Cancerous Jaw Tumor

Cancerous jaw tumors, also known as oral cancers, are a serious health concern that can significantly impact an individual's quality of life. These tumors can affect various parts of the jaw, including the mandible (lower jaw) and the maxilla (upper jaw). Early detection and treatment are crucial for improving outcomes and reducing the risk of complications. This blog post will delve into the causes, symptoms, diagnosis, treatment options, and preventive measures for cancerous jaw tumors.

Understanding Cancerous Jaw Tumors

Cancerous jaw tumors are malignant growths that originate in the tissues of the jaw. These tumors can be primary, meaning they start in the jawbone itself, or secondary, meaning they spread from other parts of the body. The most common types of cancerous jaw tumors include:

  • Osteosarcoma: A type of bone cancer that can occur in the jaw.
  • Ewing's sarcoma: A rare type of cancer that can affect the jawbone.
  • Chondrosarcoma: A cancer that develops in the cartilage cells of the jaw.
  • Metastatic tumors: Cancers that spread to the jaw from other parts of the body, such as the lungs, breast, or prostate.

Causes and Risk Factors

The exact causes of cancerous jaw tumors are not always clear, but several risk factors have been identified. These include:

  • Genetic predisposition: Certain genetic syndromes, such as Li-Fraumeni syndrome and retinoblastoma, can increase the risk of developing cancerous jaw tumors.
  • Radiation exposure: Previous radiation therapy to the head and neck area can increase the risk of developing jaw tumors.
  • Chronic inflammation: Conditions that cause chronic inflammation in the jaw, such as osteomyelitis, can increase the risk of cancer.
  • Tobacco and alcohol use: Smoking and heavy alcohol consumption are known risk factors for oral cancers, including those that affect the jaw.
  • Human papillomavirus (HPV) infection: Certain strains of HPV have been linked to an increased risk of oral cancers.

Symptoms of Cancerous Jaw Tumors

The symptoms of a cancerous jaw tumor can vary depending on the location and size of the tumor. Common symptoms include:

  • Persistent pain or swelling in the jaw
  • Loosening of teeth
  • Difficulty chewing or swallowing
  • Numbness or tingling in the jaw or face
  • Swelling in the neck
  • Unexplained weight loss
  • Fever or night sweats

If you experience any of these symptoms, it is important to consult a healthcare professional for a thorough evaluation.

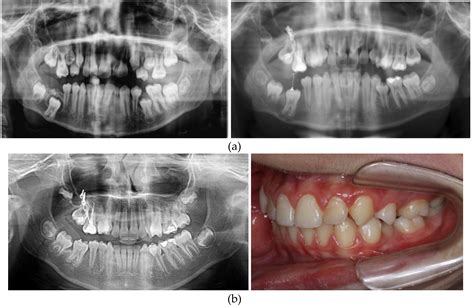
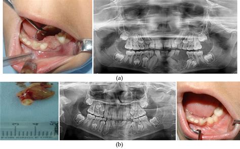
Diagnosis of Cancerous Jaw Tumors

The diagnosis of a cancerous jaw tumor typically involves a combination of clinical examination, imaging studies, and biopsy. The diagnostic process may include:

  • Clinical examination: A healthcare professional will examine the jaw and surrounding areas for any signs of swelling, tenderness, or abnormalities.
  • Imaging studies: X-rays, CT scans, MRI, or PET scans may be used to visualize the tumor and determine its extent.
  • Biopsy: A small sample of the tumor tissue is removed and examined under a microscope to confirm the presence of cancer cells.

In some cases, additional tests may be required to determine the stage of the cancer and whether it has spread to other parts of the body.

Treatment Options for Cancerous Jaw Tumors

The treatment of cancerous jaw tumors depends on several factors, including the type and stage of the cancer, the patient's overall health, and their preferences. Common treatment options include:

  • Surgery: Surgical removal of the tumor is often the primary treatment for cancerous jaw tumors. The extent of the surgery will depend on the size and location of the tumor.
  • Radiation therapy: High-energy beams are used to kill cancer cells and shrink tumors. Radiation therapy may be used alone or in combination with surgery or chemotherapy.
  • Chemotherapy: Drugs are used to kill cancer cells or stop them from dividing. Chemotherapy may be used alone or in combination with surgery or radiation therapy.
  • Targeted therapy: Drugs that target specific molecules involved in cancer growth and spread. Targeted therapy may be used in combination with other treatments.
  • Immunotherapy: Drugs that help the immune system recognize and attack cancer cells. Immunotherapy may be used in combination with other treatments.

In some cases, a combination of these treatments may be recommended to achieve the best possible outcome.

Preventive Measures for Cancerous Jaw Tumors

While not all cancerous jaw tumors can be prevented, there are several steps you can take to reduce your risk:

  • Avoid tobacco and alcohol: Quitting smoking and limiting alcohol consumption can significantly reduce the risk of oral cancers.
  • Practice good oral hygiene: Regular brushing, flossing, and dental check-ups can help detect and treat oral health issues early.
  • Limit exposure to radiation: If you have undergone radiation therapy to the head and neck area, regular follow-ups with your healthcare provider are important.
  • Get vaccinated against HPV: The HPV vaccine can help prevent infections that are linked to oral cancers.
  • Maintain a healthy lifestyle: A balanced diet, regular exercise, and adequate sleep can boost your immune system and overall health.

Living with a Cancerous Jaw Tumor

Being diagnosed with a cancerous jaw tumor can be a challenging and emotional experience. It is important to seek support from healthcare professionals, family, and friends during this time. Here are some tips for coping with a cancerous jaw tumor:

  • Educate yourself: Learn as much as you can about your specific type of cancer and treatment options.
  • Communicate with your healthcare team: Ask questions and express your concerns to ensure you are receiving the best possible care.
  • Seek emotional support: Consider joining a support group or speaking with a counselor to help manage the emotional impact of your diagnosis.
  • Maintain a healthy lifestyle: Follow a balanced diet, engage in regular physical activity, and get adequate rest to support your overall health.
  • Follow your treatment plan: Adhere to the treatment plan recommended by your healthcare team to improve your chances of a successful outcome.

Living with a cancerous jaw tumor requires a multidisciplinary approach, involving healthcare professionals, family, and friends. Regular follow-ups and monitoring are essential to detect any recurrence or complications early.

📝 Note: Always consult with your healthcare provider for personalized advice and treatment recommendations.

Cancerous jaw tumors are a serious health concern that can significantly impact an individual’s quality of life. Early detection and treatment are crucial for improving outcomes and reducing the risk of complications. By understanding the causes, symptoms, diagnosis, treatment options, and preventive measures for cancerous jaw tumors, individuals can take proactive steps to protect their oral health and overall well-being. Regular dental check-ups, maintaining good oral hygiene, and seeking prompt medical attention for any concerning symptoms are essential for early detection and effective management of cancerous jaw tumors.

Related Terms:

  • symptoms jaw cancer woman
  • cancer of the jaw pictures
  • cancer in the jaw symptoms
  • can cancer cause jaw pain
  • cancer of the jaw location
  • what is jaw cancer called
Facebook Twitter WA
Ashley
Ashley
Author
Passionate content creator delivering insightful articles on technology, lifestyle, and more. Dedicated to bringing quality content that matters.
You Might Like