Hairline Fracture In Foot

A hairline fracture in foot is a common yet often misunderstood injury. Unlike more severe fractures, a hairline fracture is a thin crack in the bone that can be difficult to detect. This type of injury is particularly common in the foot due to the high impact and stress that this area endures during daily activities and sports. Understanding the causes, symptoms, diagnosis, and treatment options for a hairline fracture in the foot is crucial for effective management and recovery.

Understanding Hairline Fractures

A hairline fracture, also known as a stress fracture, occurs when a bone experiences repeated stress or impact over time. This type of fracture is different from a complete break, as the bone remains intact but has a small crack. The foot is particularly susceptible to hairline fractures due to the constant pressure and weight it bears. Athletes, runners, and individuals who engage in high-impact activities are at a higher risk of developing a hairline fracture in the foot.

Causes of Hairline Fractures in the Foot

Several factors can contribute to the development of a hairline fracture in the foot:

  • Overuse: Repetitive activities such as running, jumping, or dancing can lead to microtrauma in the bones of the foot, eventually resulting in a hairline fracture.
  • Inadequate Footwear: Wearing shoes that do not provide proper support or cushioning can increase the risk of a hairline fracture.
  • Poor Biomechanics: Issues such as flat feet, high arches, or improper gait can place uneven stress on the bones of the foot, leading to fractures.
  • Nutritional Deficiencies: Insufficient intake of calcium and vitamin D can weaken the bones, making them more susceptible to fractures.
  • Sudden Increase in Activity: Rapidly increasing the intensity or duration of physical activities without proper conditioning can overwhelm the bones and lead to fractures.

Symptoms of a Hairline Fracture in the Foot

Recognizing the symptoms of a hairline fracture in the foot is essential for early intervention and treatment. Common symptoms include:

  • Pain: Persistent pain in the foot, often localized to a specific area, that worsens with activity and improves with rest.
  • Swelling: Mild to moderate swelling around the affected area.
  • Tenderness: Increased sensitivity and tenderness when pressure is applied to the injured area.
  • Bruising: In some cases, bruising may be present, although it is not always a prominent symptom.
  • Limited Mobility: Difficulty walking or bearing weight on the affected foot.

It is important to note that symptoms may not be immediately apparent and can develop gradually over time. If you experience any of these symptoms, it is advisable to consult a healthcare professional for a proper evaluation.

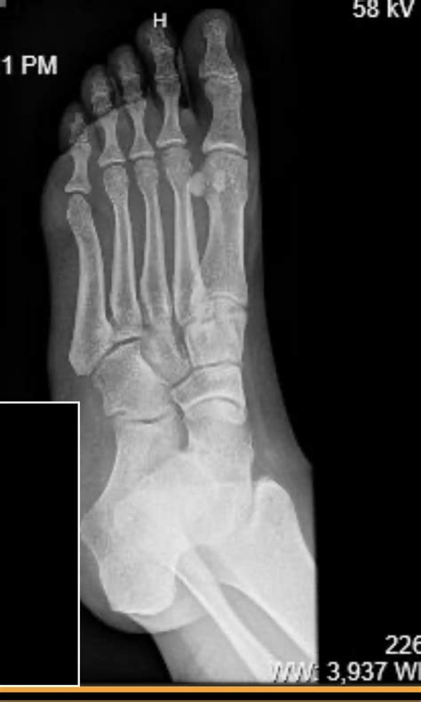
Diagnosing a Hairline Fracture in the Foot

Diagnosing a hairline fracture in the foot typically involves a combination of physical examination and imaging tests. The diagnostic process may include:

  • Medical History: The healthcare provider will review your medical history, including any recent injuries, activities, and symptoms.
  • Physical Examination: A thorough examination of the foot to assess pain, swelling, and tenderness.
  • Imaging Tests: X-rays, MRI, or bone scans may be ordered to visualize the fracture and confirm the diagnosis.

X-rays are often the first line of imaging, but they may not always detect hairline fractures, especially in the early stages. In such cases, an MRI or bone scan may be necessary to provide a more detailed view of the bone structure.

Treatment Options for a Hairline Fracture in the Foot

The treatment for a hairline fracture in the foot aims to promote healing and prevent further injury. The specific treatment plan will depend on the severity of the fracture and individual factors. Common treatment options include:

  • Rest: Avoiding activities that put stress on the foot, such as running or jumping, to allow the bone to heal.
  • Ice: Applying ice to the affected area for 15-20 minutes, several times a day, to reduce swelling and pain.
  • Compression: Using an elastic bandage or compression wrap to minimize swelling.
  • Elevation: Keeping the foot elevated above heart level to reduce swelling.
  • Pain Management: Over-the-counter pain relievers such as ibuprofen or acetaminophen to manage pain and inflammation.
  • Immobilization: In some cases, a walking boot, cast, or brace may be recommended to immobilize the foot and promote healing.
  • Physical Therapy: Exercises and stretches to improve strength, flexibility, and range of motion once the fracture has healed.

In severe cases, surgical intervention may be required to stabilize the fracture and promote healing. However, this is less common for hairline fractures and is typically reserved for more complex injuries.

Preventing Hairline Fractures in the Foot

Preventing hairline fractures in the foot involves a combination of proper footwear, gradual conditioning, and maintaining overall bone health. Here are some strategies to reduce the risk of a hairline fracture:

  • Wear Appropriate Footwear: Choose shoes that provide adequate support, cushioning, and stability for your specific activities.
  • Gradual Increase in Activity: Gradually increase the intensity and duration of physical activities to allow your body to adapt and strengthen.
  • Maintain Bone Health: Ensure a balanced diet rich in calcium and vitamin D to support bone health. Consider supplements if necessary.
  • Strengthen Foot Muscles: Incorporate exercises that strengthen the muscles and tendons in the foot and ankle to improve stability and support.
  • Address Biomechanical Issues: Consult a healthcare professional to address any underlying biomechanical issues, such as flat feet or high arches, that may increase the risk of fractures.

By following these preventive measures, you can significantly reduce the risk of developing a hairline fracture in the foot and maintain overall foot health.

Recovery and Rehabilitation

Recovery from a hairline fracture in the foot typically takes several weeks to a few months, depending on the severity of the injury and individual healing factors. The rehabilitation process involves several stages:

  • Initial Healing: Focus on rest, ice, compression, and elevation to reduce pain and swelling and promote initial healing.
  • Gradual Return to Activity: Slowly reintroduce low-impact activities, such as walking or swimming, as tolerated.
  • Strengthening Exercises: Incorporate exercises to strengthen the muscles and tendons in the foot and ankle to improve stability and support.
  • Flexibility and Range of Motion: Perform stretches and exercises to improve flexibility and range of motion in the foot and ankle.
  • Gradual Return to Full Activity: Gradually return to higher-impact activities, such as running or jumping, as your foot strengthens and heals.

It is important to follow your healthcare provider's recommendations and avoid rushing the recovery process. Returning to activities too soon can delay healing and increase the risk of re-injury.

📝 Note: Always consult with a healthcare professional before starting any new exercise or rehabilitation program, especially if you have a history of foot injuries or other medical conditions.

Common Complications

While hairline fractures in the foot are generally manageable, there are potential complications that can arise if not properly treated. These include:

Complication Description
Delayed Healing: Inadequate rest or improper treatment can lead to delayed healing, prolonging the recovery process.
Non-Union: In rare cases, the fracture may not heal properly, leading to a non-union where the bone does not fully mend.
Re-Injury: Returning to activities too soon can increase the risk of re-injury, potentially leading to more severe fractures or other complications.
Chronic Pain: Persistent pain and discomfort can occur if the fracture does not heal properly or if underlying issues are not addressed.

To minimize the risk of complications, it is essential to follow your healthcare provider's recommendations for treatment and rehabilitation. Regular follow-up appointments can help monitor your progress and ensure proper healing.

In some cases, additional imaging tests or consultations with specialists may be necessary to address any complications that arise during the recovery process.

If you experience persistent pain, swelling, or other concerning symptoms, it is important to seek medical attention promptly to prevent further complications.

By understanding the causes, symptoms, diagnosis, and treatment options for a hairline fracture in the foot, you can take proactive steps to manage this injury effectively and promote a successful recovery. Proper care and prevention strategies can help you return to your daily activities and maintain overall foot health.

In conclusion, a hairline fracture in the foot is a common yet manageable injury that requires proper diagnosis, treatment, and rehabilitation. By following the recommended guidelines and seeking medical attention when necessary, you can effectively manage this injury and prevent potential complications. Maintaining overall bone health, wearing appropriate footwear, and gradually increasing physical activities are key strategies for preventing hairline fractures and promoting long-term foot health.

Related Terms:

  • hairline fracture in toe
  • will hairline fracture heal itself
  • hairline fracture in leg
  • hairline fracture
  • how to identify hairline fracture
  • hairline fracture ankle
Facebook Twitter WA
Ashley
Ashley
Author
Passionate content creator delivering insightful articles on technology, lifestyle, and more. Dedicated to bringing quality content that matters.
You Might Like