Coronary Artery Calcium

Understanding the significance of *Coronary Artery Calcium* (CAC) scoring is crucial for anyone concerned about heart health. This non-invasive test measures the amount of calcium in the coronary arteries, providing valuable insights into the risk of heart disease. By detecting early signs of atherosclerosis, CAC scoring can help individuals take proactive steps to improve their cardiovascular health.

What is Coronary Artery Calcium Scoring?

Coronary Artery Calcium scoring is a specialized type of computed tomography (CT) scan that focuses on the heart. Unlike traditional CT scans, CAC scoring specifically looks for calcium deposits in the coronary arteries. These deposits are a sign of atherosclerosis, a condition where plaque builds up in the arteries, narrowing them and increasing the risk of heart attacks and strokes.

How Does Coronary Artery Calcium Scoring Work?

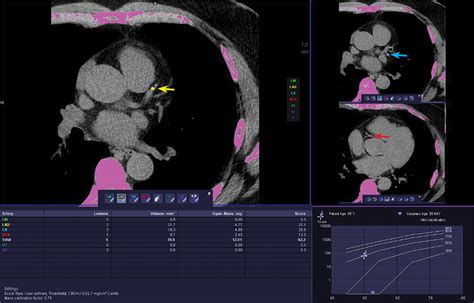
During a CAC scan, the patient lies on a table that slides into a CT scanner. The scanner takes multiple X-ray images of the heart from different angles. A computer then processes these images to create a detailed picture of the coronary arteries. The amount of calcium in the arteries is measured and given a score, known as the Agatston score.

Interpreting Coronary Artery Calcium Scores

The Agatston score is a numerical value that indicates the amount of calcium in the coronary arteries. The higher the score, the greater the risk of heart disease. Here is a general guide to interpreting CAC scores:

Score Range Risk Interpretation
0 Very low risk of heart disease
1-10 Low risk of heart disease
11-100 Mild risk of heart disease
101-400 Moderate risk of heart disease
Over 400 High risk of heart disease

It's important to note that a CAC score of zero does not guarantee that a person will never develop heart disease, but it does indicate a very low risk. Conversely, a high score suggests a significant risk and may prompt further diagnostic tests or lifestyle changes.

📝 Note: The interpretation of CAC scores should always be done by a healthcare professional who can consider the individual's overall health and medical history.

Benefits of Coronary Artery Calcium Scoring

CAC scoring offers several benefits, making it a valuable tool in preventive cardiology:

  • Early Detection: CAC scoring can detect the early stages of atherosclerosis before symptoms appear, allowing for timely intervention.
  • Risk Stratification: The test helps in stratifying patients into different risk categories, enabling personalized treatment plans.
  • Motivation for Lifestyle Changes: A high CAC score can motivate individuals to make necessary lifestyle changes, such as adopting a healthier diet, increasing physical activity, and quitting smoking.
  • Guiding Medical Treatment: For individuals with a high CAC score, doctors may recommend medications to lower cholesterol levels or control blood pressure, further reducing the risk of heart disease.

Who Should Consider Coronary Artery Calcium Scoring?

CAC scoring is particularly beneficial for individuals who are at intermediate risk of heart disease. This includes people who have:

  • Family history of heart disease
  • High cholesterol levels
  • High blood pressure
  • Diabetes or prediabetes
  • Obesity
  • Smoking history

However, it is not recommended for everyone. Individuals with a very low risk of heart disease, such as those with no risk factors and a healthy lifestyle, may not benefit from CAC scoring. Similarly, those with a very high risk, such as those who have already had a heart attack or stroke, may not need this test as their risk is already established.

📝 Note: Always consult with a healthcare provider to determine if CAC scoring is appropriate for you.

Preparing for a Coronary Artery Calcium Scan

Preparing for a CAC scan is relatively straightforward. Here are some steps to follow:

  • Consult Your Doctor: Discuss the test with your healthcare provider to ensure it is appropriate for you.
  • Avoid Caffeine and Nicotine: Refrain from consuming caffeine and nicotine for at least four hours before the scan, as these substances can affect heart rate and blood pressure.
  • Wear Comfortable Clothing: Wear loose, comfortable clothing without metal fasteners, as these can interfere with the scan.
  • Remove Jewelry and Metal Objects: Remove any jewelry, watches, or other metal objects before the scan.

What to Expect During the Scan

The CAC scan is a quick and painless procedure. Here is what to expect:

  • Arrival and Preparation: Upon arrival, you will be asked to change into a hospital gown and lie on a table that slides into the CT scanner.
  • Positioning: The technician will position you correctly to ensure the best images are obtained.
  • Scanning Process: The scanner will take multiple X-ray images of your heart from different angles. You will need to hold your breath for a few seconds during the scan to minimize movement.
  • Duration: The entire procedure typically takes about 10-15 minutes.

After the Scan

After the scan, you can resume your normal activities immediately. The images will be analyzed by a radiologist, who will provide a report to your healthcare provider. Your doctor will then discuss the results with you and recommend any necessary follow-up steps.

📝 Note: If you experience any discomfort or have questions about the procedure, do not hesitate to ask the healthcare team.

Limitations of Coronary Artery Calcium Scoring

While CAC scoring is a valuable tool, it does have some limitations:

  • Radiation Exposure: The test involves exposure to a small amount of radiation, although the risk is generally considered low.
  • False Positives/Negatives: The test may sometimes produce false positives or negatives, leading to unnecessary anxiety or a false sense of security.
  • Cost: CAC scoring can be expensive and may not be covered by all insurance plans.
  • Limited Information: The test does not provide information about the composition of the plaque (whether it is stable or unstable), which can affect the risk of a heart attack.

Alternative Tests for Heart Disease

In addition to CAC scoring, there are other tests that can help assess the risk of heart disease:

  • Stress Tests: These tests evaluate how well the heart responds to physical exertion.
  • Echocardiogram: This test uses sound waves to create images of the heart, providing information about its structure and function.
  • Cardiac MRI: Magnetic resonance imaging (MRI) of the heart can provide detailed images of the heart’s structure and blood flow.
  • Blood Tests: Tests for cholesterol levels, blood sugar, and other biomarkers can also provide valuable information about heart health.

Each of these tests has its own advantages and limitations, and the choice of test will depend on individual circumstances and medical history.

📝 Note: Always discuss the appropriate tests with your healthcare provider to determine the best course of action for your specific situation.

In conclusion, Coronary Artery Calcium scoring is a powerful tool for assessing the risk of heart disease. By detecting early signs of atherosclerosis, it allows for timely intervention and personalized treatment plans. While it has some limitations, the benefits of early detection and risk stratification make it a valuable addition to preventive cardiology. Understanding your CAC score can empower you to take proactive steps towards improving your heart health and reducing the risk of heart disease.

Related Terms:

  • coronary artery calcium test cost
  • coronary artery calcium scan
  • severe coronary artery calcifications means
  • coronary artery calcium score interpretation
  • calcium in the heart
  • coronary artery calcium ct scan
Facebook Twitter WA
Ashley
Ashley
Author
Passionate content creator delivering insightful articles on technology, lifestyle, and more. Dedicated to bringing quality content that matters.
You Might Like