Humerus Bone Head Fracture

Understanding the complexities of a *humerus bone head fracture* is crucial for both medical professionals and patients. This type of fracture, which occurs at the proximal end of the humerus, can significantly impact mobility and quality of life. This blog post delves into the causes, symptoms, diagnosis, treatment options, and recovery process associated with a humerus bone head fracture.

Understanding the Humerus Bone

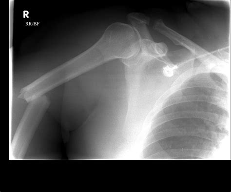
The humerus is the long bone in the upper arm that runs from the shoulder to the elbow. The head of the humerus fits into the glenoid cavity of the scapula to form the shoulder joint. A humerus bone head fracture typically involves a break in the upper part of the humerus, near the shoulder joint. This type of fracture can be particularly challenging due to the complex anatomy of the shoulder.

Causes of Humerus Bone Head Fracture

A humerus bone head fracture can result from various types of trauma, including:

  • Falls: Especially common in older adults, falls from standing height or higher can lead to a fracture.
  • Motor Vehicle Accidents: High-impact collisions can cause severe fractures.
  • Sports Injuries: Contact sports or activities that involve a high risk of falls, such as skiing or rock climbing, can result in a fracture.
  • Osteoporosis: Weakened bones due to osteoporosis can increase the risk of fractures from minor trauma.

Symptoms of Humerus Bone Head Fracture

Recognizing the symptoms of a humerus bone head fracture is essential for prompt medical intervention. Common symptoms include:

  • Severe Pain: Especially in the shoulder area, which may worsen with movement.
  • Swelling and Bruising: Around the shoulder and upper arm.
  • Deformity: The arm may appear shortened or deformed.
  • Limited Range of Motion: Difficulty moving the arm or shoulder.
  • Numbness or Tingling: In the arm or hand, which may indicate nerve involvement.

Diagnosis of Humerus Bone Head Fracture

Diagnosing a humerus bone head fracture involves a combination of physical examination and imaging tests. The diagnostic process typically includes:

  • Physical Examination: The doctor will assess the shoulder for pain, swelling, and deformity.
  • X-Rays: Standard imaging to visualize the fracture and determine its severity.
  • CT Scan: For more detailed images, especially if the fracture is complex or involves the joint.
  • MRI: To evaluate soft tissue damage and assess the extent of the injury.

Treatment Options for Humerus Bone Head Fracture

The treatment for a humerus bone head fracture depends on the severity of the fracture, the patient’s age, and overall health. Common treatment options include:

  • Non-Surgical Treatment:
    • Immobilization: Using a sling or splint to keep the arm immobile and promote healing.
    • Pain Management: Medications to manage pain and inflammation.
    • Physical Therapy: Exercises to restore range of motion and strength once the fracture has healed.
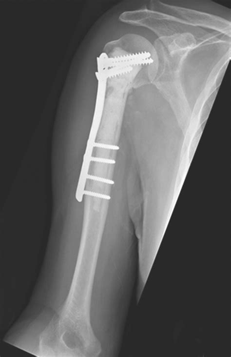
  • Surgical Treatment:
    • Open Reduction and Internal Fixation (ORIF): Surgery to realign the bone fragments and secure them with plates, screws, or rods.
    • Shoulder Replacement: In severe cases, especially in older adults, a partial or total shoulder replacement may be necessary.

Recovery and Rehabilitation

Recovery from a humerus bone head fracture can be a lengthy process, depending on the severity of the injury and the chosen treatment method. Key aspects of the recovery process include:

  • Immobilization Period: Typically 4-6 weeks, during which the arm is kept in a sling or splint.
  • Pain Management: Continued use of pain medications as needed.
  • Physical Therapy: Gradual introduction of exercises to restore range of motion, strength, and function. This may include:
    • Passive Range of Motion Exercises: Initially, to prevent stiffness.
    • Active Range of Motion Exercises: As healing progresses, to improve mobility.
    • Strengthening Exercises: To rebuild muscle strength and stability.

📝 Note: It is crucial to follow the physical therapy regimen prescribed by the healthcare provider to ensure optimal recovery and prevent long-term complications.

Complications of Humerus Bone Head Fracture

While most humerus bone head fractures heal successfully, there are potential complications to be aware of:

  • Non-Union or Malunion: The bone may not heal properly, leading to persistent pain and limited function.
  • Arthritis: Development of shoulder arthritis, especially if the fracture involves the joint surface.
  • Nerve or Blood Vessel Damage: Injury to nearby nerves or blood vessels can cause numbness, tingling, or reduced blood flow.
  • Infection: Risk of infection, particularly if surgery is required.

Prevention of Humerus Bone Head Fracture

Preventing a humerus bone head fracture involves taking steps to reduce the risk of falls and injuries. Key preventive measures include:

  • Fall Prevention: Especially for older adults, measures such as removing tripping hazards, installing grab bars, and using assistive devices can help.
  • Bone Health: Maintaining strong bones through a balanced diet rich in calcium and vitamin D, regular exercise, and avoiding smoking and excessive alcohol.
  • Safety Gear: Wearing appropriate protective gear during sports and recreational activities.

Long-Term Outlook

The long-term outlook for patients with a humerus bone head fracture is generally positive, especially with prompt and appropriate treatment. Most patients regain a significant amount of function and can return to their daily activities. However, the recovery process can be lengthy, and some patients may experience long-term limitations in shoulder mobility and strength.

Regular follow-ups with healthcare providers and adherence to the prescribed rehabilitation program are essential for achieving the best possible outcomes. Patients should also be aware of the potential for complications and seek medical attention if they experience persistent pain, swelling, or other concerning symptoms.

In summary, a humerus bone head fracture is a serious injury that requires prompt medical attention and a comprehensive treatment plan. Understanding the causes, symptoms, diagnosis, and treatment options can help patients and their families navigate the recovery process more effectively. With proper care and rehabilitation, many patients can achieve a full or near-full recovery and return to their normal activities.

Related Terms:

  • humeral head fracture types
  • humerus head fracture splint
  • humerus head fracture orthobullets
  • proximal humerus fracture
  • humeral head fracture radiology
  • humerus fracture
Facebook Twitter WA
Ashley
Ashley
Author
Passionate content creator delivering insightful articles on technology, lifestyle, and more. Dedicated to bringing quality content that matters.
You Might Like