Fractured Radius Ulna

Fractured radius ulna injuries are a common occurrence, particularly among individuals involved in high-impact activities or accidents. These injuries can range from minor fractures that heal quickly to severe breaks that require extensive medical intervention. Understanding the causes, symptoms, diagnosis, and treatment options for a fractured radius ulna is crucial for anyone who may experience or treat such an injury.

Understanding the Radius and Ulna

The radius and ulna are the two bones that make up the forearm. The radius is located on the thumb side of the forearm, while the ulna is on the little finger side. These bones work together to allow for the rotation and flexion of the forearm, enabling a wide range of movements essential for daily activities.

Causes of Fractured Radius Ulna

A fractured radius ulna can occur due to various reasons, including:

  • Falls: Falling onto an outstretched hand is a common cause, especially in elderly individuals or those involved in sports.
  • Trauma: Direct impact to the forearm, such as from a car accident or a sports injury, can result in a fracture.
  • Overuse: Repetitive stress or overuse, particularly in athletes, can lead to stress fractures.
  • Medical Conditions: Conditions like osteoporosis can weaken the bones, making them more susceptible to fractures.

Symptoms of a Fractured Radius Ulna

Recognizing the symptoms of a fractured radius ulna is the first step in seeking appropriate medical care. Common symptoms include:

  • Pain: Severe pain in the forearm, especially when moving the arm or wrist.
  • Swelling: Noticeable swelling around the injured area.
  • Bruising: Discoloration or bruising may appear within a few hours of the injury.
  • Deformity: The forearm may appear deformed or bent at an unusual angle.
  • Limited Mobility: Difficulty moving the forearm, wrist, or fingers.
  • Numbness or Tingling: In some cases, there may be numbness or tingling in the hand or fingers.

Diagnosing a Fractured Radius Ulna

Diagnosing a fractured radius ulna involves a combination of physical examination and imaging tests. The diagnostic process typically includes:

  • Physical Examination: A healthcare provider will examine the injured area, checking for tenderness, swelling, and deformity.
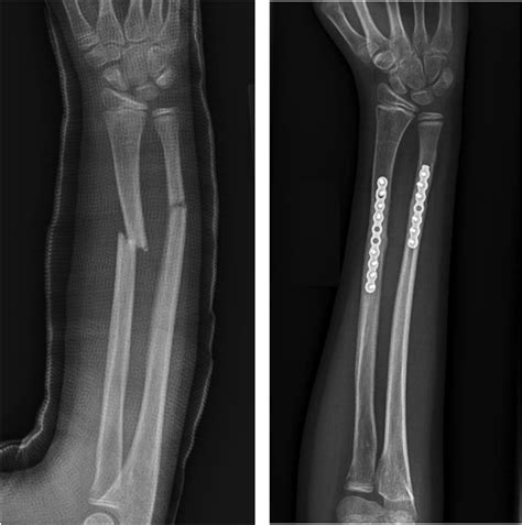
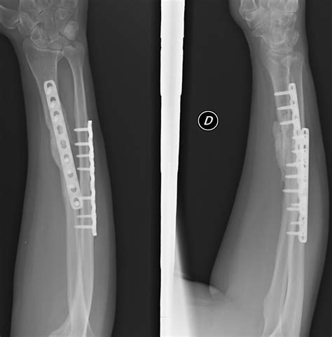
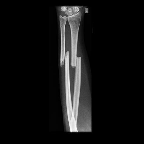
  • X-Rays: X-rays are the primary imaging tool used to confirm the presence and severity of a fracture. They provide detailed images of the bones and can show the exact location and type of fracture.
  • CT Scans or MRI: In some cases, a CT scan or MRI may be ordered to provide more detailed images, especially if the fracture is complex or if there is concern about soft tissue damage.

Treatment Options for a Fractured Radius Ulna

The treatment for a fractured radius ulna depends on the severity of the fracture and the individual’s overall health. Common treatment options include:

Non-Surgical Treatment

For less severe fractures, non-surgical treatment may be sufficient. This typically involves:

  • Immobilization: The forearm is immobilized using a cast or splint to keep the bones in place while they heal.
  • Pain Management: Over-the-counter pain relievers or prescription medications may be used to manage pain and inflammation.
  • Physical Therapy: Once the cast or splint is removed, physical therapy may be recommended to restore strength and range of motion.

Surgical Treatment

For more severe fractures, surgery may be necessary. Surgical options include:

  • Open Reduction and Internal Fixation (ORIF): This procedure involves realigning the broken bones and securing them with plates, screws, or rods.
  • External Fixation: In some cases, an external fixator may be used to stabilize the bones from outside the body.

Recovery and Rehabilitation

Recovery from a fractured radius ulna can take several weeks to months, depending on the severity of the injury and the type of treatment received. The rehabilitation process typically includes:

  • Immobilization Period: The forearm will be immobilized for a period of time to allow the bones to heal.
  • Gradual Return to Activity: As the bones heal, gradual return to normal activities is encouraged, with guidance from a healthcare provider or physical therapist.
  • Physical Therapy: Physical therapy exercises are crucial for restoring strength, flexibility, and range of motion in the forearm and wrist.

Complications of a Fractured Radius Ulna

While most fractured radius ulna injuries heal without complications, there are potential risks to be aware of:

  • Non-Union: The bones may not heal properly, leading to a non-union.
  • Malunion: The bones may heal in an improper position, leading to a malunion.
  • Infection: There is a risk of infection, especially if surgery is required.
  • Nerve or Blood Vessel Damage: Injury to nearby nerves or blood vessels can occur, leading to numbness, tingling, or reduced blood flow.

Preventing Fractured Radius Ulna Injuries

While not all fractured radius ulna injuries can be prevented, there are steps you can take to reduce the risk:

  • Fall Prevention: Take precautions to prevent falls, especially in elderly individuals. This includes removing tripping hazards, using assistive devices, and ensuring adequate lighting.
  • Proper Technique: Use proper technique when engaging in sports or physical activities to reduce the risk of injury.
  • Strengthening Exercises: Regular strengthening exercises can help improve bone density and reduce the risk of fractures.
  • Nutrition: Maintain a balanced diet rich in calcium and vitamin D to support bone health.

📝 Note: Always consult with a healthcare provider for personalized advice on preventing and managing fractured radius ulna injuries.

In summary, a fractured radius ulna is a common injury that can significantly impact daily activities. Understanding the causes, symptoms, diagnosis, and treatment options is essential for effective management and recovery. Whether through non-surgical or surgical methods, proper care and rehabilitation can help individuals return to their normal activities with minimal long-term effects. Prevention strategies, including fall prevention and strengthening exercises, can also play a crucial role in reducing the risk of such injuries.

Related Terms:

  • treatment fracture radial shaft left
  • radial and ulnar fracture treatment
  • radius and ulna fracture pain
  • radius and ulnar shaft fractures
  • radius and ulna fracture management
  • midshaft radius and ulnar fracture
Facebook Twitter WA
Ashley
Ashley
Author
Passionate content creator delivering insightful articles on technology, lifestyle, and more. Dedicated to bringing quality content that matters.
You Might Like