Cardiac Catheterization Right Heart

Cardiac catheterization is a critical diagnostic and therapeutic procedure used to evaluate and treat various heart conditions. Among the different types of cardiac catheterization, cardiac catheterization right heart procedures are particularly important for assessing the right side of the heart and the pulmonary circulation. This procedure involves inserting a thin, flexible tube called a catheter into a blood vessel, typically in the groin, arm, or neck, and guiding it to the heart. The catheter is then used to measure pressures, take blood samples, and sometimes administer medications or perform interventions.

Understanding Cardiac Catheterization Right Heart

Cardiac catheterization right heart procedures are essential for diagnosing and managing conditions that affect the right side of the heart. These conditions can include congenital heart defects, pulmonary hypertension, and right ventricular dysfunction. The procedure provides valuable information about the heart's structure and function, helping cardiologists make informed decisions about treatment.

Preparation for Cardiac Catheterization Right Heart

Preparing for a cardiac catheterization right heart procedure involves several steps to ensure the patient's safety and comfort. Here are the key steps:

  • Medical History and Physical Exam: The cardiologist will review the patient's medical history and perform a physical examination to assess overall health and identify any potential risks.
  • Blood Tests and Imaging: Blood tests and imaging studies, such as an echocardiogram or chest X-ray, may be ordered to gather more information about the heart's condition.
  • Medication Review: The healthcare team will review the patient's current medications and may adjust or temporarily stop certain drugs to minimize the risk of complications.
  • Fasting: Patients are typically instructed to fast for several hours before the procedure to reduce the risk of nausea and vomiting during sedation.
  • Informed Consent: The patient will be provided with detailed information about the procedure, its risks, and benefits. They will be asked to sign a consent form indicating their understanding and agreement to undergo the procedure.

📝 Note: It is crucial for patients to follow all pre-procedure instructions carefully to ensure a smooth and safe procedure.

The Procedure: What to Expect

The cardiac catheterization right heart procedure is typically performed in a cardiac catheterization laboratory. Here is an overview of what to expect during the procedure:

  • Anesthesia: Local anesthesia is administered to numb the area where the catheter will be inserted. Sedation may also be given to help the patient relax.
  • Catheter Insertion: A small incision is made in the skin, and a sheath is inserted into the blood vessel. The catheter is then guided through the sheath and advanced to the right side of the heart.
  • Pressure Measurements: The catheter is used to measure pressures in the right atrium, right ventricle, and pulmonary arteries. These measurements help assess the heart's function and identify any abnormalities.
  • Blood Sampling: Blood samples may be taken from different chambers of the heart to analyze oxygen levels and other parameters.
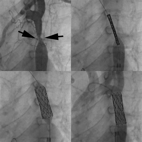
  • Imaging: Contrast dye may be injected through the catheter to visualize the heart's structure and blood flow using fluoroscopy or other imaging techniques.
  • Interventions: In some cases, interventions such as balloon valvuloplasty or stent placement may be performed during the procedure to treat specific heart conditions.
  • Catheter Removal: Once the necessary measurements and interventions are complete, the catheter is carefully removed, and pressure is applied to the insertion site to stop any bleeding.

📝 Note: The entire procedure typically takes about 30 minutes to an hour, but the duration can vary depending on the complexity of the case.

Risks and Complications

While cardiac catheterization right heart procedures are generally safe, there are potential risks and complications to be aware of. These can include:

  • Bleeding: Bleeding at the insertion site is a common complication but is usually minor and can be controlled with pressure.
  • Infection: There is a small risk of infection at the insertion site or in the bloodstream.
  • Allergic Reaction: Some patients may have an allergic reaction to the contrast dye used during the procedure.
  • Arrhythmias: Abnormal heart rhythms can occur during or after the procedure.
  • Damage to Blood Vessels or Heart: In rare cases, the catheter can cause damage to blood vessels or the heart.
  • Kidney Problems: The contrast dye can sometimes affect kidney function, particularly in patients with pre-existing kidney disease.

It is essential for patients to discuss these risks with their healthcare provider and understand the benefits and potential complications of the procedure.

Recovery and Aftercare

After a cardiac catheterization right heart procedure, patients typically spend a few hours in a recovery area for monitoring. Here are some key aspects of the recovery process:

  • Monitoring: Vital signs, such as heart rate, blood pressure, and oxygen levels, are closely monitored to ensure stability.
  • Bed Rest: Patients are usually required to lie flat for several hours to minimize the risk of bleeding at the insertion site.
  • Hydration: Drinking plenty of fluids helps flush the contrast dye from the body and promotes kidney function.
  • Activity Restrictions: Patients may need to avoid strenuous activities for a few days to a week, depending on the specific procedure and their overall health.
  • Follow-Up Appointments: Follow-up appointments with the cardiologist are scheduled to review the results of the procedure and discuss any necessary treatments or interventions.

📝 Note: Patients should follow their healthcare provider's instructions for post-procedure care to ensure a smooth recovery.

Interpreting the Results

The results of a cardiac catheterization right heart procedure provide valuable information about the heart's structure and function. The cardiologist will interpret the data collected during the procedure, including pressure measurements, blood samples, and imaging results. This information helps in diagnosing conditions such as:

  • Pulmonary Hypertension: Elevated pressures in the pulmonary arteries indicate pulmonary hypertension, which can be caused by various underlying conditions.
  • Right Ventricular Dysfunction: Abnormal pressures and blood flow patterns in the right ventricle can indicate right ventricular dysfunction, which may require further evaluation and treatment.
  • Congenital Heart Defects: Structural abnormalities in the heart, such as septal defects or valve abnormalities, can be identified and assessed.
  • Cor Pulmonale: This condition, characterized by right ventricular hypertrophy and failure, can be diagnosed based on the pressure measurements and imaging results.

Based on the findings, the cardiologist will develop a treatment plan tailored to the patient's specific needs. This may include medications, lifestyle modifications, or further interventions.

Comparing Cardiac Catheterization Right Heart with Other Procedures

Cardiac catheterization right heart procedures are just one type of diagnostic and therapeutic intervention available for evaluating heart conditions. Other procedures, such as left heart catheterization and echocardiograms, serve different purposes and provide complementary information. Here is a comparison of these procedures:

Procedure Purpose Access Site Key Measurements
Cardiac Catheterization Right Heart Evaluate right heart function and pulmonary circulation Groin, arm, or neck Pressures in right atrium, right ventricle, and pulmonary arteries
Left Heart Catheterization Evaluate left heart function and coronary arteries Groin, arm, or wrist Pressures in left atrium, left ventricle, and aorta
Echocardiogram Visualize heart structure and function using ultrasound Chest or abdomen Heart chambers, valves, and blood flow patterns

Each of these procedures has its own advantages and limitations, and the choice of procedure depends on the specific clinical scenario and the information needed to guide treatment decisions.

Advancements in Cardiac Catheterization Right Heart

Advancements in technology and techniques have significantly improved the safety and effectiveness of cardiac catheterization right heart procedures. Some of the key advancements include:

  • Improved Imaging: Advanced imaging techniques, such as intravascular ultrasound and optical coherence tomography, provide detailed visualizations of the heart's structure and blood vessels.
  • Minimally Invasive Techniques: The development of smaller, more flexible catheters and sheaths has reduced the invasiveness of the procedure, minimizing discomfort and recovery time.
  • Real-Time Monitoring: Real-time monitoring of pressures and blood flow during the procedure allows for more precise and accurate measurements.
  • Interventional Procedures: Advances in interventional techniques, such as balloon valvuloplasty and stent placement, enable cardiologists to perform complex procedures during the catheterization.

These advancements have enhanced the diagnostic and therapeutic capabilities of cardiac catheterization right heart procedures, improving patient outcomes and quality of life.

Cardiac Catheterization Procedure

Patient Experience and Support

The experience of undergoing a cardiac catheterization right heart procedure can be stressful for patients. It is essential for healthcare providers to offer support and guidance throughout the process. Here are some tips for patients:

  • Educate Yourself: Learn about the procedure, its risks, and benefits to understand what to expect.
  • Ask Questions: Do not hesitate to ask your healthcare provider any questions or express concerns you may have.
  • Bring Support: Having a family member or friend present can provide emotional support and help with post-procedure care.
  • Follow Instructions: Adhere to all pre- and post-procedure instructions to ensure a smooth and safe experience.
  • Communicate: Inform your healthcare provider about any symptoms or concerns you experience during recovery.

Healthcare providers play a crucial role in supporting patients through the procedure, offering reassurance, and addressing any concerns or questions they may have.

In summary, cardiac catheterization right heart procedures are vital for diagnosing and managing conditions affecting the right side of the heart and pulmonary circulation. By providing detailed information about the heart’s structure and function, these procedures enable cardiologists to make informed decisions about treatment. Advancements in technology and techniques continue to enhance the safety and effectiveness of these procedures, improving patient outcomes and quality of life. Patients should be well-informed and supported throughout the process to ensure a positive experience and successful recovery.

Related Terms:

  • right heart cath insertion site
  • basics of right heart catheterization
  • right heart catheterization cleveland clinic
  • reasons for right heart catheterization
  • right heart cath access site
  • right heart catheterization patient information
Facebook Twitter WA
Ashley
Ashley
Author
Passionate content creator delivering insightful articles on technology, lifestyle, and more. Dedicated to bringing quality content that matters.
You Might Like