Fractured Fifth Metacarpal

Injuries to the hand can be debilitating, affecting daily activities and quality of life. One of the most common hand injuries is a fractured fifth metacarpal, often referred to as a "boxer's fracture." This type of fracture occurs when the fifth metacarpal bone, which is located in the pinky finger, breaks. Understanding the causes, symptoms, diagnosis, and treatment options for a fractured fifth metacarpal is crucial for effective management and recovery.

Understanding the Fifth Metacarpal

The fifth metacarpal is one of the five metacarpal bones in the hand, connecting the fingers to the wrist. It is particularly susceptible to fractures due to its position and the forces it endures during various activities. The fifth metacarpal is often injured in situations where the hand is used to punch a hard surface, hence the term “boxer’s fracture.”

Causes of a Fractured Fifth Metacarpal

A fractured fifth metacarpal can result from several types of trauma, including:

  • Punching a hard surface: This is the most common cause, often seen in contact sports or altercations.
  • Falling on an outstretched hand: This can occur during accidents or falls, where the hand is used to break the fall.
  • Direct impact: A blow to the hand from an object or another person can also cause a fracture.

Symptoms of a Fractured Fifth Metacarpal

Recognizing the symptoms of a fractured fifth metacarpal is essential for prompt treatment. Common symptoms include:

  • Pain: Immediate and severe pain in the affected area.
  • Swelling: Rapid swelling around the injured finger and hand.
  • Bruising: Discoloration of the skin due to bleeding under the skin.
  • Deformity: The finger may appear bent or misshapen.
  • Limited movement: Difficulty moving the finger or hand.
  • Tenderness: Increased sensitivity to touch in the affected area.

Diagnosing a Fractured Fifth Metacarpal

Diagnosing a fractured fifth metacarpal involves a combination of physical examination and imaging tests. The diagnostic process typically includes:

  • Physical examination: A healthcare provider will assess the injured hand, checking for swelling, deformity, and tenderness.
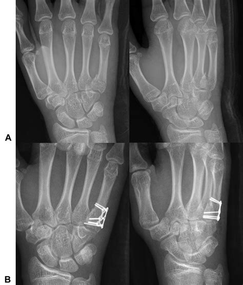
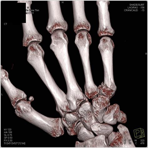
  • X-rays: Imaging tests are crucial for confirming the diagnosis and determining the extent of the fracture. X-rays provide detailed images of the bones, helping to identify the location and severity of the fracture.
  • Additional imaging: In some cases, a CT scan or MRI may be ordered to provide more detailed information about the fracture and surrounding tissues.

Treatment Options for a Fractured Fifth Metacarpal

The treatment for a fractured fifth metacarpal depends on the severity of the fracture and the individual’s overall health. Common treatment options include:

Non-Surgical Treatment

For less severe fractures, non-surgical treatment may be sufficient. This typically involves:

  • Immobilization: The hand is immobilized using a splint or cast to keep the bone in place and promote healing.
  • Pain management: Over-the-counter pain relievers or prescription medications may be used to manage pain and inflammation.
  • Ice therapy: Applying ice to the injured area can help reduce swelling and numb the pain.
  • Elevation: Keeping the hand elevated above heart level can help reduce swelling.

Surgical Treatment

In cases of severe fractures or when the bone is significantly displaced, surgery may be necessary. Surgical options include:

  • Open reduction and internal fixation (ORIF): This procedure involves realigning the bone fragments and securing them with plates, screws, or wires.
  • Closed reduction: In some cases, the bone can be realigned without surgery, using manual manipulation under anesthesia.

Recovery and Rehabilitation

Recovery from a fractured fifth metacarpal can take several weeks to months, depending on the severity of the fracture and the chosen treatment method. Rehabilitation is a crucial part of the recovery process and may include:

  • Physical therapy: Exercises to improve range of motion, strength, and flexibility in the hand and fingers.
  • Occupational therapy: Techniques to help regain functional use of the hand and adapt to any limitations.
  • Gradual return to activities: Slowly resuming normal activities as the hand heals, with guidance from a healthcare provider.

Complications of a Fractured Fifth Metacarpal

While most fractures heal without complications, there are potential risks to be aware of:

  • Nonunion: The bone fails to heal properly, resulting in persistent pain and instability.
  • Malunion: The bone heals in a misaligned position, which can affect hand function and appearance.
  • Infection: There is a risk of infection, especially if surgery is involved.
  • Stiffness: Prolonged immobilization can lead to stiffness and reduced range of motion.
  • Nerve or tendon damage: Injury to nearby nerves or tendons can occur, affecting hand function.

Preventing a Fractured Fifth Metacarpal

While not all fractures can be prevented, there are steps you can take to reduce the risk:

  • Proper technique: Use correct techniques in sports and activities to minimize the risk of injury.
  • Wear protective gear: Use gloves or other protective equipment when engaging in high-risk activities.
  • Avoid punching hard surfaces: Be cautious when using your hands to punch or strike hard objects.

💡 Note: If you suspect a fractured fifth metacarpal, seek medical attention promptly to ensure proper diagnosis and treatment.

In summary, a fractured fifth metacarpal is a common hand injury that can significantly impact daily activities. Understanding the causes, symptoms, diagnosis, and treatment options is essential for effective management and recovery. Whether through non-surgical or surgical methods, prompt and appropriate care can help ensure a successful recovery and minimize the risk of complications. Rehabilitation and preventive measures play crucial roles in regaining hand function and preventing future injuries.

Related Terms:

  • 5th metacarpal fracture symptoms
  • 5th metacarpal fracture right hand
  • 5th metacarpal base fracture treatment
  • 5th metacarpal fracture healing time
  • closed fracture of 5th metacarpal
  • displaced 5th metacarpal fracture treatment
Facebook Twitter WA
Ashley
Ashley
Author
Passionate content creator delivering insightful articles on technology, lifestyle, and more. Dedicated to bringing quality content that matters.
You Might Like