Cyst In Brain

Understanding the complexities of a cyst in brain is crucial for anyone who has been diagnosed with this condition or is seeking information for a loved one. A brain cyst is a fluid-filled sac that can develop within the brain tissue or on its surface. These cysts can vary in size and location, and their impact on an individual's health can range from minimal to severe. This post aims to provide a comprehensive overview of brain cysts, including their causes, symptoms, diagnosis, treatment options, and long-term management.

Understanding Brain Cysts

A cyst in brain is a benign, fluid-filled sac that can form within the brain tissue or on its surface. These cysts are typically non-cancerous and can be congenital (present at birth) or acquired later in life. The most common types of brain cysts include:

  • Arachnoid cysts
  • Colloid cysts
  • Dermoid cysts
  • Epidermoid cysts
  • Pineal cysts

Each type of cyst has unique characteristics and can affect different parts of the brain, leading to varying symptoms and treatment approaches.

Causes of Brain Cysts

The exact causes of brain cysts can vary depending on the type. Some cysts are congenital, meaning they are present at birth and may be the result of developmental abnormalities. Others can develop later in life due to various factors, including:

  • Infections
  • Trauma
  • Inflammatory conditions
  • Genetic disorders

For example, arachnoid cysts are often congenital and result from abnormalities in the development of the arachnoid membrane, one of the layers covering the brain. Colloid cysts, on the other hand, are typically acquired and can form due to the accumulation of mucus-like fluid within the brain.

Symptoms of Brain Cysts

The symptoms of a cyst in brain can vary widely depending on the size, location, and type of cyst. Some cysts may not cause any symptoms and are discovered incidentally during imaging tests for other conditions. However, when symptoms do occur, they can include:

  • Headaches
  • Nausea and vomiting
  • Seizures
  • Vision problems
  • Balance and coordination issues
  • Memory loss
  • Changes in personality or behavior

Symptoms often develop gradually as the cyst grows and exerts pressure on surrounding brain tissue. In some cases, symptoms can be sudden and severe, particularly if the cyst ruptures or causes a blockage in the flow of cerebrospinal fluid (CSF).

Diagnosing Brain Cysts

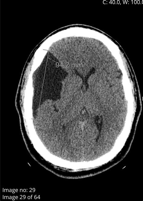
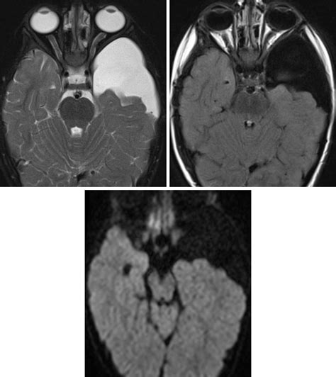
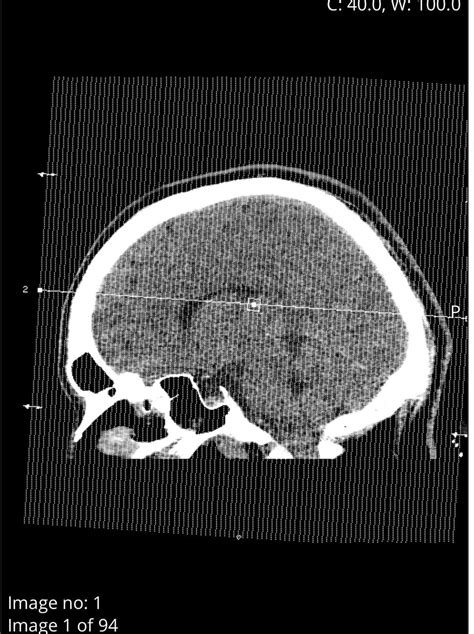
Diagnosing a cyst in brain typically involves a combination of medical history, physical examination, and imaging tests. The most common diagnostic tools include:

  • Magnetic Resonance Imaging (MRI)
  • Computed Tomography (CT) scan

MRI is often the preferred method for diagnosing brain cysts because it provides detailed images of the brain and can help differentiate between different types of cysts. CT scans are also useful and can be particularly helpful in emergency situations where quick imaging is needed.

In some cases, additional tests such as a lumbar puncture (spinal tap) may be performed to analyze the cerebrospinal fluid and rule out other conditions.

Treatment Options for Brain Cysts

The treatment for a cyst in brain depends on several factors, including the type, size, location, and symptoms associated with the cyst. Treatment options can range from watchful waiting to surgical intervention. Here are the primary treatment approaches:

Watchful Waiting

For small, asymptomatic cysts, a conservative approach known as watchful waiting may be recommended. This involves regular monitoring through imaging tests to ensure the cyst does not grow or cause symptoms. This approach is often used for:

  • Small arachnoid cysts
  • Asymptomatic pineal cysts

Regular follow-up appointments and imaging tests are essential to detect any changes in the cyst's size or symptoms.

Medications

In some cases, medications may be prescribed to manage symptoms associated with brain cysts. For example, antiepileptic drugs may be used to control seizures, while pain relievers can help manage headaches. However, medications do not treat the cyst itself but rather address the symptoms it causes.

Surgical Intervention

Surgical intervention is often necessary for larger cysts or those causing significant symptoms. The type of surgery depends on the cyst's location and characteristics. Common surgical procedures include:

  • Cyst fenestration: Creating an opening in the cyst to drain the fluid and reduce pressure.
  • Cyst resection: Removing the entire cyst, which is often done for epidermoid and dermoid cysts.
  • Shunt placement: Inserting a shunt to drain excess fluid and relieve pressure, commonly used for colloid cysts.

Surgical procedures are typically performed by a neurosurgeon and may involve minimally invasive techniques to reduce the risk of complications.

Long-Term Management of Brain Cysts

Long-term management of a cyst in brain involves regular follow-up appointments and imaging tests to monitor the cyst's size and symptoms. Patients may also need to manage any residual symptoms or complications that arise from the cyst or its treatment. Key aspects of long-term management include:

  • Regular imaging tests (MRI or CT scans) to monitor the cyst.
  • Follow-up appointments with a neurologist or neurosurgeon.
  • Medication management for symptoms such as seizures or headaches.
  • Physical therapy or rehabilitation to address any neurological deficits.

Patients should work closely with their healthcare team to develop a personalized management plan that addresses their specific needs and concerns.

📝 Note: Long-term management is crucial for ensuring the best possible outcomes and quality of life for individuals with brain cysts. Regular follow-up and adherence to the management plan are essential.

Living with a Brain Cyst

Living with a cyst in brain can present unique challenges, but many individuals are able to lead fulfilling lives with proper management and support. Here are some tips for coping with a brain cyst:

  • Educate yourself about the condition to better understand its implications and management.
  • Maintain open communication with your healthcare team to address any concerns or changes in symptoms.
  • Seek support from family, friends, and support groups to help cope with the emotional and practical aspects of living with a brain cyst.
  • Focus on maintaining a healthy lifestyle, including regular exercise, a balanced diet, and adequate sleep.

While living with a brain cyst can be challenging, many individuals find that with proper management and support, they can continue to enjoy a high quality of life.

In some cases, individuals with brain cysts may experience long-term effects such as cognitive changes, neurological deficits, or emotional challenges. It is important to address these issues with the help of healthcare professionals, including neurologists, neuropsychologists, and therapists. Support groups and counseling services can also provide valuable resources and emotional support.

Regular follow-up appointments and imaging tests are essential for monitoring the cyst's size and symptoms. Patients should work closely with their healthcare team to develop a personalized management plan that addresses their specific needs and concerns.

In conclusion, understanding the complexities of a cyst in brain is essential for anyone diagnosed with this condition or seeking information for a loved one. By recognizing the causes, symptoms, diagnosis, treatment options, and long-term management strategies, individuals can better navigate the challenges associated with brain cysts and work towards achieving the best possible outcomes. With proper care and support, many individuals with brain cysts can lead fulfilling lives and maintain a high quality of life.

Related Terms:

  • cyst on brain removal
  • cyst on brain treatment
  • cyst on brain mri
  • cyst on brain causing seizure
  • cyst on brain causes
  • arachnoid cyst on brain
Facebook Twitter WA
Ashley
Ashley
Author
Passionate content creator delivering insightful articles on technology, lifestyle, and more. Dedicated to bringing quality content that matters.
You Might Like