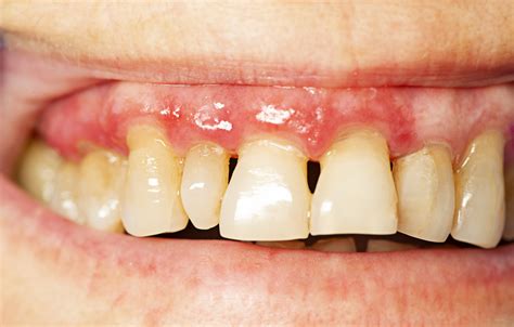
Gum White Spot

Dental health is a critical aspect of overall well-being, and one of the most common issues that people encounter is the appearance of a Gum White Spot. These spots can be alarming and often raise questions about their cause and treatment. Understanding what a Gum White Spot is, its potential causes, and how to address it can help maintain good oral health.

Understanding Gum White Spots

A Gum White Spot is a discoloration that appears on the gums, often causing concern among individuals. These spots can vary in size and shape and may be accompanied by other symptoms such as pain, swelling, or bleeding. While they can be benign, it is essential to identify the underlying cause to determine the appropriate treatment.

Common Causes of Gum White Spots

Several factors can contribute to the development of a Gum White Spot. Some of the most common causes include:

  • Infections: Bacterial, viral, or fungal infections can lead to white spots on the gums. For example, oral thrush, a fungal infection caused by Candida, is a common culprit.
  • Trauma: Injuries to the gums, such as those caused by dental procedures, accidental bites, or ill-fitting dentures, can result in white spots.
  • Oral Lichen Planus: This is a chronic inflammatory condition that can cause white spots, sores, and ulcers in the mouth.
  • Leukoplakia: This condition involves the development of thick, white patches on the gums and other areas of the mouth. It is often associated with tobacco use.
  • Canker Sores: These are small, painful lesions that can appear as white spots with a red border.

Diagnosing Gum White Spots

If you notice a Gum White Spot, it is crucial to consult a dental professional for a proper diagnosis. The dentist will perform a thorough examination and may order additional tests to determine the cause. The diagnostic process typically includes:

  • Visual Examination: The dentist will inspect the spot and surrounding areas for signs of infection, inflammation, or other abnormalities.
  • Medical History: Providing a detailed medical history can help the dentist identify potential underlying conditions or risk factors.
  • Biopsy: In some cases, a small tissue sample may be taken for laboratory analysis to rule out serious conditions like oral cancer.

Treatment Options for Gum White Spots

The treatment for a Gum White Spot depends on the underlying cause. Here are some common treatment approaches:

  • Antifungal Medications: For fungal infections like oral thrush, antifungal medications such as nystatin or fluconazole may be prescribed.
  • Antibiotics: Bacterial infections may require a course of antibiotics to clear the infection.
  • Topical Treatments: Topical creams or gels may be used to reduce inflammation and promote healing.
  • Pain Management: Over-the-counter pain relievers or prescription medications may be recommended to manage discomfort.
  • Dietary Changes: Avoiding spicy, acidic, or hard foods can help prevent further irritation.

Preventing Gum White Spots

While not all Gum White Spots can be prevented, maintaining good oral hygiene and overall health can reduce the risk of developing these spots. Here are some preventive measures:

  • Regular Dental Check-ups: Regular visits to the dentist can help detect and address issues early.
  • Proper Oral Hygiene: Brushing and flossing regularly can prevent infections and maintain gum health.
  • Avoiding Tobacco: Quitting smoking and avoiding other forms of tobacco can reduce the risk of leukoplakia and other oral conditions.
  • Balanced Diet: Consuming a diet rich in vitamins and minerals can support overall oral health.

📝 Note: If you experience persistent or worsening symptoms, seek immediate medical attention.

When to Seek Professional Help

While some Gum White Spots may resolve on their own, it is essential to seek professional help if:

  • The spot is accompanied by severe pain or swelling.
  • The spot does not heal within a few weeks.
  • You have a history of oral cancer or other serious health conditions.
  • You notice changes in the size, shape, or color of the spot.

Early intervention can prevent complications and ensure prompt treatment.

Living with Gum White Spots

Living with a Gum White Spot can be challenging, but with proper care and management, it is possible to maintain good oral health. Here are some tips for managing the condition:

  • Follow Treatment Plan: Adhere to the treatment plan prescribed by your dentist or healthcare provider.
  • Maintain Oral Hygiene: Continue with regular brushing, flossing, and dental check-ups.
  • Avoid Irritants: Avoid foods and activities that may irritate the spot.
  • Stay Hydrated: Drink plenty of water to keep your mouth moist and promote healing.

By following these guidelines, you can effectively manage a Gum White Spot and maintain good oral health.

Gum White Spots can be a concerning issue, but with the right knowledge and care, they can be effectively managed. Understanding the causes, seeking professional help, and following preventive measures can help maintain good oral health and prevent complications. Regular dental check-ups and proper oral hygiene are essential for early detection and treatment of any oral health issues.

Related Terms:

  • white sore spot on gums
  • white spots on gums meaning
  • white spots on upper gums
  • hard white spots on gums
  • white spots on your gums
  • tiny white dots on gums
Facebook Twitter WA
Ashley
Ashley
Author
Passionate content creator delivering insightful articles on technology, lifestyle, and more. Dedicated to bringing quality content that matters.
You Might Like