Celiac Disease Poop Pictures

Celiac disease is an autoimmune disorder that affects the digestive system, triggered by the consumption of gluten, a protein found in wheat, barley, and rye. One of the most distressing symptoms for many individuals with celiac disease is the changes in bowel movements, often leading to a search for celiac disease poop pictures to understand what is normal and what is not. This blog post aims to provide a comprehensive overview of celiac disease, its symptoms, diagnosis, and management, with a particular focus on gastrointestinal symptoms and their implications.

Understanding Celiac Disease

Celiac disease occurs when the immune system reacts to gluten by attacking the small intestine. This reaction damages the villi, tiny finger-like projections that line the small intestine and are responsible for nutrient absorption. Over time, this damage can lead to malnutrition, anemia, and other serious health issues.

Celiac disease can affect people of all ages, from infants to the elderly. It is estimated that about 1 in 100 people worldwide have celiac disease, although many remain undiagnosed. The condition is more common in individuals with a family history of celiac disease or other autoimmune disorders.

Symptoms of Celiac Disease

The symptoms of celiac disease can vary widely from person to person. Some people may experience severe symptoms, while others may have no symptoms at all. Common symptoms include:

  • Diarrhea
  • Abdominal pain
  • Bloating
  • Weight loss
  • Fatigue
  • Anemia
  • Bone or joint pain
  • Headaches
  • Mouth ulcers

Gastrointestinal symptoms are often the first signs of celiac disease, and many people turn to celiac disease poop pictures to compare their experiences with others. However, it is essential to consult a healthcare provider for an accurate diagnosis and appropriate management.

Diagnosing Celiac Disease

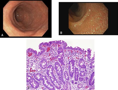
Diagnosing celiac disease involves a combination of blood tests, genetic testing, and an endoscopy with biopsy. The process typically begins with blood tests to check for specific antibodies, such as tissue transglutaminase (tTG) and endomysial antibodies (EMA). If these tests are positive, a genetic test for the HLA-DQ2 and HLA-DQ8 genes may be ordered to confirm the diagnosis.

An endoscopy with biopsy is the gold standard for diagnosing celiac disease. During this procedure, a thin, flexible tube with a camera is inserted through the mouth and into the small intestine. Small tissue samples are taken and examined under a microscope to look for damage to the villi.

It is crucial to continue consuming gluten until all tests are completed, as a gluten-free diet can interfere with the accuracy of the results.

Gastrointestinal Symptoms and Celiac Disease

Gastrointestinal symptoms are often the most distressing aspect of celiac disease for many individuals. These symptoms can include diarrhea, constipation, abdominal pain, bloating, and gas. Some people may experience celiac disease poop pictures that are loose, watery, or foul-smelling, while others may have constipation or alternating bouts of diarrhea and constipation.

These symptoms can significantly impact a person's quality of life, leading to discomfort, embarrassment, and social isolation. It is essential to work with a healthcare provider to manage these symptoms effectively and improve overall well-being.

Managing Celiac Disease

The primary treatment for celiac disease is a strict, lifelong gluten-free diet. This means avoiding all foods and products containing gluten, including wheat, barley, and rye. It is essential to read food labels carefully and be aware of hidden sources of gluten, such as soy sauce, malt, and some medications.

In addition to a gluten-free diet, some people with celiac disease may benefit from supplements to address nutrient deficiencies. Common supplements include:

  • Vitamin D
  • Calcium
  • Iron
  • Folic acid
  • Vitamin B12

It is essential to work with a healthcare provider or registered dietitian to develop a personalized nutrition plan that meets individual needs and ensures adequate nutrient intake.

Living with Celiac Disease

Living with celiac disease requires ongoing vigilance and careful management. It is essential to be aware of potential sources of gluten contamination and to communicate openly with family, friends, and healthcare providers about dietary needs and restrictions.

Support groups and online communities can be valuable resources for people with celiac disease, providing a sense of community, shared experiences, and practical tips for managing the condition. These groups can also be a source of celiac disease poop pictures and other information to help individuals understand their symptoms and navigate the challenges of living with celiac disease.

Regular follow-up with a healthcare provider is essential to monitor symptoms, assess nutrient status, and make any necessary adjustments to the treatment plan. With proper management, people with celiac disease can lead healthy, active lives and minimize the risk of long-term complications.

📌 Note: Always consult a healthcare provider before making significant changes to your diet or starting any new supplements.

Celiac disease is a complex and challenging condition that affects many aspects of a person’s life. From the initial symptoms and diagnosis to ongoing management and support, understanding celiac disease is crucial for improving quality of life and overall health. While celiac disease poop pictures can provide some insight into the gastrointestinal symptoms of the condition, it is essential to work with a healthcare provider for an accurate diagnosis and appropriate management. With proper care and support, people with celiac disease can thrive and lead fulfilling lives.

Related Terms:

  • celiac disease poop color chart
  • celiac diarrhea after eating
  • hidden symptoms of celiac disease
  • celiac disease mouth sores pictures
  • celiac disease symptoms chart
  • celiac disease poop chart
Facebook Twitter WA
Ashley
Ashley
Author
Passionate content creator delivering insightful articles on technology, lifestyle, and more. Dedicated to bringing quality content that matters.
You Might Like