Herpes And Eye

Herpes and eye infections can be a serious health concern, affecting millions of people worldwide. Understanding the causes, symptoms, and treatments for herpes and eye infections is crucial for managing and preventing these conditions. This blog post will delve into the intricacies of herpes and eye infections, providing comprehensive information to help you stay informed and proactive about your health.

Understanding Herpes and Eye Infections

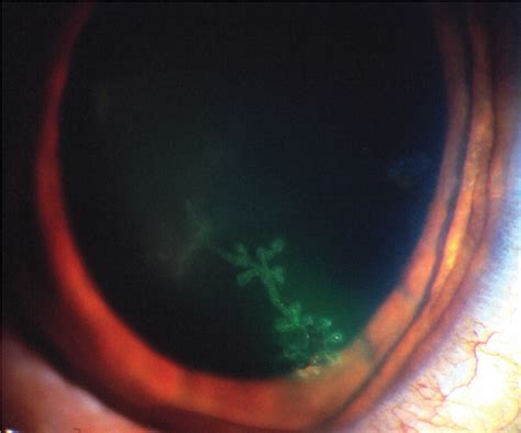
Herpes simplex virus (HSV) is a common viral infection that can affect various parts of the body, including the eyes. There are two main types of HSV: HSV-1 and HSV-2. HSV-1 is typically associated with oral herpes, which can cause cold sores around the mouth, while HSV-2 is commonly linked to genital herpes. However, both types can infect the eyes, leading to a condition known as herpes keratitis.

Causes of Herpes and Eye Infections

Herpes keratitis is caused by the herpes simplex virus. The virus can spread to the eyes through direct contact with an infected person or through autoinoculation, where the virus is transferred from another part of the body to the eye. Common ways the virus can spread include:

  • Touching the eye after touching a cold sore or genital lesion.
  • Sharing personal items like towels or razors with an infected person.
  • Engaging in sexual activity with an infected partner.

Other types of eye infections can be caused by bacteria, fungi, or other viruses. These infections can occur due to various factors, including:

  • Poor hygiene practices.
  • Wearing contact lenses for extended periods.
  • Exposure to contaminated water or surfaces.
  • Underlying health conditions that weaken the immune system.

Symptoms of Herpes and Eye Infections

The symptoms of herpes and eye infections can vary depending on the type and severity of the infection. Common symptoms of herpes keratitis include:

  • Eye pain or discomfort.
  • Redness and swelling of the eyelids.
  • Discharge from the eye.
  • Sensitivity to light (photophobia).
  • Blurred vision.
  • A feeling of something in the eye (foreign body sensation).

Other types of eye infections may present with similar symptoms, but they can also include:

  • Itching or burning sensation in the eye.
  • Crusting of the eyelids, especially in the morning.
  • Excessive tearing.
  • Swelling of the conjunctiva (conjunctivitis).

If you experience any of these symptoms, it is essential to seek medical attention promptly to prevent complications and ensure proper treatment.

Diagnosis of Herpes and Eye Infections

Diagnosing herpes and eye infections typically involves a comprehensive eye examination by an ophthalmologist. The doctor may use various diagnostic tools and techniques to identify the cause of the infection, including:

  • Slit-lamp examination: This involves using a specialized microscope to examine the structures of the eye.
  • Corneal scraping: A small sample of cells from the cornea is taken and examined under a microscope to identify the presence of the herpes virus or other pathogens.
  • Culture tests: Samples from the eye are cultured in a laboratory to grow and identify the specific virus or bacteria causing the infection.
  • Polymerase chain reaction (PCR) tests: This molecular test detects the genetic material of the virus, providing a highly accurate diagnosis.

Early and accurate diagnosis is crucial for effective treatment and prevention of complications.

Treatment Options for Herpes and Eye Infections

The treatment for herpes and eye infections depends on the type and severity of the infection. Common treatment options include:

  • Antiviral medications: For herpes keratitis, antiviral eye drops or oral medications such as acyclovir, valacyclovir, or famciclovir are often prescribed to reduce the severity and duration of the infection.
  • Antibiotic eye drops or ointments: For bacterial eye infections, antibiotic medications are used to eliminate the bacteria causing the infection.
  • Antifungal medications: For fungal eye infections, antifungal eye drops or oral medications are prescribed to treat the infection.
  • Corticosteroid eye drops: In some cases, corticosteroid eye drops may be used to reduce inflammation and swelling, but they should be used with caution and under medical supervision.

In addition to medication, supportive care measures may include:

  • Warm or cold compresses to relieve discomfort.
  • Artificial tears to keep the eye lubricated.
  • Avoiding contact lenses and eye makeup until the infection clears.

It is essential to follow the prescribed treatment plan and attend all follow-up appointments to ensure the infection is properly managed.

Prevention of Herpes and Eye Infections

Preventing herpes and eye infections involves practicing good hygiene and taking precautions to avoid exposure to the virus. Here are some tips to help prevent these infections:

  • Wash your hands frequently with soap and water, especially after touching your face or eyes.
  • Avoid touching your eyes with unwashed hands.
  • Do not share personal items like towels, washcloths, or eye makeup with others.
  • Use separate towels and washcloths for your face and body.
  • Avoid close contact with individuals who have active herpes infections.
  • Practice safe sex to reduce the risk of contracting HSV.
  • Wear protective eyewear during activities that may expose your eyes to potential irritants or infections.

If you have a history of herpes infections, it is essential to inform your healthcare provider and follow their recommendations for managing and preventing recurrences.

Complications of Herpes and Eye Infections

If left untreated, herpes and eye infections can lead to serious complications, including:

  • Corneal scarring: Repeated or severe infections can cause scarring of the cornea, leading to permanent vision loss.
  • Conjunctivitis: Inflammation of the conjunctiva can cause redness, swelling, and discharge from the eye.
  • Uveitis: Inflammation of the uvea, the middle layer of the eye, can cause pain, redness, and vision changes.
  • Glaucoma: Increased pressure within the eye can damage the optic nerve and lead to vision loss.
  • Cataracts: Clouding of the lens can cause blurred vision and other visual disturbances.

Regular eye examinations and prompt treatment of infections can help prevent these complications and preserve your vision.

Living with Herpes and Eye Infections

Living with herpes and eye infections can be challenging, but with proper management and care, you can minimize the impact on your daily life. Here are some tips for managing these conditions:

  • Follow your healthcare provider's treatment plan and attend all follow-up appointments.
  • Practice good hygiene to prevent the spread of the virus to others.
  • Avoid triggers that may cause recurrences, such as stress, illness, or exposure to sunlight.
  • Use protective eyewear during activities that may expose your eyes to potential irritants or infections.
  • Inform your healthcare provider about any changes in your symptoms or vision.

Support groups and online communities can also provide valuable information and emotional support for individuals living with herpes and eye infections.

📝 Note: Always consult with a healthcare provider for personalized advice and treatment recommendations.

Herpes and eye infections can be managed effectively with proper diagnosis, treatment, and prevention strategies. By understanding the causes, symptoms, and treatment options for these conditions, you can take proactive steps to protect your eye health and overall well-being.

Regular eye examinations, prompt treatment of infections, and good hygiene practices are essential for preventing complications and maintaining optimal eye health. If you experience any symptoms of herpes or eye infections, seek medical attention promptly to ensure proper diagnosis and treatment.

Related Terms:

  • herpes simplex 1 eye infection
  • herpesviral ocular disease
  • symptoms of herpes eye infection
  • how to diagnose eye herpes
  • herpes outbreak on eye
  • can herpes cause eye problems
Facebook Twitter WA
Ashley
Ashley
Author
Passionate content creator delivering insightful articles on technology, lifestyle, and more. Dedicated to bringing quality content that matters.
You Might Like