Fractured Malleolus Lateral

Injuries to the ankle can be debilitating, and one of the more severe types is a fractured malleolus lateral. This type of fracture involves the lateral malleolus, which is the bony prominence on the outer side of the ankle. Understanding the causes, symptoms, diagnosis, and treatment options for a fractured malleolus lateral is crucial for anyone who has experienced this injury or is at risk of it.

Understanding the Lateral Malleolus

The lateral malleolus is a part of the fibula, one of the two bones that form the lower leg. It plays a critical role in stabilizing the ankle joint. When this bone is fractured, it can significantly impact mobility and stability, making it difficult to walk or even stand. The lateral malleolus is particularly vulnerable to fractures due to its location and the forces it endures during physical activities.

Causes of a Fractured Malleolus Lateral

A fractured malleolus lateral can occur due to various reasons, but the most common causes include:

  • Trauma: Direct impact to the ankle, such as from a fall, car accident, or sports injury, can cause a fracture.
  • Twisting Injuries: Sudden twisting or rolling of the ankle, often seen in sports like basketball, soccer, and skiing, can lead to a fracture.
  • Overuse: Repetitive stress on the ankle, common in athletes and dancers, can weaken the bone and increase the risk of fracture.

Symptoms of a Fractured Malleolus Lateral

Recognizing the symptoms of a fractured malleolus lateral is essential for prompt treatment. Common symptoms include:

  • Pain: Severe pain in the ankle, especially when trying to bear weight.
  • Swelling: Rapid swelling around the ankle joint.
  • Bruising: Discoloration around the injured area.
  • Deformity: Visible deformity or misalignment of the ankle.
  • Inability to Bear Weight: Difficulty or inability to put weight on the affected foot.

Diagnosing a Fractured Malleolus Lateral

Diagnosing a fractured malleolus lateral involves a combination of physical examination and imaging tests. The diagnostic process typically includes:

  • Physical Examination: A healthcare provider will assess the ankle for swelling, tenderness, and deformity.
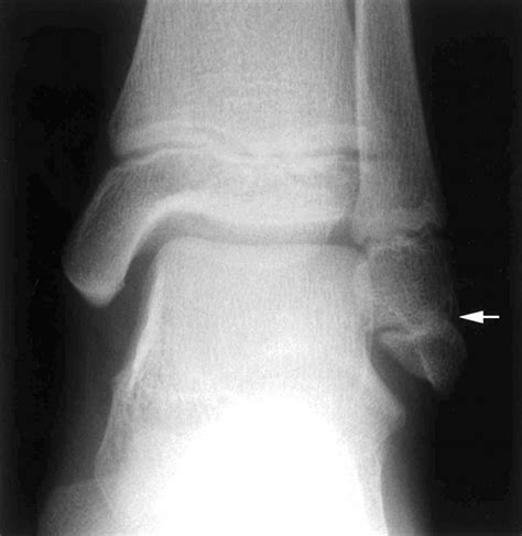
  • X-Rays: X-rays are the primary imaging tool used to confirm the presence and extent of the fracture.
  • CT Scans or MRIs: In some cases, more detailed imaging such as CT scans or MRIs may be required to assess the fracture and surrounding tissues.

Treatment Options for a Fractured Malleolus Lateral

The treatment for a fractured malleolus lateral depends on the severity of the fracture and the individual’s overall health. Common treatment options include:

  • Non-Surgical Treatment: For less severe fractures, non-surgical treatment may be sufficient. This includes:
    • Immobilization: Using a cast, splint, or brace to keep the ankle immobile and promote healing.
    • Pain Management: Medications such as nonsteroidal anti-inflammatory drugs (NSAIDs) to manage pain and reduce inflammation.
    • Physical Therapy: Exercises to restore range of motion, strength, and flexibility once the fracture has healed.
  • Surgical Treatment: For more severe fractures, surgery may be necessary. Surgical options include:
    • Open Reduction and Internal Fixation (ORIF): A procedure where the bone fragments are realigned and held in place with screws, plates, or rods.
    • Arthroscopy: A minimally invasive procedure to repair the fracture and assess any damage to the surrounding tissues.

Recovery and Rehabilitation

Recovery from a fractured malleolus lateral can take several weeks to months, depending on the severity of the fracture and the chosen treatment method. The rehabilitation process typically involves:

  • Immobilization Period: Wearing a cast, splint, or brace for a specified period to allow the bone to heal.
  • Gradual Weight-Bearing: Slowly increasing the amount of weight placed on the affected foot as healing progresses.
  • Physical Therapy: Exercises to improve strength, flexibility, and range of motion. This may include:
    • Range of Motion Exercises: Gentle movements to restore flexibility.
    • Strengthening Exercises: Exercises to build muscle strength around the ankle.
    • Balance and Proprioception Exercises: Activities to improve balance and coordination.

📝 Note: It is crucial to follow the rehabilitation plan prescribed by a healthcare provider to ensure proper healing and prevent complications.

Complications of a Fractured Malleolus Lateral

While most fractures heal without complications, there are potential risks associated with a fractured malleolus lateral. These include:

  • Non-Union: The bone fragments do not heal properly, leading to a non-union.
  • Malunion: The bone heals in a misaligned position, which can affect ankle function.
  • Arthritis: Long-term complications such as post-traumatic arthritis can develop.
  • Infection: There is a risk of infection, especially if surgery is required.

Preventing Fractured Malleolus Lateral

Preventing a fractured malleolus lateral involves taking steps to protect the ankle from injury. Some preventive measures include:

  • Wearing Appropriate Footwear: Choose shoes that provide good support and stability.
  • Strengthening Exercises: Regularly perform exercises to strengthen the muscles and ligaments around the ankle.
  • Proper Warm-Up and Cool-Down: Always warm up before physical activity and cool down afterward to prevent injuries.
  • Avoiding High-Risk Activities: Be cautious when engaging in activities that pose a high risk of ankle injury.

When to Seek Medical Attention

If you suspect you have a fractured malleolus lateral, it is essential to seek medical attention promptly. Delaying treatment can lead to complications and prolonged recovery. Seek immediate medical care if you experience any of the following:

  • Severe pain and swelling in the ankle.
  • Inability to bear weight on the affected foot.
  • Visible deformity or misalignment of the ankle.
  • Numbness or tingling in the foot or toes.

In some cases, a fractured malleolus lateral may be accompanied by other injuries, such as ligament tears or tendon damage. A thorough evaluation by a healthcare provider can help identify and address these additional issues.

In summary, a fractured malleolus lateral is a serious injury that requires prompt diagnosis and appropriate treatment. Understanding the causes, symptoms, and treatment options can help individuals manage this injury effectively and promote a successful recovery. By following a comprehensive rehabilitation plan and taking preventive measures, individuals can minimize the risk of complications and return to their normal activities as quickly as possible.

Related Terms:

  • closed fracture ankle lateral malleolus
  • fractured lateral malleolus recovery time
  • lateral malleolus tip fracture
  • closed fracture of lateral malleolus
  • displaced lateral malleolus fracture
  • fracture lateral malleolus closed left
Facebook Twitter WA
Ashley
Ashley
Author
Passionate content creator delivering insightful articles on technology, lifestyle, and more. Dedicated to bringing quality content that matters.
You Might Like