Gastric Ulcer Pictures Images

Gastric ulcers, also known as stomach ulcers, are open sores that develop on the lining of the stomach. These ulcers can cause significant discomfort and pain, and understanding their causes, symptoms, and treatment options is crucial for effective management. One of the most effective ways to educate oneself about gastric ulcers is by examining Gastric Ulcer Pictures Images. These visual aids can provide a clear understanding of the condition, its progression, and the impact it has on the body.

Understanding Gastric Ulcers

Gastric ulcers are typically caused by an imbalance between the digestive fluids in the stomach and the protective mechanisms that prevent the stomach lining from being damaged. The most common causes include:

  • Helicobacter pylori (H. pylori) infection: A type of bacteria that can live in the mucous layer that covers and protects tissues in your stomach and small intestine.
  • Long-term use of nonsteroidal anti-inflammatory drugs (NSAIDs): Medications like aspirin, ibuprofen, and naproxen can irritate the stomach lining.
  • Excessive alcohol consumption: Alcohol can erode the stomach lining, making it more susceptible to ulcers.
  • Smoking: Smoking can weaken the protective lining of the stomach and increase the risk of ulcers.
  • Stress: While stress does not directly cause ulcers, it can exacerbate symptoms and delay healing.

Symptoms of Gastric Ulcers

The symptoms of gastric ulcers can vary from person to person. Some people may experience severe pain, while others may have mild or no symptoms at all. Common symptoms include:

  • Burning or gnawing pain in the stomach area, often between meals or at night.
  • Nausea and vomiting.
  • Weight loss.
  • Feeling of fullness or bloating.
  • Burping or belching.
  • Heartburn.
  • Dark or black stools, which may indicate bleeding.
  • Vomiting blood or material that looks like coffee grounds.

If you experience any of these symptoms, it is important to consult a healthcare provider for a proper diagnosis and treatment plan.

Diagnosing Gastric Ulcers

Diagnosing gastric ulcers typically involves a combination of medical history, physical examination, and diagnostic tests. Common diagnostic tests include:

  • Endoscopy: A procedure where a thin, flexible tube with a camera is inserted through the mouth to examine the stomach lining.
  • Upper GI series: A series of X-rays taken after the patient drinks a barium solution, which coats the stomach lining and makes ulcers more visible.
  • Blood, stool, or breath tests: These tests can detect the presence of H. pylori bacteria.

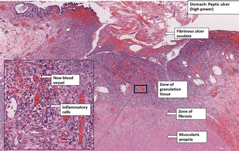
Gastric Ulcer Pictures Images can also be a valuable tool in diagnosing and understanding the condition. These images can show the location, size, and severity of the ulcers, helping healthcare providers determine the best course of treatment.

Treatment Options for Gastric Ulcers

Treatment for gastric ulcers depends on the underlying cause and the severity of the symptoms. Common treatment options include:

  • Medications: Proton pump inhibitors (PPIs) and H2 blockers can reduce stomach acid production, allowing the ulcers to heal. Antibiotics may be prescribed to treat H. pylori infections.
  • Lifestyle changes: Avoiding NSAIDs, limiting alcohol consumption, quitting smoking, and managing stress can help prevent ulcers and promote healing.
  • Dietary changes: Eating a balanced diet and avoiding foods that irritate the stomach can help manage symptoms.

In severe cases, surgery may be required to repair the ulcer or remove damaged tissue.

Preventing Gastric Ulcers

Preventing gastric ulcers involves making lifestyle changes and taking precautions to protect the stomach lining. Some effective strategies include:

  • Avoiding NSAIDs: If possible, avoid taking NSAIDs or use them sparingly and with caution.
  • Limiting alcohol consumption: Drink alcohol in moderation or avoid it altogether.
  • Quitting smoking: Smoking can weaken the stomach lining and increase the risk of ulcers.
  • Managing stress: Practice stress-reduction techniques such as meditation, yoga, or deep breathing exercises.
  • Eating a healthy diet: Consume a balanced diet rich in fruits, vegetables, whole grains, and lean proteins.

Regular check-ups with a healthcare provider can also help detect and treat ulcers early, preventing complications.

The Role of Gastric Ulcer Pictures Images

Gastric Ulcer Pictures Images play a crucial role in educating patients and healthcare providers about the condition. These images can provide a visual representation of the ulcers, helping to:

  • Identify the location and severity of the ulcers.
  • Monitor the progression of the condition over time.
  • Evaluate the effectiveness of treatment.
  • Educate patients about the condition and its management.

By examining these images, patients can gain a better understanding of their condition and the importance of following their treatment plan. Healthcare providers can use these images to explain the condition to patients and develop an effective treatment strategy.

Here is a table summarizing the key points about gastric ulcers and the role of Gastric Ulcer Pictures Images:

Aspect Description
Causes H. pylori infection, NSAIDs, alcohol, smoking, stress
Symptoms Burning pain, nausea, weight loss, bloating, heartburn, dark stools, vomiting blood
Diagnosis Endoscopy, upper GI series, blood, stool, or breath tests
Treatment Medications, lifestyle changes, dietary changes, surgery
Prevention Avoiding NSAIDs, limiting alcohol, quitting smoking, managing stress, healthy diet
Role of Images Identify ulcers, monitor progression, evaluate treatment, educate patients

Gastric Ulcer Pictures Images can be particularly helpful for patients who are visual learners or who have difficulty understanding complex medical terms. By providing a clear and concise visual representation of the condition, these images can enhance patient education and improve treatment outcomes.

📸 Note: Always consult a healthcare provider for a proper diagnosis and treatment plan. Do not rely solely on images or online information for medical advice.

Gastric ulcers can be a painful and debilitating condition, but with proper diagnosis, treatment, and prevention strategies, they can be effectively managed. By understanding the causes, symptoms, and treatment options, patients can take control of their health and improve their quality of life. Gastric Ulcer Pictures Images serve as a valuable tool in this process, providing a visual aid that can enhance understanding and promote better health outcomes.

Gastric ulcers are a common condition that affects millions of people worldwide. By educating oneself about the causes, symptoms, and treatment options, patients can take proactive steps to manage their condition and prevent complications. Gastric Ulcer Pictures Images offer a visual representation of the condition, helping patients and healthcare providers better understand and address the issue. Through a combination of medical treatment, lifestyle changes, and preventive measures, gastric ulcers can be effectively managed, allowing patients to lead healthy and fulfilling lives.

Related Terms:

  • endoscopy images of gastritis
  • endoscopy pictures of stomach ulcers
  • ulcer pain location diagram
  • real pictures of stomach ulcers
  • images of ulcers in stomach
  • stomach ulcer location diagram
Facebook Twitter WA
Ashley
Ashley
Author
Passionate content creator delivering insightful articles on technology, lifestyle, and more. Dedicated to bringing quality content that matters.
You Might Like