Encore Dental Lacey

In the heart of Lacey, Washington, there's a dental practice that stands out for its commitment to excellence and patient care: Encore Dental Lacey. This dental clinic has become a beacon of hope for those seeking top-notch dental services in a welcoming and professional environment. Whether you're in need of routine check-ups, cosmetic dentistry, or advanced dental procedures, Encore Dental Lacey offers a comprehensive range of services designed to meet the diverse needs of its patients.

Why Choose Encore Dental Lacey?

Choosing the right dental clinic is crucial for maintaining good oral health. Encore Dental Lacey stands out for several reasons:

  • Expertise and Experience: The team at Encore Dental Lacey comprises highly skilled and experienced dental professionals who are dedicated to providing the best possible care. Their expertise covers a wide range of dental services, ensuring that patients receive the treatment they need.
  • State-of-the-Art Technology: The clinic is equipped with the latest dental technology, allowing for more accurate diagnoses and effective treatments. This commitment to advanced technology ensures that patients receive the highest standard of care.
  • Comfortable Environment: Encore Dental Lacey understands that visiting the dentist can be stressful for some patients. The clinic is designed to be comfortable and welcoming, with a friendly staff that goes the extra mile to make patients feel at ease.
  • Personalized Care: Each patient is unique, and so are their dental needs. Encore Dental Lacey takes a personalized approach to dental care, tailoring treatments to meet the specific needs and preferences of each patient.

Services Offered at Encore Dental Lacey

Encore Dental Lacey offers a wide range of dental services to cater to the diverse needs of its patients. Some of the key services include:

  • General Dentistry: This includes routine check-ups, cleanings, and preventive care to maintain good oral health. Regular visits to the dentist can help prevent dental issues before they become serious.
  • Cosmetic Dentistry: For those looking to enhance their smile, Encore Dental Lacey offers a variety of cosmetic dentistry services, including teeth whitening, veneers, and dental implants. These services can transform your smile and boost your confidence.
  • Restorative Dentistry: If you have missing or damaged teeth, restorative dentistry can help. Services include dental crowns, bridges, and dentures, which can restore the function and appearance of your teeth.
  • Orthodontics: Encore Dental Lacey provides orthodontic treatments to straighten teeth and correct bite issues. Whether you need traditional braces or Invisalign, the clinic offers effective solutions for a straighter smile.
  • Emergency Dental Care: Dental emergencies can happen at any time. Encore Dental Lacey is equipped to handle dental emergencies, providing prompt and effective care to alleviate pain and address urgent dental issues.

The Importance of Regular Dental Check-Ups

Regular dental check-ups are essential for maintaining good oral health. At Encore Dental Lacey, the team emphasizes the importance of preventive care. Here are some reasons why regular dental check-ups are crucial:

  • Early Detection of Issues: Regular check-ups allow dentists to detect dental issues early, before they become more serious and costly to treat. Early detection can prevent the need for more invasive procedures.
  • Preventive Care: Preventive care, such as professional cleanings and fluoride treatments, can help prevent cavities, gum disease, and other dental issues. Regular check-ups ensure that your teeth and gums stay healthy.
  • Oral Cancer Screening: During a routine check-up, dentists can perform an oral cancer screening to detect any signs of cancer early. Early detection is crucial for successful treatment.
  • Maintaining Overall Health: Good oral health is linked to overall health. Regular dental check-ups can help prevent systemic health issues, such as heart disease and diabetes, which are often associated with poor oral health.

🔍 Note: Regular dental check-ups are recommended every six months for most patients. However, individuals with specific dental issues or health conditions may need to visit the dentist more frequently.

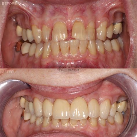
Cosmetic Dentistry at Encore Dental Lacey

Encore Dental Lacey offers a range of cosmetic dentistry services designed to enhance the appearance of your smile. Whether you want to whiten your teeth, straighten them, or replace missing teeth, the clinic has the expertise and technology to achieve your goals. Some of the popular cosmetic dentistry services include:

  • Teeth Whitening: Professional teeth whitening can remove stains and discoloration, giving you a brighter, more confident smile. Encore Dental Lacey offers both in-office and take-home whitening options.
  • Veneers: Dental veneers are thin shells of porcelain or composite resin that are bonded to the front of your teeth. They can correct a variety of cosmetic issues, including chips, cracks, and gaps.
  • Dental Implants: Dental implants are a permanent solution for missing teeth. They look and function like natural teeth, providing a stable and durable replacement.
  • Invisalign: Invisalign is a popular orthodontic treatment that uses clear, removable aligners to straighten teeth. It's a discreet and convenient alternative to traditional braces.

Restorative Dentistry at Encore Dental Lacey

Restorative dentistry focuses on repairing and replacing damaged or missing teeth. Encore Dental Lacey offers a variety of restorative dentistry services to restore the function and appearance of your teeth. Some of the key services include:

  • Dental Crowns: Dental crowns are used to restore damaged or decayed teeth. They are custom-made to fit over the affected tooth, providing strength and protection.
  • Dental Bridges: Dental bridges are used to replace one or more missing teeth. They consist of one or more artificial teeth anchored by dental crowns on adjacent teeth.
  • Dentures: Dentures are removable replacements for missing teeth. They can be full or partial, depending on the number of missing teeth. Encore Dental Lacey offers both traditional and implant-supported dentures.
  • Root Canal Therapy: Root canal therapy is used to treat infected or damaged tooth pulp. The procedure involves removing the infected pulp, cleaning the tooth, and sealing it to prevent further infection.

Orthodontics at Encore Dental Lacey

Orthodontic treatments are designed to straighten teeth and correct bite issues. Encore Dental Lacey offers a range of orthodontic services to help patients achieve a straighter, healthier smile. Some of the orthodontic treatments available include:

  • Traditional Braces: Traditional braces use metal brackets and wires to straighten teeth. They are effective for correcting a wide range of orthodontic issues.
  • Invisalign: Invisalign is a popular alternative to traditional braces. It uses clear, removable aligners to straighten teeth discreetly and conveniently.
  • Clear Braces: Clear braces are similar to traditional braces but use clear or tooth-colored brackets and wires, making them less noticeable.
  • Lingual Braces: Lingual braces are placed on the back of the teeth, making them virtually invisible from the front. They are a discreet option for patients who want to straighten their teeth without the appearance of braces.

Emergency Dental Care at Encore Dental Lacey

Dental emergencies can happen at any time, and it's important to have access to prompt and effective care. Encore Dental Lacey is equipped to handle a variety of dental emergencies, providing relief and treatment for urgent dental issues. Some common dental emergencies include:

  • Toothache: A severe toothache can be debilitating. Encore Dental Lacey can diagnose the cause of the pain and provide appropriate treatment.
  • Broken or Chipped Tooth: A broken or chipped tooth can be painful and affect your ability to eat and speak. The clinic can repair the tooth and restore its function and appearance.
  • Knocked-Out Tooth: If a tooth is knocked out, it's important to seek immediate dental care. Encore Dental Lacey can attempt to reimplant the tooth if possible.
  • Lost Filling or Crown: A lost filling or crown can expose the tooth to further damage. The clinic can replace the filling or crown to protect the tooth.

🚨 Note: In case of a dental emergency, it's important to contact Encore Dental Lacey immediately. The clinic offers emergency dental care to provide prompt relief and treatment.

Patient Testimonials

Encore Dental Lacey has earned a reputation for excellence in dental care, and many patients have shared their positive experiences. Here are some testimonials from satisfied patients:

Patient Name Service Received Testimonial
John D. Teeth Whitening "I was amazed by the results of my teeth whitening treatment at Encore Dental Lacey. My teeth are brighter and whiter than ever before!"
Sarah L. Dental Implants "I had been struggling with missing teeth for years, but Encore Dental Lacey provided me with dental implants that look and feel natural. I'm so grateful for their expertise!"
Michael R. Invisalign "Invisalign was the perfect solution for straightening my teeth without the hassle of traditional braces. The staff at Encore Dental Lacey made the process easy and comfortable."
Emily K. Root Canal Therapy "I was nervous about getting a root canal, but the team at Encore Dental Lacey made me feel at ease. The procedure was painless, and my tooth feels great!"

The Encore Dental Lacey Experience

Visiting Encore Dental Lacey is more than just a dental appointment; it's an experience designed to make patients feel comfortable and cared for. From the moment you walk through the door, you'll be greeted by a friendly and professional staff dedicated to providing the best possible care. The clinic's modern and inviting atmosphere ensures that patients feel at ease, even during more complex procedures.

Encore Dental Lacey understands that dental care is not one-size-fits-all. The team takes the time to listen to each patient's concerns and tailor treatments to meet their unique needs. Whether you're seeking routine care or advanced dental procedures, you can trust that you'll receive personalized attention and expert care.

In addition to their commitment to excellence in dental care, Encore Dental Lacey is also dedicated to staying up-to-date with the latest advancements in dental technology. The clinic invests in state-of-the-art equipment and techniques to ensure that patients receive the most effective and efficient treatments available.

Encore Dental Lacey is more than just a dental clinic; it's a community of caring professionals dedicated to helping patients achieve and maintain optimal oral health. With a focus on personalized care, advanced technology, and a comfortable environment, Encore Dental Lacey stands out as a leader in dental care in Lacey, Washington.

Encore Dental Lacey is committed to providing exceptional dental care to patients of all ages. Whether you're a child, adult, or senior, the clinic offers a range of services designed to meet your unique dental needs. From routine check-ups to advanced dental procedures, Encore Dental Lacey is your partner in achieving and maintaining a healthy, beautiful smile.

Encore Dental Lacey is proud to serve the Lacey community and surrounding areas. The clinic's convenient location and flexible scheduling options make it easy for patients to access the dental care they need. Whether you're a long-time resident or new to the area, Encore Dental Lacey welcomes you with open arms and a commitment to excellence in dental care.

Encore Dental Lacey is dedicated to educating patients about the importance of oral health and providing them with the tools and knowledge they need to maintain a healthy smile. The clinic offers a variety of resources, including educational materials and personalized advice, to help patients take control of their oral health.

Encore Dental Lacey is committed to making dental care accessible and affordable for all patients. The clinic accepts a wide range of insurance plans and offers flexible payment options to ensure that cost is not a barrier to receiving the dental care you need. The team at Encore Dental Lacey works with each patient to develop a treatment plan that fits their budget and meets their dental needs.

Encore Dental Lacey is proud to be a part of the Lacey community and is committed to giving back to the community through various initiatives and programs. The clinic supports local charities and organizations and participates in community events to promote oral health and wellness. Encore Dental Lacey is dedicated to making a positive impact on the community and improving the lives of its patients.

Encore Dental Lacey is a trusted name in dental care, known for its commitment to excellence, personalized care, and advanced technology. The clinic's team of experienced dental professionals is dedicated to providing the highest standard of care to each patient, ensuring that they receive the treatment they need to achieve and maintain optimal oral health.

Encore Dental Lacey is more than just a dental clinic; it's a community of caring professionals dedicated to helping patients achieve and maintain optimal oral health. With a focus on personalized care, advanced technology, and a comfortable environment, Encore Dental Lacey stands out as a leader in dental care in Lacey, Washington.

Encore Dental Lacey is committed to providing exceptional dental care to patients of all ages. Whether you're a child, adult, or senior, the clinic offers a range of services designed to meet your unique dental needs. From routine check-ups to advanced dental procedures, Encore Dental Lacey is your partner in achieving and maintaining a healthy, beautiful smile.

Encore Dental Lacey is proud to serve the Lacey community and surrounding areas. The clinic's convenient location and flexible scheduling options make it easy for patients to access the dental care they need. Whether you're a long-time resident or new to the area, Encore Dental Lacey welcomes you with open arms and a commitment to excellence in dental care.

Encore Dental Lacey is dedicated to educating patients about the importance of oral health and providing them with the tools and knowledge they need to maintain a healthy smile. The clinic offers a variety of resources, including educational materials and personalized advice, to help patients take control of their oral health.

Encore Dental Lacey is committed to making dental care accessible and affordable for all patients. The clinic accepts a wide range of insurance plans and offers flexible payment options to ensure that cost is not a barrier to receiving the dental care you need. The team at Encore Dental Lacey works with each patient to develop a treatment plan that fits their budget and meets their dental needs.

Encore Dental Lacey is proud to be a part of the Lacey community and is committed to giving back to the community through various initiatives and programs. The clinic supports local charities and organizations and participates in community events to promote oral health and wellness. Encore Dental Lacey is dedicated to making a positive impact on the community and improving the lives of its patients.

Encore Dental Lacey is a trusted name in dental care, known for its commitment to excellence, personalized care, and advanced technology. The clinic's team of experienced dental professionals is dedicated to providing the highest standard of care to each patient, ensuring that they receive the treatment they need to achieve and maintain optimal oral health.

Encore Dental Lacey is more than just a dental clinic; it's a community of caring professionals dedicated to helping patients achieve and maintain optimal oral health. With a focus on personalized care, advanced technology, and a comfortable environment, Encore Dental Lacey stands out as a leader in dental care in Lacey, Washington.

Encore Dental Lacey is committed to providing exceptional dental care to patients of all ages. Whether you're a child, adult, or senior, the clinic offers a range of services designed to meet your unique dental needs. From routine check-ups to advanced dental procedures, Encore Dental Lacey is your partner in achieving and maintaining a healthy, beautiful smile.

Encore Dental Lacey is proud to serve the Lacey community and surrounding areas. The clinic's convenient location and flexible scheduling options make it easy for patients to access the dental care they need. Whether you're a long-time resident or new to the area, Encore Dental Lacey welcomes you with open arms and a commitment to excellence in dental care.

Encore Dental Lacey is dedicated to educating patients about the importance of oral health and providing them with the tools and knowledge they need to maintain a healthy smile. The clinic offers a variety of resources, including educational materials and personalized advice, to help patients take control of their oral health.

Encore Dental Lacey is committed to making dental care accessible and affordable for all patients. The clinic accepts a wide range of insurance plans and offers flexible payment options to ensure that cost is not a barrier to receiving the dental care you need. The team at Encore Dental Lacey works with each patient to develop a treatment plan that fits their budget and meets their dental needs.

Encore Dental Lacey is proud to be a part of the Lacey community and is committed to giving back to the community through various initiatives and programs. The clinic supports local charities and organizations and participates in community events to promote oral health and wellness. Encore Dental Lacey is dedicated to making a positive impact on the community and improving the lives of its patients.

Encore Dental Lacey is a trusted name in dental care, known for its commitment to excellence, personalized care, and advanced technology. The clinic's team of experienced dental professionals is dedicated to providing the highest standard of care to each patient, ensuring that they receive the treatment they need to achieve and maintain optimal oral health.

Encore Dental Lacey is more than just a dental clinic; it's a community of caring professionals dedicated to helping patients achieve and maintain optimal oral health. With a focus on personalized care, advanced technology, and a comfortable environment, Encore Dental Lacey stands out as a leader in dental care in Lacey, Washington.

Encore Dental Lacey is committed to providing exceptional dental care to patients of all ages. Whether you're a child, adult, or senior, the clinic offers a range of services designed to meet your unique dental needs. From routine check-ups to advanced dental procedures, Encore Dental Lacey is your partner in achieving and maintaining a healthy, beautiful smile.

Encore Dental Lacey is proud to serve the Lacey community and surrounding areas. The clinic's convenient location and flexible scheduling options make it easy for patients to access the dental care they need. Whether you're a long-time resident or new to the area, Encore Dental Lacey welcomes you with open arms and a commitment to excellence in dental care.

Encore Dental Lacey is dedicated to educating patients about the importance of oral health and providing them with the tools and knowledge they need to maintain a healthy smile. The clinic offers a variety of resources, including educational materials and personalized advice, to help patients take control of their oral health.

Encore Dental Lacey is committed to making dental care accessible and affordable for all patients. The clinic accepts a wide range of insurance plans and offers flexible payment options to ensure that cost is not a barrier to receiving the dental care you need. The team

Related Terms:

  • encore dental lacey nj
  • encore dental forked river
  • the smilist lacey nj
  • encore dental forked river nj
  • dentist in lacey nj
  • dentists in forked river nj
Facebook Twitter WA
Ashley
Ashley
Author
Passionate content creator delivering insightful articles on technology, lifestyle, and more. Dedicated to bringing quality content that matters.
You Might Like