Eczema Herpeticum Pictures

Eczema herpeticum is a severe and potentially dangerous skin condition that occurs when the herpes simplex virus (HSV) infects individuals with eczema or atopic dermatitis. This condition is characterized by widespread, painful blisters and sores that can quickly spread across the body. Understanding eczema herpeticum, its symptoms, causes, and treatment options is crucial for managing this condition effectively.

Understanding Eczema Herpeticum

Eczema herpeticum, also known as Kaposi's varicelliform eruption, is a rare but serious complication of eczema. It is caused by the herpes simplex virus, which can be either HSV-1 or HSV-2. The virus takes advantage of the compromised skin barrier in individuals with eczema, leading to a severe and rapid spread of the infection. This condition is particularly dangerous because it can lead to systemic infections and other complications if not treated promptly.

Symptoms of Eczema Herpeticum

Recognizing the symptoms of eczema herpeticum is essential for early intervention. The condition typically presents with the following symptoms:

  • Painful blisters and sores: These can appear suddenly and spread rapidly across the body, often starting from areas affected by eczema.
  • Fever and malaise: Many individuals experience a high fever and a general feeling of illness.
  • Swollen lymph nodes: The lymph nodes, particularly those in the neck and armpits, may become swollen and tender.
  • Redness and inflammation: The skin around the blisters may become red and inflamed.

If you suspect eczema herpeticum, it is crucial to seek medical attention immediately. Early diagnosis and treatment can prevent the infection from spreading and causing more severe complications.

Causes of Eczema Herpeticum

Eczema herpeticum is caused by the herpes simplex virus, which can be transmitted through direct contact with an infected person or through contact with contaminated surfaces. The virus can enter the body through breaks in the skin, which are common in individuals with eczema. Factors that increase the risk of developing eczema herpeticum include:

  • Severe eczema: Individuals with severe or poorly controlled eczema are at a higher risk.
  • Young age: Children, especially those under the age of 2, are more susceptible.
  • Immunocompromised state: Individuals with weakened immune systems are at greater risk.

Preventing eczema herpeticum involves managing eczema effectively and avoiding contact with individuals who have active herpes infections.

Diagnosis of Eczema Herpeticum

Diagnosing eczema herpeticum typically involves a combination of clinical examination and laboratory tests. A healthcare provider will examine the skin for characteristic blisters and sores and may take a sample of the fluid from the blisters for laboratory analysis. The following diagnostic methods are commonly used:

  • Clinical examination: A visual inspection of the skin to identify the characteristic blisters and sores.
  • Viral culture: A sample of the fluid from the blisters is cultured to identify the presence of the herpes simplex virus.
  • Polymerase chain reaction (PCR) test: This test can detect the genetic material of the virus in the fluid from the blisters.

Early and accurate diagnosis is crucial for effective treatment and prevention of complications.

Treatment Options for Eczema Herpeticum

Treatment for eczema herpeticum focuses on controlling the viral infection and managing symptoms. The primary treatment options include:

  • Antiviral medications: Oral antiviral drugs such as acyclovir, valacyclovir, or famciclovir are commonly prescribed to treat the herpes simplex virus infection.
  • Topical treatments: Topical antiviral creams or ointments may be used to treat localized infections.
  • Pain management: Over-the-counter pain relievers or prescription medications may be used to manage pain and discomfort.
  • Hospitalization: In severe cases, hospitalization may be required for intravenous antiviral therapy and supportive care.

It is important to follow the prescribed treatment plan and complete the full course of antiviral medication to prevent recurrence and complications.

Prevention Strategies

Preventing eczema herpeticum involves managing eczema effectively and taking precautions to avoid exposure to the herpes simplex virus. The following strategies can help reduce the risk:

  • Effective eczema management: Use moisturizers, topical corticosteroids, and other treatments as prescribed by your healthcare provider to control eczema symptoms.
  • Avoid contact with infected individuals: Avoid close contact with people who have active herpes infections, especially during outbreaks.
  • Practice good hygiene: Wash hands frequently and avoid sharing personal items such as towels or razors.
  • Vaccination: While there is no vaccine specifically for eczema herpeticum, getting vaccinated against herpes simplex virus can reduce the risk of infection.

By following these prevention strategies, individuals with eczema can reduce their risk of developing eczema herpeticum.

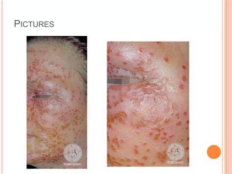
Eczema Herpeticum Pictures

Visual aids can be incredibly helpful in understanding the severity and appearance of eczema herpeticum. While it is important to note that images can be graphic and may not be suitable for all viewers, they provide a clear representation of the condition. Eczema herpeticum pictures typically show:

  • Widespread blisters and sores: These can cover large areas of the body, often starting from areas affected by eczema.
  • Redness and inflammation: The skin around the blisters may appear red and inflamed.
  • Crusting and scabbing: As the blisters heal, they may crust over and form scabs.

If you are considering looking at eczema herpeticum pictures, it is important to do so with caution and under the guidance of a healthcare provider. These images can be distressing and may not be suitable for everyone.

📸 Note: Always consult a healthcare provider before searching for or viewing eczema herpeticum pictures to ensure you are prepared for the visual content and to receive appropriate guidance.

Complications and Long-Term Effects

Eczema herpeticum can lead to several complications if not treated promptly and effectively. Some of the potential complications include:

  • Systemic infection: The virus can spread to other parts of the body, leading to serious infections.
  • Scarring: Severe cases can result in permanent scarring.
  • Recurrent infections: Individuals who have had eczema herpeticum are at a higher risk of recurrent herpes infections.
  • Bacterial superinfection: The blisters and sores can become infected with bacteria, leading to additional complications.

Prompt diagnosis and treatment are essential to minimize the risk of these complications and ensure a full recovery.

Support and Resources

Living with eczema and managing the risk of eczema herpeticum can be challenging. Fortunately, there are numerous resources and support groups available to help individuals and their families cope with this condition. Some useful resources include:

  • National Eczema Association: This organization provides educational materials, support groups, and resources for individuals with eczema.
  • American Academy of Dermatology: Offers information on eczema, treatment options, and prevention strategies.
  • Support groups: Joining a support group can provide emotional support and practical advice from others who have experienced eczema herpeticum.

These resources can provide valuable information and support for managing eczema and preventing eczema herpeticum.

Case Studies and Real-Life Examples

Understanding eczema herpeticum through real-life examples can provide valuable insights into the condition's severity and the importance of early intervention. Here are a few case studies that illustrate the challenges and outcomes of eczema herpeticum:

Case Study Age Symptoms Treatment Outcome
Case 1 3 years old Widespread blisters, fever, swollen lymph nodes Oral antiviral medication, topical cream Full recovery within 2 weeks
Case 2 25 years old Severe blisters, redness, pain Intravenous antiviral therapy, hospitalization Recovered with minimal scarring
Case 3 18 months old Blisters on face and body, fever Oral antiviral medication, pain management Full recovery with no complications

These case studies highlight the importance of early diagnosis and treatment in managing eczema herpeticum effectively.

Eczema herpeticum is a serious condition that requires prompt medical attention. By understanding the symptoms, causes, and treatment options, individuals with eczema can take proactive steps to prevent and manage this condition. Effective eczema management, avoidance of herpes simplex virus exposure, and early intervention are key to minimizing the risk of complications and ensuring a full recovery.

Related Terms:

  • eczema herpeticum face
  • eczema herpeticum cks
  • what is eczema herpeticum
  • eczema herpeticum contagious
  • eczema herpeticum treatment pediatrics
  • eczema herpeticum symptoms
Facebook Twitter WA
Ashley
Ashley
Author
Passionate content creator delivering insightful articles on technology, lifestyle, and more. Dedicated to bringing quality content that matters.
You Might Like