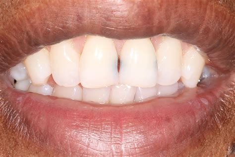
Front Teeth Cavity

Oral health is a critical aspect of overall well-being, and one of the most common issues that people face is a front teeth cavity. Cavities, also known as dental caries, can occur on any tooth but are particularly noticeable and concerning when they affect the front teeth. This blog post will delve into the causes, symptoms, prevention, and treatment options for front teeth cavities, providing you with comprehensive information to maintain a healthy smile.

Understanding Front Teeth Cavities

A front teeth cavity is a hole in the tooth caused by decay. The front teeth, or incisors, are the most visible teeth and play a crucial role in biting and speaking. Cavities in these teeth can significantly impact your appearance and confidence. Understanding the causes and symptoms of front teeth cavities is the first step in preventing and treating them effectively.

Causes of Front Teeth Cavities

Several factors contribute to the development of a front teeth cavity. The primary cause is the buildup of plaque, a sticky film of bacteria that forms on the teeth. When you consume sugary or starchy foods, the bacteria in plaque produce acids that erode the tooth enamel, leading to cavities. Other factors include:

  • Poor oral hygiene: Inadequate brushing and flossing allow plaque to accumulate.
  • Dry mouth: Saliva helps neutralize acids and wash away food particles. A dry mouth increases the risk of cavities.
  • Frequent snacking: Constant exposure to food and drinks, especially those high in sugar, increases the risk of cavities.
  • Acidic foods and drinks: Foods and beverages with high acid content can erode tooth enamel.
  • Genetics: Some people are more prone to cavities due to genetic factors.

Symptoms of Front Teeth Cavities

Recognizing the symptoms of a front teeth cavity is essential for early intervention. Common symptoms include:

  • Toothache or spontaneous pain
  • Sensitivity to hot, cold, sweet, or acidic foods and drinks
  • Visible holes or pits in the teeth
  • Brown, black, or white stains on the tooth surface
  • Pain when biting down

If you experience any of these symptoms, it is crucial to consult a dentist promptly. Early detection and treatment can prevent the cavity from worsening and causing more significant dental issues.

Prevention of Front Teeth Cavities

Preventing a front teeth cavity involves maintaining good oral hygiene and adopting healthy habits. Here are some effective strategies:

  • Brush your teeth at least twice a day with fluoride toothpaste.
  • Floss daily to remove plaque and food particles between the teeth.
  • Use a mouthwash that contains fluoride to help strengthen tooth enamel.
  • Limit your intake of sugary and starchy foods and drinks.
  • Stay hydrated to promote saliva production and maintain a healthy mouth.
  • Visit your dentist regularly for check-ups and cleanings.

By incorporating these habits into your daily routine, you can significantly reduce the risk of developing a front teeth cavity.

Treatment Options for Front Teeth Cavities

If you have a front teeth cavity, prompt treatment is essential to prevent further damage. The treatment options depend on the severity of the cavity. Common treatments include:

  • Fluoride treatments: Early-stage cavities can often be treated with fluoride applications to strengthen the tooth enamel.
  • Fillings: For more advanced cavities, a dentist will remove the decayed portion of the tooth and fill the cavity with a material such as composite resin, amalgam, or gold.
  • Crowns: If the cavity is extensive and a filling is not sufficient, a crown may be placed over the tooth to restore its structure and function.
  • Root canal treatment: In severe cases where the cavity has reached the pulp of the tooth, a root canal may be necessary to remove the infected tissue and save the tooth.
  • Extraction: If the tooth is severely damaged and cannot be saved, it may need to be extracted. In such cases, options for replacement, such as dental implants or bridges, can be discussed with your dentist.

Your dentist will recommend the most appropriate treatment based on the extent of the cavity and your overall oral health.

Special Considerations for Front Teeth Cavities

Front teeth cavities require special consideration due to their visibility and functional importance. Here are some additional points to keep in mind:

  • Cosmetic concerns: Front teeth cavities can affect your smile's appearance. Opting for tooth-colored fillings or crowns can help maintain a natural look.
  • Functional impact: Front teeth play a crucial role in biting and speaking. Prompt treatment is essential to prevent further damage and maintain proper function.
  • Preventive measures: Regular dental check-ups and cleanings are vital for early detection and prevention of front teeth cavities.

By addressing these considerations, you can ensure that your front teeth remain healthy and functional.

Maintaining Oral Health After Treatment

After treating a front teeth cavity, it is essential to maintain good oral hygiene to prevent future cavities. Here are some tips for maintaining oral health:

  • Continue brushing and flossing regularly.
  • Use a fluoride mouthwash to strengthen tooth enamel.
  • Limit your intake of sugary and acidic foods and drinks.
  • Visit your dentist regularly for check-ups and cleanings.
  • Consider using dental sealants to protect the chewing surfaces of your teeth.

By following these tips, you can maintain good oral health and prevent future cavities.

💡 Note: Regular dental check-ups are crucial for early detection and prevention of cavities. Make sure to schedule appointments every six months.

Front teeth cavities can be a significant concern, but with proper prevention and treatment, you can maintain a healthy and beautiful smile. By understanding the causes, symptoms, and treatment options, you can take proactive steps to protect your oral health.

In summary, a front teeth cavity is a common dental issue that can be prevented through good oral hygiene and regular dental check-ups. Recognizing the symptoms early and seeking prompt treatment is essential for maintaining oral health. By following preventive measures and maintaining good oral hygiene, you can keep your front teeth healthy and functional. Regular dental visits and prompt treatment of cavities will ensure that your smile remains bright and confident.

Related Terms:

  • are front teeth fillings noticeable
  • filling cavities on front teeth
  • cavities starting on front tooth
  • cavity in between front teeth
  • front teeth cavity filling
  • front teeth fillings behind tooth
Facebook Twitter WA
Ashley
Ashley
Author
Passionate content creator delivering insightful articles on technology, lifestyle, and more. Dedicated to bringing quality content that matters.
You Might Like