Gram Staining Escherichia Coli

Gram staining is a fundamental technique in microbiology used to differentiate bacterial species into two groups based on their cell wall characteristics. One of the most commonly studied bacteria using this method is *Escherichia coli* (E. coli). Understanding the process of Gram staining *Escherichia coli* is crucial for identifying and classifying this bacterium, which is essential in various fields such as medicine, food safety, and environmental science.

Understanding Gram Staining

Gram staining is named after its inventor, Danish bacteriologist Hans Christian Gram. The technique involves a series of steps that use different dyes to stain bacterial cells. The primary dyes used are crystal violet and safranin. The process differentiates bacteria into two categories: Gram-positive and Gram-negative.

Gram-Positive vs. Gram-Negative Bacteria

Gram-positive bacteria have a thick peptidoglycan layer in their cell walls, which retains the crystal violet dye, appearing purple under a microscope. In contrast, Gram-negative bacteria have a thinner peptidoglycan layer and an outer membrane, which allows the crystal violet to be washed out during the staining process. These bacteria then take up the counterstain safranin, appearing pink or red.

Steps for Gram Staining Escherichia Coli

Gram staining Escherichia coli involves several precise steps. Here is a detailed guide to performing the procedure:

Materials Needed

  • Bacterial culture of Escherichia coli
  • Microscope slides
  • Crystal violet stain
  • Iodine solution (Gram’s iodine)
  • Alcohol (95% ethanol or isopropyl alcohol)
  • Safranin stain
  • Bunsen burner or heat source
  • Microscope
  • Paper towels or lens paper

Procedure

1. Prepare the Bacterial Smear:

  • Using a sterile loop, take a small amount of Escherichia coli culture and spread it thinly on a clean microscope slide.
  • Allow the smear to air dry completely.
  • Heat-fix the smear by passing the slide through a flame briefly. This kills the bacteria and adheres the smear to the slide.

2. Apply Crystal Violet Stain:

  • Cover the smear with crystal violet stain and let it sit for about 1 minute.
  • Gently rinse the slide with water to remove excess stain.

3. Apply Iodine Solution:

  • Cover the smear with iodine solution and let it sit for about 1 minute.
  • Gently rinse the slide with water to remove excess iodine.

4. Decolorize with Alcohol:

  • Quickly pour alcohol over the smear and rinse it off immediately. This step is crucial as it decolorizes Gram-negative bacteria.
  • Blot the slide dry with a paper towel.

5. Apply Safranin Stain:

  • Cover the smear with safranin stain and let it sit for about 1 minute.
  • Gently rinse the slide with water to remove excess stain.
  • Blot the slide dry with a paper towel.

6. Examine Under the Microscope:

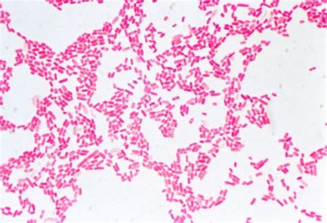
  • Place the slide on the microscope stage and examine it under oil immersion (100x objective).
  • Observe the color of the bacterial cells. *Escherichia coli* will appear pink or red, indicating it is a Gram-negative bacterium.

🔍 Note: Ensure that the smear is thin and evenly spread to avoid clumping, which can interfere with accurate staining and observation.

Interpreting the Results

After completing the Gram staining process, the results can be interpreted based on the color of the bacterial cells. Escherichia coli is a Gram-negative bacterium, so it will appear pink or red under the microscope. This characteristic is due to the thin peptidoglycan layer and the presence of an outer membrane, which allows the crystal violet to be washed out during the decolorization step.

Importance of Gram Staining Escherichia Coli

Gram staining Escherichia coli is crucial for several reasons:

  • Identification and Classification: Gram staining helps in the initial identification and classification of *Escherichia coli*, which is essential for further diagnostic tests and treatments.
  • Clinical Diagnosis: In clinical settings, Gram staining is used to quickly identify the presence of *Escherichia coli* in samples, aiding in the diagnosis of infections such as urinary tract infections, gastroenteritis, and sepsis.
  • Food Safety: In the food industry, Gram staining is used to detect *Escherichia coli* contamination in food products, ensuring food safety and preventing outbreaks of foodborne illnesses.
  • Environmental Monitoring: In environmental science, Gram staining is used to monitor the presence of *Escherichia coli* in water sources, indicating potential fecal contamination and the need for water treatment.

Common Applications of Gram Staining

Gram staining is a versatile technique with numerous applications in various fields. Some of the common applications include:

  • Medical Diagnostics: Gram staining is used to identify bacterial infections in clinical samples such as blood, urine, and sputum.
  • Research: In research laboratories, Gram staining is used to study bacterial morphology, growth patterns, and responses to different treatments.
  • Educational Purposes: Gram staining is a fundamental technique taught in microbiology courses to help students understand bacterial classification and identification.
  • Industrial Quality Control: In industries such as pharmaceuticals and food processing, Gram staining is used to ensure the absence of bacterial contamination in products.

Challenges and Limitations

While Gram staining is a valuable technique, it has some challenges and limitations:

  • Interpretation Errors: Incorrect interpretation of staining results can lead to misidentification of bacteria, affecting diagnostic accuracy.
  • Decolorization Issues: Over-decolorization or under-decolorization can result in inaccurate staining, making it difficult to differentiate between Gram-positive and Gram-negative bacteria.
  • Bacterial Variability: Some bacteria may not stain consistently due to variations in their cell wall composition, leading to ambiguous results.
  • Contamination: Contamination of samples or reagents can interfere with the staining process, affecting the reliability of the results.

🔍 Note: To minimize errors, it is essential to follow the staining procedure carefully and use high-quality reagents and equipment.

Advanced Techniques for Bacterial Identification

While Gram staining is a fundamental technique, advanced methods are available for more precise bacterial identification. Some of these techniques include:

  • Molecular Techniques: Methods such as polymerase chain reaction (PCR) and DNA sequencing provide detailed genetic information for accurate bacterial identification.
  • Mass Spectrometry: Matrix-assisted laser desorption/ionization time-of-flight mass spectrometry (MALDI-TOF MS) analyzes bacterial proteins to identify species quickly and accurately.
  • Immunoassays: Techniques such as enzyme-linked immunosorbent assay (ELISA) use antibodies to detect specific bacterial antigens, providing a sensitive and specific method for identification.

Conclusion

Gram staining Escherichia coli is a fundamental technique in microbiology that plays a crucial role in bacterial identification and classification. By differentiating between Gram-positive and Gram-negative bacteria, Gram staining provides valuable insights into the characteristics and behavior of Escherichia coli. This technique is essential in clinical diagnostics, food safety, environmental monitoring, and research. Understanding the steps involved in Gram staining and interpreting the results accurately is vital for various applications in microbiology. While Gram staining has some limitations, it remains a cornerstone of bacterial identification and continues to be a valuable tool in the field.

Related Terms:

  • is e coli gram positive
  • e coli negative stain
  • e coli gram stain 1000x
  • e coli gram stain image
  • e coli gram stain arrangement
  • e coli gram stain color
Facebook Twitter WA
Ashley
Ashley
Author
Passionate content creator delivering insightful articles on technology, lifestyle, and more. Dedicated to bringing quality content that matters.
You Might Like