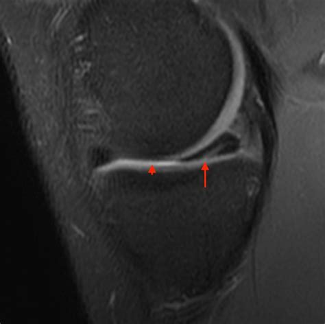
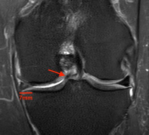
Bucket Handle Tear Meniscus

Knee injuries are a common occurrence, especially among athletes and individuals who engage in high-impact activities. One of the most prevalent types of knee injuries is a Bucket Handle Tear Meniscus. This injury involves a tear in the meniscus, a crucial piece of cartilage that acts as a shock absorber between the thighbone and shinbone. Understanding the causes, symptoms, diagnosis, and treatment options for a Bucket Handle Tear Meniscus is essential for effective management and recovery.

Understanding the Meniscus

The meniscus is a C-shaped piece of cartilage located in the knee joint. There are two menisci in each knee: the medial meniscus on the inner side and the lateral meniscus on the outer side. These structures play a vital role in distributing weight evenly across the knee joint, absorbing shock, and providing stability. The meniscus can be prone to tears, especially during sudden twisting or pivoting movements, which can lead to a Bucket Handle Tear Meniscus.

Causes of a Bucket Handle Tear Meniscus

A Bucket Handle Tear Meniscus typically occurs due to a traumatic event, such as a sudden twist or pivot while the foot is planted firmly on the ground. This type of injury is common in sports that involve quick changes in direction, such as soccer, basketball, and football. Other causes include:

  • Degenerative changes in the meniscus due to aging or wear and tear.
  • Repetitive stress on the knee joint, often seen in athletes or individuals with physically demanding jobs.
  • Direct impact to the knee, such as a fall or collision.

Symptoms of a Bucket Handle Tear Meniscus

The symptoms of a Bucket Handle Tear Meniscus can vary depending on the severity of the tear. Common symptoms include:

  • Pain, often localized to the inner or outer side of the knee.
  • Swelling and stiffness in the knee joint.
  • Difficulty straightening the knee fully.
  • A feeling of the knee “giving way” or instability.
  • Locking or catching of the knee, which can make it difficult to bend or straighten the leg.

In some cases, the torn piece of meniscus may move into the joint space, causing the knee to lock or catch. This is a characteristic symptom of a Bucket Handle Tear Meniscus and often requires immediate medical attention.

Diagnosing a Bucket Handle Tear Meniscus

Diagnosing a Bucket Handle Tear Meniscus involves a combination of physical examination and imaging tests. The diagnostic process typically includes:

  • A thorough medical history and physical examination to assess the knee’s range of motion, stability, and any areas of tenderness.
  • Imaging tests, such as X-rays, to rule out other potential causes of knee pain, such as fractures or arthritis.
  • Magnetic Resonance Imaging (MRI) to provide detailed images of the meniscus and surrounding structures. MRI is particularly useful in identifying the location and extent of the tear.

In some cases, an arthroscopy may be performed to directly visualize the meniscus and confirm the diagnosis. This minimally invasive procedure involves inserting a small camera into the knee joint through a tiny incision.

Treatment Options for a Bucket Handle Tear Meniscus

The treatment for a Bucket Handle Tear Meniscus depends on the severity of the tear, the patient’s age, activity level, and overall health. Treatment options can be categorized into non-surgical and surgical approaches.

Non-Surgical Treatment

For minor tears or in cases where surgery is not an option, non-surgical treatment may be recommended. This can include:

  • Rest, ice, compression, and elevation (RICE) to reduce pain and swelling.
  • Non-steroidal anti-inflammatory drugs (NSAIDs) to manage pain and inflammation.
  • Physical therapy to strengthen the muscles around the knee and improve range of motion.
  • Bracing or immobilization to protect the knee and promote healing.

Non-surgical treatment is often effective for small tears or in cases where the tear is not causing significant symptoms. However, for more severe tears, especially those that cause locking or catching of the knee, surgical intervention may be necessary.

Surgical Treatment

Surgical treatment for a Bucket Handle Tear Meniscus typically involves arthroscopic surgery. This minimally invasive procedure allows the surgeon to repair or remove the torn portion of the meniscus using small incisions and specialized instruments. The specific surgical approach depends on the location and extent of the tear:

  • Meniscus repair: This procedure involves suturing the torn edges of the meniscus back together. It is typically recommended for younger patients with tears in the outer third of the meniscus, where blood supply is better.
  • Partial meniscectomy: This procedure involves removing the torn portion of the meniscus. It is often recommended for tears in the inner two-thirds of the meniscus, where blood supply is limited.

Arthroscopic surgery is generally performed on an outpatient basis, allowing patients to return home the same day. Recovery time varies depending on the extent of the surgery and the patient’s overall health, but most individuals can expect to resume normal activities within a few weeks to a few months.

Recovery and Rehabilitation

Recovery from a Bucket Handle Tear Meniscus involves a structured rehabilitation program to restore knee function and strength. The rehabilitation process typically includes:

  • Immediate post-operative care, focusing on pain management and reducing swelling.
  • Gradual progression of range of motion exercises to improve knee flexibility.
  • Strengthening exercises to rebuild the muscles around the knee, including the quadriceps, hamstrings, and calves.
  • Proprioceptive training to improve balance and stability.
  • Gradual return to activities, starting with low-impact exercises and progressing to more demanding activities as tolerated.

Physical therapy plays a crucial role in the rehabilitation process, providing guidance and support to ensure a safe and effective recovery. Regular follow-up with the healthcare provider is also important to monitor progress and make any necessary adjustments to the treatment plan.

Preventing Future Injuries

Preventing future Bucket Handle Tear Meniscus injuries involves a combination of proper conditioning, technique, and protective measures. Some strategies to reduce the risk of knee injuries include:

  • Strengthening the muscles around the knee, including the quadriceps, hamstrings, and calves.
  • Improving flexibility and range of motion through regular stretching exercises.
  • Using proper technique during sports and physical activities to avoid sudden twisting or pivoting movements.
  • Wearing appropriate footwear and protective gear to support the knee and reduce the risk of injury.
  • Gradually increasing the intensity and duration of physical activities to allow the body to adapt.

Incorporating these preventive measures into daily routines can help reduce the risk of knee injuries and promote overall knee health.

📝 Note: It is important to consult with a healthcare provider before starting any new exercise or rehabilitation program, especially if you have a history of knee injuries or other medical conditions.

In summary, a Bucket Handle Tear Meniscus is a common knee injury that can significantly impact mobility and quality of life. Understanding the causes, symptoms, diagnosis, and treatment options is essential for effective management and recovery. Whether through non-surgical or surgical approaches, a structured rehabilitation program is crucial for restoring knee function and preventing future injuries. By taking proactive measures to strengthen the knee and improve overall joint health, individuals can reduce the risk of future injuries and maintain an active lifestyle.

Related Terms:

  • bucket handle tear recovery time
  • bucket handle tear meniscus protocol
  • bucket handle tear repair
  • bucket handle tear medial meniscus
  • bucket handle medial meniscus
  • bucket handle tear meniscus radiopaedia
Facebook Twitter WA
Ashley
Ashley
Author
Passionate content creator delivering insightful articles on technology, lifestyle, and more. Dedicated to bringing quality content that matters.
You Might Like