. The scaphoid bone is particularly vulnerable to fractures due to its position and the forces it absorbs during a fall or impact.

Causes of a Broken Scaphoid Bone

A broken scaphoid bone typically occurs due to a fall onto an outstretched hand. This is a common mechanism of injury in various activities, including:

  • Sports such as basketball, football, and skiing
  • Accidents involving motor vehicles
  • Falls from heights
  • Everyday activities like slipping on ice or tripping on uneven surfaces

In some cases, a broken scaphoid bone can result from a direct blow to the wrist or a sudden twisting motion.

Symptoms of a Broken Scaphoid Bone

The symptoms of a broken scaphoid bone can vary, but they often include:

  • Pain and tenderness in the wrist, particularly on the thumb side
  • Swelling and bruising around the wrist
  • Difficulty moving the wrist or hand
  • A feeling of weakness in the wrist
  • Pain when trying to grip or pinch objects

It is important to note that symptoms may not be immediately apparent, and some people may only experience mild discomfort initially. However, if left untreated, a broken scaphoid bone can lead to long-term complications, including chronic pain, arthritis, and reduced wrist function.

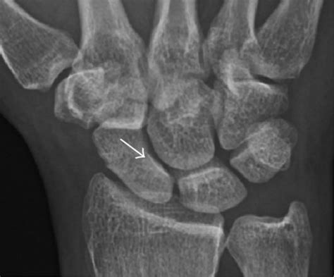
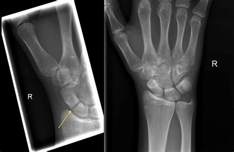
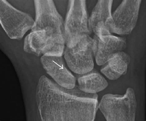
Diagnosing a Broken Scaphoid Bone

Diagnosing a broken scaphoid bone involves a combination of physical examination and imaging tests. A healthcare provider will typically:

  • Ask about the mechanism of injury and any symptoms experienced
  • Examine the wrist for tenderness, swelling, and range of motion
  • Order imaging tests, such as X-rays, to visualize the bone

However, X-rays may not always show a scaphoid fracture, especially in the early stages. In such cases, additional imaging tests may be required, including:

  • Computed tomography (CT) scans
  • Magnetic resonance imaging (MRI) scans
  • Bone scans

These tests can provide more detailed images of the bone and surrounding tissues, helping to confirm the diagnosis and assess the extent of the injury.

Treatment Options for a Broken Scaphoid Bone

The treatment for a broken scaphoid bone depends on the severity of the fracture and the individual’s overall health. Common treatment options include:

Non-Surgical Treatment

For non-displaced or minimally displaced fractures, non-surgical treatment may be sufficient. This typically involves:

  • Immobilization with a cast or splint to keep the wrist in a neutral position
  • Pain management with over-the-counter or prescription medications
  • Physical therapy to restore range of motion and strength

Non-surgical treatment usually lasts for 6 to 12 weeks, depending on the healing progress. Regular follow-up appointments with a healthcare provider are essential to monitor the healing process and adjust the treatment plan as needed.

Surgical Treatment

For displaced or complex fractures, surgical treatment may be necessary. Surgery aims to realign the bone fragments and stabilize them using:

  • Screws or pins
  • Wires or plates

Surgery is typically followed by a period of immobilization and physical therapy to promote healing and restore function. The recovery time for surgical treatment can vary but often takes several months.

Complications of a Broken Scaphoid Bone

If left untreated or improperly managed, a broken scaphoid bone can lead to several complications, including:

  • Nonunion: The bone fragments do not heal properly, leading to chronic pain and instability
  • Malunion: The bone heals in an improper position, resulting in deformity and reduced function
  • Avascular necrosis: The blood supply to the bone is disrupted, leading to bone death and collapse
  • Arthritis: Chronic inflammation and damage to the joint surfaces can lead to degenerative changes and arthritis

To minimize the risk of complications, it is crucial to seek prompt medical attention and follow the recommended treatment plan.

Preventing a Broken Scaphoid Bone

While it is not always possible to prevent a broken scaphoid bone, there are several steps you can take to reduce the risk of injury:

  • Wear protective gear during sports and other high-risk activities
  • Use proper techniques and equipment to minimize the risk of falls
  • Maintain good balance and strength in the wrists and hands
  • Avoid activities that put excessive stress on the wrists

If you experience a fall or impact to the wrist, it is essential to seek medical attention promptly to rule out a broken scaphoid bone or other injuries.

📝 Note: If you suspect a broken scaphoid bone, avoid attempting to move or use the wrist until you have been evaluated by a healthcare provider. This can help prevent further damage and promote healing.

Recovery and Rehabilitation

Recovery from a broken scaphoid bone can be a gradual process, depending on the severity of the injury and the chosen treatment method. Here are some key aspects of the recovery and rehabilitation process:

Immobilization

Immobilization is a crucial part of the initial treatment for a broken scaphoid bone. A cast or splint is used to keep the wrist in a neutral position, allowing the bone to heal properly. The duration of immobilization can vary but typically lasts for 6 to 12 weeks.

Pain Management

Pain management is essential during the recovery process. Over-the-counter or prescription medications can help alleviate pain and discomfort. Your healthcare provider may also recommend other pain management techniques, such as ice therapy or gentle exercises.

Physical Therapy

Physical therapy plays a vital role in restoring range of motion, strength, and function to the wrist. A physical therapist can design a customized exercise program to address your specific needs and goals. The program may include:

  • Range-of-motion exercises to improve flexibility
  • Strengthening exercises to build muscle and stability
  • Functional exercises to improve coordination and dexterity

Physical therapy sessions typically begin after the immobilization period and continue for several weeks or months, depending on your progress.

Gradual Return to Activities

As you progress through the recovery process, it is essential to gradually return to your normal activities. Your healthcare provider or physical therapist can guide you on when and how to resume specific activities, such as work, sports, or hobbies. It is crucial to listen to your body and avoid pushing yourself too hard too soon.

Long-Term Considerations

Even after the initial healing process, there are several long-term considerations to keep in mind when dealing with a broken scaphoid bone:

Follow-Up Care

Regular follow-up appointments with your healthcare provider are essential to monitor your progress and ensure that the bone has healed properly. These appointments may include additional imaging tests to assess the healing process and address any concerns or complications.

Activity Modifications

In some cases, you may need to make long-term modifications to your activities to prevent future injuries or complications. This may include:

  • Using assistive devices or adaptive equipment
  • Modifying your work environment to reduce stress on the wrist
  • Avoiding high-impact activities or sports

Your healthcare provider or physical therapist can provide guidance on activity modifications tailored to your specific needs and goals.

Ongoing Rehabilitation

Ongoing rehabilitation may be necessary to maintain the strength, flexibility, and function of your wrist. This may include regular exercise, stretching, and other therapeutic techniques to promote long-term recovery and prevent future injuries.

Case Studies and Real-Life Examples

To better understand the impact of a broken scaphoid bone, let’s explore some real-life examples and case studies:

Case Study 1: The Athlete

John, a 25-year-old basketball player, experienced a fall during a game and landed on his outstretched hand. He immediately felt pain and swelling in his wrist. An X-ray revealed a non-displaced fracture of the scaphoid bone. John was treated with a cast for 8 weeks and underwent physical therapy to restore his wrist function. He was able to return to playing basketball after 3 months, with no long-term complications.

Case Study 2: The Office Worker

Sarah, a 40-year-old office worker, slipped on ice while walking to her car and fell onto her outstretched hand. She experienced pain and tenderness in her wrist but did not seek medical attention immediately. Two weeks later, she noticed increased swelling and difficulty moving her wrist. An MRI revealed a displaced fracture of the scaphoid bone. Sarah underwent surgery to realign the bone fragments and stabilize them with a screw. She wore a cast for 6 weeks and underwent physical therapy for several months. Sarah was able to return to her job after 4 months but had to make modifications to her workstation to reduce stress on her wrist.

Case Study 3: The Elderly Individual

Mary, a 70-year-old retiree, fell while walking her dog and landed on her outstretched hand. She experienced severe pain and swelling in her wrist and was taken to the hospital. An X-ray revealed a complex fracture of the scaphoid bone. Mary underwent surgery to realign the bone fragments and stabilize them with a plate. She wore a cast for 12 weeks and underwent physical therapy for several months. Mary was able to return to her daily activities after 6 months but had to use a cane for support and avoid high-impact activities.

These case studies illustrate the varied experiences and outcomes of individuals with a broken scaphoid bone. Each case highlights the importance of prompt medical attention, appropriate treatment, and ongoing rehabilitation to promote healing and restore function.

In summary, a broken scaphoid bone is a common yet often overlooked injury that can have significant implications for wrist function and overall quality of life. Understanding the causes, symptoms, diagnosis, and treatment of a broken scaphoid bone is essential for anyone who has experienced a wrist injury or is at risk of one. By seeking prompt medical attention, following the recommended treatment plan, and engaging in ongoing rehabilitation, individuals can minimize the risk of complications and achieve a successful recovery. Regular follow-up care and activity modifications may be necessary to maintain long-term wrist health and prevent future injuries.

Related Terms:

  • scaphoid fracture after 10 days
  • broken scaphoid bone treatment
  • scaphoid fracture signs and symptoms
  • scaphoid fracture
  • is a scaphoid fracture serious
  • broken scaphoid bone symptoms
Facebook Twitter WA
Ashley
Ashley
Author
Passionate content creator delivering insightful articles on technology, lifestyle, and more. Dedicated to bringing quality content that matters.
You Might Like