Iliac Artery Aneurysm

An Iliac Artery Aneurysm is a serious medical condition that occurs when a section of the iliac artery, which supplies blood to the pelvis and legs, becomes weakened and bulges outward. This condition can be life-threatening if left untreated, as the aneurysm can rupture, leading to severe internal bleeding. Understanding the causes, symptoms, diagnosis, and treatment options for an Iliac Artery Aneurysm is crucial for early detection and effective management.

Understanding the Iliac Artery

The iliac arteries are major blood vessels that branch off from the aorta, the largest artery in the body. They are divided into two main sections: the common iliac arteries, which further branch into the internal and external iliac arteries. The external iliac arteries continue down the legs and become the femoral arteries, while the internal iliac arteries supply blood to the pelvic organs and muscles.

Causes of Iliac Artery Aneurysm

Several factors can contribute to the development of an Iliac Artery Aneurysm. The most common causes include:

  • Atherosclerosis: This is the buildup of plaque in the arteries, which can weaken the artery walls over time.
  • High Blood Pressure: Chronic hypertension can put excessive pressure on the artery walls, leading to weakening and bulging.
  • Genetic Factors: A family history of aneurysms or connective tissue disorders can increase the risk.
  • Smoking: Tobacco use can damage the blood vessels and increase the likelihood of aneurysm formation.
  • Trauma: Injury to the iliac artery can cause weakness and eventual aneurysm.

Symptoms of Iliac Artery Aneurysm

Many people with an Iliac Artery Aneurysm do not experience any symptoms, especially in the early stages. However, as the aneurysm grows, symptoms may develop. These can include:

  • Abdominal or pelvic pain
  • Pulsating sensation in the abdomen or pelvis
  • Deep, constant pain in the lower back, groin, or buttocks
  • Numbness or weakness in the legs
  • Difficulty walking or standing

If the aneurysm ruptures, symptoms can be severe and life-threatening, including:

  • Sudden, severe abdominal or pelvic pain
  • Rapid pulse
  • Low blood pressure
  • Fainting or loss of consciousness

Diagnosis of Iliac Artery Aneurysm

Diagnosing an Iliac Artery Aneurysm typically involves a combination of medical history, physical examination, and imaging tests. The diagnostic process may include:

  • Physical Examination: A healthcare provider may feel the abdomen or pelvis for a pulsating mass.
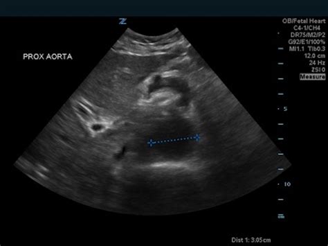
  • Ultrasound: This non-invasive test uses sound waves to create images of the iliac arteries and detect any abnormalities.
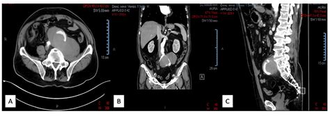
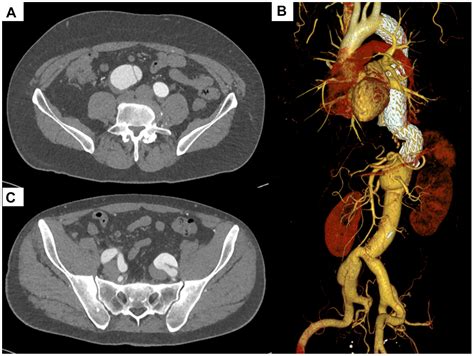
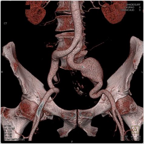
  • Computed Tomography Angiography (CTA): This imaging test provides detailed images of the blood vessels and can help determine the size and location of the aneurysm.
  • Magnetic Resonance Angiography (MRA): This test uses magnetic fields and radio waves to create images of the blood vessels, providing information similar to CTA but without radiation exposure.

Treatment Options for Iliac Artery Aneurysm

The treatment for an Iliac Artery Aneurysm depends on the size, location, and symptoms of the aneurysm, as well as the overall health of the patient. Treatment options include:

Medical Management

For small aneurysms that are not causing symptoms, medical management may be recommended. This involves regular monitoring and lifestyle changes to reduce the risk of rupture. Lifestyle changes may include:

  • Quitting smoking
  • Controlling blood pressure
  • Managing cholesterol levels
  • Maintaining a healthy weight
  • Regular exercise

Surgical Repair

For larger aneurysms or those causing symptoms, surgical repair may be necessary. There are two main types of surgical repair:

  • Open Surgical Repair: This involves making an incision in the abdomen or pelvis to access the aneurysm and repair it with a graft.
  • Endovascular Repair: This minimally invasive procedure involves inserting a stent-graft through a small incision in the groin and guiding it to the site of the aneurysm. The stent-graft reinforces the weakened artery wall and prevents rupture.

Risks and Complications

Both surgical and endovascular repairs carry risks and potential complications. These can include:

  • Infection
  • Bleeding
  • Blood clots
  • Damage to nearby organs or tissues
  • Need for additional procedures

It is important to discuss the potential risks and benefits of each treatment option with a healthcare provider.

Prevention of Iliac Artery Aneurysm

While not all Iliac Artery Aneurysms can be prevented, there are steps you can take to reduce your risk. These include:

  • Quitting smoking
  • Controlling high blood pressure
  • Managing cholesterol levels
  • Maintaining a healthy weight
  • Regular exercise
  • Eating a balanced diet

Living with an Iliac Artery Aneurysm

If you have been diagnosed with an Iliac Artery Aneurysm, it is important to follow your healthcare provider’s recommendations for monitoring and treatment. Regular follow-up appointments and imaging tests may be necessary to monitor the size and stability of the aneurysm. Lifestyle changes, such as quitting smoking and maintaining a healthy lifestyle, can also help reduce the risk of complications.

📝 Note: Always consult with a healthcare provider for personalized advice and treatment options.

An Iliac Artery Aneurysm is a serious condition that requires prompt diagnosis and appropriate management. By understanding the causes, symptoms, and treatment options, you can take proactive steps to manage this condition and improve your overall health. Regular medical check-ups and a healthy lifestyle can significantly reduce the risk of complications and enhance your quality of life.

Related Terms:

  • common iliac artery aneurysm size
  • iliac artery aneurysm radiology
  • abdominal aortic aneurysm iliac artery
  • iliac artery aneurysm repair
  • iliac artery aneurysm size guidelines
  • iliac artery location
Facebook Twitter WA
Ashley
Ashley
Author
Passionate content creator delivering insightful articles on technology, lifestyle, and more. Dedicated to bringing quality content that matters.
You Might Like