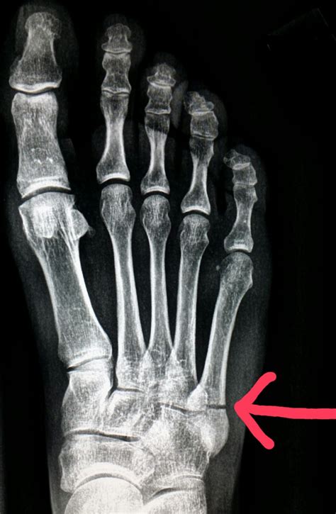
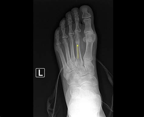
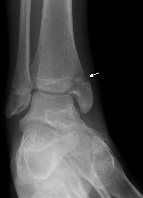
Hairline Fracture Ankle

Ankle injuries are a common occurrence, especially among athletes and individuals who lead active lifestyles. One of the more serious types of ankle injuries is a hairline fracture ankle. This type of injury involves a small crack in one of the bones that make up the ankle joint. Unlike a complete fracture, a hairline fracture may not cause immediate, severe pain, making it easier to overlook. However, it is crucial to recognize the signs and seek appropriate treatment to prevent further complications.

Understanding Hairline Fracture Ankle

A hairline fracture, also known as a stress fracture, is a thin crack in the bone. In the case of a hairline fracture ankle, this crack typically occurs in one of the three bones that form the ankle joint: the tibia, fibula, or talus. These fractures are often caused by repetitive stress or a sudden impact, such as twisting the ankle or landing awkwardly after a jump.

Symptoms of a Hairline Fracture Ankle

Recognizing the symptoms of a hairline fracture ankle is the first step toward proper treatment. Common symptoms include:

  • Pain that worsens with activity and improves with rest
  • Swelling and tenderness around the ankle
  • Difficulty bearing weight on the affected foot
  • Bruising or discoloration
  • Limited range of motion

It is important to note that symptoms may not be immediately apparent. In some cases, the pain may be mild and gradually worsen over time. If you experience any of these symptoms after an injury, it is essential to consult a healthcare professional for a proper diagnosis.

Diagnosing a Hairline Fracture Ankle

Diagnosing a hairline fracture ankle involves a combination of physical examination and imaging tests. Your healthcare provider will likely perform the following steps:

  • Physical Examination: The doctor will assess the affected area for swelling, tenderness, and range of motion.
  • Imaging Tests: X-rays are the most common imaging test used to diagnose fractures. However, hairline fractures may not always be visible on initial X-rays. In such cases, additional imaging tests such as MRI or CT scans may be required.

In some cases, a bone scan may be recommended to detect stress fractures that are not visible on X-rays. This test involves injecting a small amount of radioactive material into the bloodstream, which is then detected by a special camera.

Treatment Options for a Hairline Fracture Ankle

The treatment for a hairline fracture ankle depends on the severity of the fracture and the individual's overall health. Common treatment options include:

Non-Surgical Treatment

For most cases of hairline fractures, non-surgical treatment is sufficient. This may include:

  • Rest: Avoiding activities that put stress on the affected ankle.
  • Ice: Applying ice packs to reduce swelling and pain.
  • Compression: Wearing a compression bandage or brace to support the ankle.
  • Elevation: Keeping the ankle elevated to reduce swelling.
  • Pain Medication: Over-the-counter pain relievers such as ibuprofen or acetaminophen.

In some cases, a walking boot or cast may be recommended to immobilize the ankle and promote healing. Physical therapy may also be prescribed to help regain strength and range of motion.

Surgical Treatment

Surgical intervention is typically reserved for severe cases where the fracture is unstable or does not heal properly with non-surgical treatment. Surgery may involve:

  • Open Reduction and Internal Fixation (ORIF): This procedure involves realigning the bone fragments and securing them with screws, plates, or rods.
  • Bone Grafting: In cases where the bone has not healed properly, a bone graft may be used to promote healing.

After surgery, a period of immobilization and rehabilitation is necessary to ensure proper healing and recovery.

Recovery and Rehabilitation

The recovery process for a hairline fracture ankle can vary depending on the severity of the injury and the individual's overall health. Generally, the recovery process involves several stages:

Immobilization

During the initial phase of recovery, the ankle may be immobilized using a cast, boot, or brace. This helps to prevent further injury and promote healing. The duration of immobilization can range from a few weeks to several months, depending on the severity of the fracture.

Physical Therapy

Once the fracture has begun to heal, physical therapy is often recommended to help regain strength, flexibility, and range of motion. A physical therapist will design a customized exercise program that may include:

  • Range of motion exercises
  • Strengthening exercises
  • Balance and proprioception exercises
  • Gait training

Physical therapy is crucial for a successful recovery and can help prevent future injuries.

Gradual Return to Activity

As the ankle heals, it is important to gradually return to normal activities. This may involve a phased approach, starting with low-impact activities such as walking and gradually progressing to more strenuous activities such as running or sports. It is essential to listen to your body and avoid pushing yourself too hard too soon.

📝 Note: Always consult with your healthcare provider before returning to any physical activity after a hairline fracture ankle.

Preventing Future Ankle Injuries

Preventing future ankle injuries involves a combination of proper footwear, strengthening exercises, and safe practices. Here are some tips to help prevent ankle injuries:

  • Wear appropriate footwear that provides adequate support and cushioning.
  • Strengthen the muscles around the ankle through regular exercise.
  • Warm up before physical activity to prepare the muscles and joints.
  • Avoid high-impact activities that put excessive stress on the ankle.
  • Use ankle braces or taping for added support during high-risk activities.

By taking these precautions, you can reduce the risk of future ankle injuries and maintain overall foot health.

When to Seek Medical Attention

If you suspect you have a hairline fracture ankle, it is important to seek medical attention promptly. Delaying treatment can lead to further complications and a longer recovery time. Here are some signs that you should seek medical attention:

  • Severe pain that does not improve with rest and ice
  • Inability to bear weight on the affected foot
  • Significant swelling or bruising
  • Deformity or misalignment of the ankle
  • Numbness or tingling in the foot or toes

Even if your symptoms are mild, it is still a good idea to consult a healthcare professional for a proper diagnosis and treatment plan.

Common Misconceptions About Hairline Fracture Ankle

There are several misconceptions about hairline fracture ankle that can lead to improper treatment and delayed recovery. Here are some common myths debunked:

Myth: Hairline Fractures Are Not Serious

While hairline fractures may not be as severe as complete fractures, they still require proper treatment and care. Ignoring a hairline fracture can lead to further complications, such as nonunion or malunion, where the bone does not heal properly.

Myth: Hairline Fractures Heal Quickly

The healing time for a hairline fracture ankle can vary depending on the severity of the injury and the individual's overall health. While some hairline fractures may heal within a few weeks, others may take several months to fully recover.

Myth: You Can Continue Normal Activities with a Hairline Fracture

Continuing normal activities with a hairline fracture ankle can delay healing and increase the risk of further injury. It is important to rest and avoid activities that put stress on the affected ankle until it has fully healed.

Comparing Hairline Fracture Ankle with Other Ankle Injuries

It is essential to understand how a hairline fracture ankle differs from other common ankle injuries. Here is a comparison:

Type of Injury Description Symptoms Treatment
Hairline Fracture Ankle A small crack in one of the ankle bones Pain, swelling, tenderness, difficulty bearing weight Rest, ice, compression, elevation, pain medication, immobilization, physical therapy
Sprain Stretching or tearing of ligaments Pain, swelling, bruising, instability Rest, ice, compression, elevation, pain medication, physical therapy
Strain Stretching or tearing of muscles or tendons Pain, swelling, muscle spasms Rest, ice, compression, elevation, pain medication, physical therapy
Dislocation Bone displaced from its normal position Severe pain, deformity, swelling, inability to move the joint Reduction (realigning the bone), immobilization, pain medication, physical therapy

Understanding the differences between these injuries can help you seek the appropriate treatment and promote a faster recovery.

In conclusion, a hairline fracture ankle is a serious injury that requires prompt diagnosis and treatment. By recognizing the symptoms, seeking medical attention, and following a proper treatment plan, you can promote healing and prevent future complications. Whether you opt for non-surgical or surgical treatment, the recovery process involves immobilization, physical therapy, and a gradual return to normal activities. Taking precautions to prevent future injuries is also crucial for maintaining overall foot health. If you experience any symptoms of a hairline fracture ankle, do not hesitate to consult a healthcare professional for a proper diagnosis and treatment plan.

Related Terms:

  • hairline fracture tibia
  • will hairline fracture heal itself
  • hairline fracture ankle healing time
  • hairline fracture ankle recovery
  • hairline fracture fibula
  • hairline fracture ankle treatment
Facebook Twitter WA
Ashley
Ashley
Author
Passionate content creator delivering insightful articles on technology, lifestyle, and more. Dedicated to bringing quality content that matters.
You Might Like