Esophageal Achalasia Treatment

Esophageal achalasia is a rare but serious condition that affects the esophagus, the tube that carries food from the mouth to the stomach. This condition occurs when the muscles of the lower esophageal sphincter (LES) fail to relax properly, making it difficult for food and liquids to pass into the stomach. This can lead to symptoms such as difficulty swallowing, regurgitation, chest pain, and weight loss. Understanding the various Esophageal Achalasia Treatment options is crucial for managing this condition effectively.

Understanding Esophageal Achalasia

Esophageal achalasia is characterized by the inability of the LES to relax, which is normally controlled by the vagus nerve. This malfunction can be due to various factors, including genetic predisposition, autoimmune disorders, and infections. The condition is typically diagnosed through a combination of symptoms, imaging tests, and diagnostic procedures such as endoscopy and manometry.

Symptoms of Esophageal Achalasia

The symptoms of esophageal achalasia can vary in severity and may include:

  • Difficulty swallowing (dysphagia)
  • Regurgitation of undigested food
  • Chest pain, often mistaken for heartburn
  • Weight loss due to reduced food intake
  • Coughing or choking, especially at night
  • Heartburn and acid reflux

Diagnosing Esophageal Achalasia

Diagnosing esophageal achalasia involves several steps to confirm the condition and rule out other potential causes of symptoms. The diagnostic process typically includes:

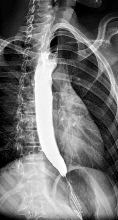
  • Barium Swallow Test: This X-ray test involves swallowing a barium solution, which coats the esophagus and helps visualize any abnormalities.
  • Endoscopy: A flexible tube with a camera is inserted down the throat to examine the esophagus and stomach for any signs of obstruction or inflammation.
  • Manometry: This test measures the pressure within the esophagus and LES to assess muscle function and relaxation.
  • pH Monitoring: This test measures the acidity levels in the esophagus to rule out gastroesophageal reflux disease (GERD) as a cause of symptoms.

Esophageal Achalasia Treatment Options

Treatment for esophageal achalasia aims to relieve symptoms and improve the quality of life. The choice of treatment depends on the severity of the condition, the patient’s overall health, and individual preferences. The primary Esophageal Achalasia Treatment options include:

Medications

While medications cannot cure esophageal achalasia, they can help manage symptoms. Common medications include:

  • Calcium Channel Blockers: These drugs help relax the LES, making it easier for food to pass into the stomach.
  • Nitrates: These medications also help relax the LES and can be used in combination with calcium channel blockers.
  • Botulinum Toxin Injections: Injections of botulinum toxin (Botox) into the LES can temporarily paralyze the muscles, allowing for better relaxation and passage of food.

Endoscopic Procedures

Endoscopic procedures are minimally invasive and can provide effective relief from symptoms. The most common endoscopic procedures include:

  • Pneumatic Dilation: This procedure involves inserting a balloon into the esophagus and inflating it to stretch the LES, allowing for better relaxation.
  • Peroral Endoscopic Myotomy (POEM): This procedure involves making an incision in the esophagus and cutting the muscles of the LES to improve relaxation. It is a relatively new procedure but has shown promising results.

Surgical Options

In some cases, surgery may be necessary to treat esophageal achalasia. The most common surgical procedure is:

  • Heller Myotomy: This procedure involves making an incision in the abdomen or chest and cutting the muscles of the LES to improve relaxation. It can be performed laparoscopically or through open surgery.

Lifestyle Changes

In addition to medical and surgical treatments, lifestyle changes can help manage symptoms and improve overall health. These changes may include:

  • Eating smaller, more frequent meals
  • Avoiding lying down immediately after eating
  • Elevating the head of the bed to prevent regurgitation
  • Avoiding trigger foods that exacerbate symptoms
  • Maintaining a healthy weight through a balanced diet and regular exercise

Complications of Esophageal Achalasia

If left untreated, esophageal achalasia can lead to several complications, including:

  • Aspiration Pneumonia: Food or liquid that is regurgitated can be inhaled into the lungs, leading to infection.
  • Esophageal Cancer: Long-term inflammation and irritation of the esophagus can increase the risk of developing cancer.
  • Malnutrition: Difficulty swallowing can lead to inadequate nutrient intake, resulting in weight loss and malnutrition.

Long-Term Management of Esophageal Achalasia

Long-term management of esophageal achalasia involves regular follow-up with healthcare providers to monitor symptoms and adjust treatment as needed. Patients may require periodic endoscopic procedures or medications to maintain symptom relief. It is also important to maintain a healthy lifestyle and follow dietary guidelines to prevent complications.

📝 Note: Regular follow-up with a healthcare provider is essential for managing esophageal achalasia and preventing complications.

Support and Resources

Living with esophageal achalasia can be challenging, but there are resources and support groups available to help patients and their families. These resources can provide information, emotional support, and practical advice for managing the condition. Some organizations that offer support and resources include:

  • International Foundation for Functional Gastrointestinal Disorders (IFFGD)
  • American College of Gastroenterology (ACG)
  • National Institute of Diabetes and Digestive and Kidney Diseases (NIDDK)

These organizations provide a wealth of information on esophageal achalasia, including treatment options, lifestyle management, and support groups.

Esophageal achalasia is a complex condition that requires a multidisciplinary approach to management. By understanding the various Esophageal Achalasia Treatment options and working closely with healthcare providers, patients can effectively manage their symptoms and improve their quality of life. Regular follow-up, lifestyle changes, and access to support resources are key to long-term success in managing this condition.

Related Terms:

  • best treatment for achalasia
  • most effective treatment for achalasia
  • esophageal achalasia medication
  • how do you diagnose achalasia
  • achalasia types and treatment
  • achalasia treatment guidelines
Facebook Twitter WA
Ashley
Ashley
Author
Passionate content creator delivering insightful articles on technology, lifestyle, and more. Dedicated to bringing quality content that matters.
You Might Like