Elbow Hairline Fracture

An elbow hairline fracture, also known as a non-displaced fracture, is a common injury that occurs when the bone cracks but does not break completely. This type of fracture is often caused by a fall or a direct blow to the elbow, and it can be quite painful and debilitating. Understanding the causes, symptoms, diagnosis, and treatment options for an elbow hairline fracture is crucial for effective management and recovery.

Understanding Elbow Hairline Fractures

An elbow hairline fracture involves a small crack in one of the bones that make up the elbow joint. The elbow is a complex joint composed of three bones: the humerus (upper arm bone), the ulna (one of the forearm bones), and the radius (the other forearm bone). These bones are held together by ligaments, tendons, and muscles, which allow for a wide range of motion.

Hairline fractures are typically non-displaced, meaning the bone fragments remain in their normal position. This is in contrast to displaced fractures, where the bone fragments are separated and may require surgical intervention to realign.

Causes of Elbow Hairline Fractures

Elbow hairline fractures can occur due to various reasons, including:

  • Falls: Falling onto an outstretched hand or directly onto the elbow is a common cause of hairline fractures.
  • Direct Impact: A direct blow to the elbow, such as during a sports injury or an accident, can result in a hairline fracture.
  • Overuse: Repetitive stress on the elbow, often seen in athletes or individuals with physically demanding jobs, can lead to stress fractures, which are a type of hairline fracture.
  • Osteoporosis: Individuals with osteoporosis, a condition that weakens the bones, are more susceptible to hairline fractures from minor injuries.

Symptoms of Elbow Hairline Fractures

Recognizing the symptoms of an elbow hairline fracture is essential for prompt treatment. Common symptoms include:

  • Pain: Persistent pain in the elbow, which may worsen with movement or pressure.
  • Swelling: Swelling around the elbow joint, which can make it difficult to move the arm.
  • Bruising: Bruising or discoloration around the elbow area.
  • Tenderness: Tenderness to touch, especially over the affected bone.
  • Limited Range of Motion: Difficulty moving the elbow or arm due to pain and swelling.

If you experience these symptoms after an injury, it is important to seek medical attention for a proper diagnosis.

Diagnosing Elbow Hairline Fractures

Diagnosing an elbow hairline fracture typically involves a combination of physical examination and imaging tests. The diagnostic process may include:

  • Physical Examination: A healthcare provider will examine the elbow, checking for tenderness, swelling, and range of motion.
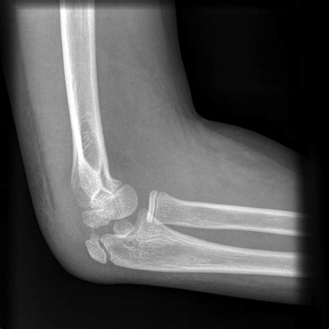
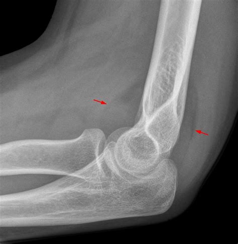
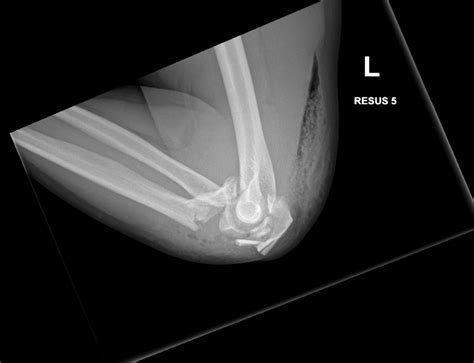
  • X-Rays: X-rays are the primary imaging tool used to diagnose hairline fractures. They can show the crack in the bone and help determine the extent of the injury.
  • CT Scans: In some cases, a CT scan may be ordered to provide a more detailed view of the bone and surrounding tissues.
  • MRI Scans: An MRI may be used to assess soft tissue damage and confirm the diagnosis of a hairline fracture.

Based on the findings, the healthcare provider will develop a treatment plan tailored to the individual's needs.

Treatment Options for Elbow Hairline Fractures

The treatment for an elbow hairline fracture depends on the severity of the injury and the individual's overall health. Common treatment options include:

Non-Surgical Treatment

For most elbow hairline fractures, non-surgical treatment is sufficient. This may include:

  • Rest: Avoiding activities that put stress on the elbow to allow the bone to heal.
  • Ice: Applying ice to the affected area to reduce swelling and pain.
  • Compression: Using a compression bandage to help control swelling.
  • Elevation: Keeping the elbow elevated to reduce swelling.
  • Pain Medication: Taking over-the-counter pain relievers such as ibuprofen or acetaminophen to manage pain.
  • Immobilization: Wearing a sling or brace to immobilize the elbow and promote healing.

Physical therapy may also be recommended to help regain strength and range of motion in the elbow once the fracture has healed.

Surgical Treatment

In rare cases, surgical intervention may be necessary for an elbow hairline fracture. Surgery is typically reserved for:

  • Displaced fractures where the bone fragments are separated.
  • Fractures that do not heal properly with non-surgical treatment.
  • Fractures that cause significant instability in the elbow joint.

Surgical options may include:

  • Open Reduction and Internal Fixation (ORIF): A procedure where the bone fragments are realigned and held in place with screws, plates, or rods.
  • Arthroscopy: A minimally invasive procedure using a small camera to visualize and repair the fracture.

After surgery, a period of immobilization and rehabilitation is typically required to ensure proper healing and restore function to the elbow.

Recovery and Rehabilitation

Recovery from an elbow hairline fracture can take several weeks to a few months, depending on the severity of the injury and the individual's overall health. The rehabilitation process may include:

  • Immobilization: Wearing a sling or brace to keep the elbow stable and promote healing.
  • Physical Therapy: Exercises to improve range of motion, strength, and flexibility in the elbow.
  • Gradual Return to Activities: Slowly resuming normal activities and avoiding high-impact exercises until the elbow is fully healed.

It is important to follow the healthcare provider's instructions for rehabilitation to ensure a successful recovery.

📝 Note: Avoid returning to strenuous activities or sports until cleared by a healthcare provider to prevent re-injury.

Preventing Elbow Hairline Fractures

While not all elbow hairline fractures can be prevented, there are steps you can take to reduce the risk of injury:

  • Wear Protective Gear: Use elbow pads and other protective gear during sports and physical activities.
  • Strengthen Muscles: Engage in exercises that strengthen the muscles around the elbow to provide better support.
  • Maintain Bone Health: Ensure adequate calcium and vitamin D intake to maintain strong bones.
  • Fall Prevention: Take precautions to prevent falls, such as using non-slip mats and removing tripping hazards.

By taking these precautions, you can reduce the risk of sustaining an elbow hairline fracture.

Common Complications

While most elbow hairline fractures heal without complications, there are some potential issues to be aware of:

  • Non-Union: The bone does not heal properly, leading to persistent pain and instability.
  • Malunion: The bone heals in an improper position, which can affect the function of the elbow.
  • Arthritis: Long-term complications may include the development of arthritis in the elbow joint.
  • Nerve Damage: Injury to the nerves around the elbow, which can cause numbness, tingling, or weakness.

Regular follow-ups with a healthcare provider can help monitor the healing process and address any complications that may arise.

Elbow hairline fractures are a common injury that can significantly impact daily activities and quality of life. Understanding the causes, symptoms, diagnosis, and treatment options is essential for effective management and recovery. By following the recommended treatment plan and taking preventive measures, individuals can minimize the risk of complications and achieve a full recovery.

Related Terms:

  • elbow hairline fracture surgery
  • hairline fracture in elbow symptoms
  • broken or fractured elbow symptoms
  • best treatment for fractured elbow
  • elbow fracture pictures
  • different types of elbow fractures
Facebook Twitter WA
Ashley
Ashley
Author
Passionate content creator delivering insightful articles on technology, lifestyle, and more. Dedicated to bringing quality content that matters.
You Might Like