Carpet Beetle Dermatitis

Carpet beetle dermatitis is a common yet often overlooked skin condition that can cause significant discomfort and irritation. This condition is typically caused by the larvae of carpet beetles, which feed on various materials found in homes, including carpets, clothing, and upholstery. Understanding the causes, symptoms, and treatment options for carpet beetle dermatitis is crucial for effective management and prevention.

Understanding Carpet Beetles

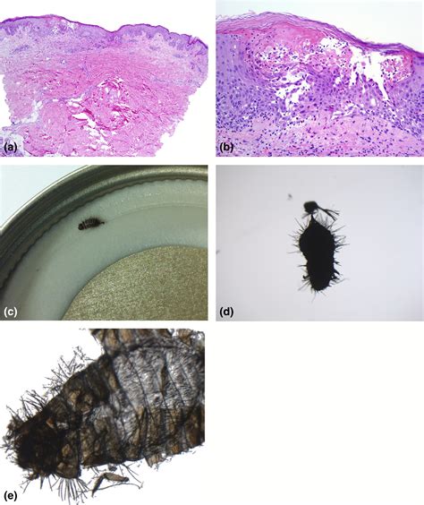
Carpet beetles are small, oval-shaped insects that are often found in homes. They are known for their ability to infest a variety of materials, including natural fibers like wool, silk, and fur. The larvae of these beetles are particularly problematic, as they have a voracious appetite for these materials and can cause significant damage. Additionally, their presence can lead to carpet beetle dermatitis, a skin condition characterized by itchy, red rashes.

Causes of Carpet Beetle Dermatitis

Carpet beetle dermatitis is primarily caused by the larvae of carpet beetles. These larvae produce tiny hairs that can irritate the skin, leading to an allergic reaction. The condition is often exacerbated by the presence of other allergens in the environment, such as dust mites and pet dander. Common triggers include:

  • Direct contact with carpet beetle larvae or their shed skins.
  • Exposure to contaminated materials, such as clothing, bedding, or upholstery.
  • Inhalation of airborne particles containing carpet beetle allergens.

Symptoms of Carpet Beetle Dermatitis

The symptoms of carpet beetle dermatitis can vary from person to person, but they typically include:

  • Itchy, red rashes on the skin.
  • Small, raised bumps or welts.
  • Blisters or hives in severe cases.
  • Swelling and inflammation of the affected area.

These symptoms can appear anywhere on the body but are often found on areas that come into direct contact with contaminated materials, such as the arms, legs, and face. In some cases, the symptoms may be mistaken for other skin conditions, such as eczema or contact dermatitis.

Diagnosing Carpet Beetle Dermatitis

Diagnosing carpet beetle dermatitis typically involves a combination of a physical examination and a detailed medical history. A healthcare provider may ask about recent exposure to potential allergens, including carpet beetles, and may perform a skin test to confirm the diagnosis. In some cases, a biopsy of the affected skin may be necessary to rule out other conditions.

Treatment Options for Carpet Beetle Dermatitis

Treatment for carpet beetle dermatitis focuses on relieving symptoms and preventing further exposure to the allergens. Common treatment options include:

  • Topical corticosteroids to reduce inflammation and itching.
  • Antihistamines to alleviate itching and other allergic symptoms.
  • Moisturizers to soothe and hydrate the skin.
  • Avoidance of contaminated materials and environments.

In severe cases, oral corticosteroids or other systemic medications may be prescribed to manage symptoms. It is important to follow the advice of a healthcare provider and to avoid self-medication, as improper treatment can exacerbate the condition.

Preventing Carpet Beetle Dermatitis

Preventing carpet beetle dermatitis involves taking steps to reduce exposure to carpet beetles and their larvae. Some effective prevention strategies include:

  • Regularly cleaning and vacuuming carpets, upholstery, and other potential hiding spots for carpet beetles.
  • Using insecticides or natural repellents to control carpet beetle populations.
  • Storing clothing and other susceptible items in airtight containers.
  • Inspecting and treating any infested materials promptly.

Additionally, maintaining good hygiene practices, such as washing bedding and clothing regularly, can help reduce the risk of carpet beetle dermatitis. It is also important to be aware of potential sources of infestation, such as stored fabrics, fur, or feathers, and to take appropriate measures to prevent their introduction into the home.

Environmental Factors and Carpet Beetle Dermatitis

Environmental factors play a significant role in the development and severity of carpet beetle dermatitis. Humidity, temperature, and the presence of other allergens can all influence the likelihood of an infestation and the resulting skin reactions. Understanding these factors can help in developing effective prevention and treatment strategies.

Humidity is a critical factor in the life cycle of carpet beetles. High humidity levels can create an ideal environment for these insects to thrive, increasing the risk of infestation and subsequent dermatitis. Maintaining a dry environment, particularly in areas prone to moisture, such as basements and bathrooms, can help reduce the risk of carpet beetle infestations.

Temperature also plays a role in the activity of carpet beetles. These insects are more active in warmer temperatures, making summer months a peak time for infestations. Keeping the home at a consistent, moderate temperature can help control carpet beetle populations and reduce the risk of dermatitis.

Other environmental allergens, such as dust mites and pet dander, can exacerbate the symptoms of carpet beetle dermatitis. Reducing exposure to these allergens through regular cleaning and the use of allergen-proof covers can help alleviate symptoms and improve overall skin health.

Natural Remedies for Carpet Beetle Dermatitis

In addition to conventional treatments, there are several natural remedies that can help alleviate the symptoms of carpet beetle dermatitis. These remedies are often gentler on the skin and can be used in conjunction with medical treatments. Some popular natural remedies include:

  • Oatmeal baths to soothe and hydrate the skin.
  • Aloe vera gel to reduce inflammation and itching.
  • Coconut oil to moisturize and protect the skin.
  • Chamomile tea compresses to calm irritated skin.

While these natural remedies can provide relief, it is important to consult with a healthcare provider before trying any new treatment, especially if you have sensitive skin or other underlying health conditions.

Long-Term Management of Carpet Beetle Dermatitis

Long-term management of carpet beetle dermatitis involves a combination of preventive measures and ongoing treatment. Regular monitoring of the home environment for signs of infestation, along with prompt treatment of any outbreaks, can help prevent the recurrence of symptoms. Additionally, maintaining good hygiene practices and reducing exposure to environmental allergens can improve overall skin health and reduce the risk of flare-ups.

It is also important to stay informed about the latest research and treatment options for carpet beetle dermatitis. Consulting with a healthcare provider or dermatologist can provide valuable insights and personalized recommendations for managing the condition effectively.

Carpet beetle dermatitis is a manageable condition with the right knowledge and strategies. By understanding the causes, symptoms, and treatment options, individuals can take proactive steps to prevent and alleviate this skin condition. Regular cleaning, environmental control, and appropriate medical treatment can all contribute to effective management and improved quality of life.

Carpet beetle dermatitis is a condition that requires vigilance and proactive measures to manage effectively. By understanding the causes, symptoms, and treatment options, individuals can take control of their skin health and reduce the impact of this condition on their daily lives. Regular monitoring, preventive measures, and appropriate medical treatment are key to managing carpet beetle dermatitis and improving overall skin health.

Carpet beetle dermatitis is a condition that requires vigilance and proactive measures to manage effectively. By understanding the causes, symptoms, and treatment options, individuals can take control of their skin health and reduce the impact of this condition on their daily lives. Regular monitoring, preventive measures, and appropriate medical treatment are key to managing carpet beetle dermatitis and improving overall skin health.

📝 Note: Always consult with a healthcare provider for personalized advice and treatment options tailored to your specific needs.

Related Terms:

  • carpet beetle skin reaction photos
  • carpet beetle dermatitis pictures
  • black carpet beetle flattened photo
  • carpet beetle dermatitis treatment
  • skin irritation from carpet beetles
  • carpet beetles attracted to sickness
Facebook Twitter WA
Ashley
Ashley
Author
Passionate content creator delivering insightful articles on technology, lifestyle, and more. Dedicated to bringing quality content that matters.
You Might Like