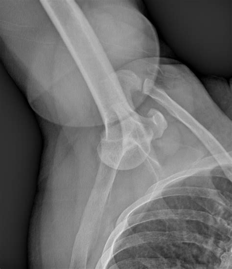
Inferior Shoulder Dislocation

Inferior shoulder dislocation is a rare but serious condition that occurs when the humeral head, the ball of the shoulder joint, is forced downward out of the glenoid fossa, the socket of the shoulder blade. This type of dislocation is less common than anterior or posterior dislocations but can be equally debilitating. Understanding the causes, symptoms, diagnosis, and treatment options for inferior shoulder dislocation is crucial for effective management and recovery.

Causes of Inferior Shoulder Dislocation

Inferior shoulder dislocation typically results from a high-impact trauma or a significant force applied to the shoulder. Common causes include:

  • Falls from a significant height
  • Motor vehicle accidents
  • Sports injuries, particularly in contact sports like football or rugby
  • Seizures or electric shocks that cause violent muscle contractions

These events can exert enough force to dislocate the humeral head downward, leading to an inferior shoulder dislocation.

Symptoms of Inferior Shoulder Dislocation

Recognizing the symptoms of an inferior shoulder dislocation is essential for prompt medical intervention. Common symptoms include:

  • Severe pain in the shoulder and arm
  • Visible deformity of the shoulder
  • Inability to move the arm
  • Swelling and bruising around the shoulder
  • Numbness or tingling in the arm or hand

If you experience these symptoms after a traumatic event, seek immediate medical attention. Early diagnosis and treatment can prevent further damage and complications.

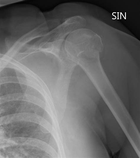
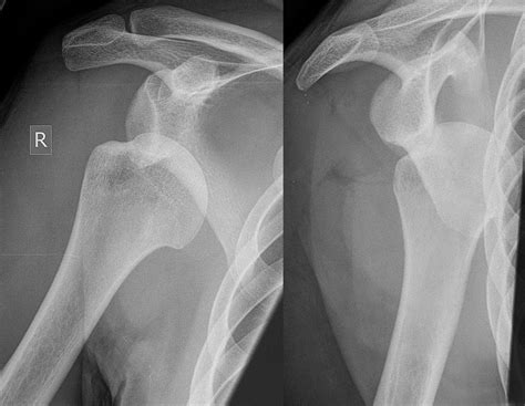
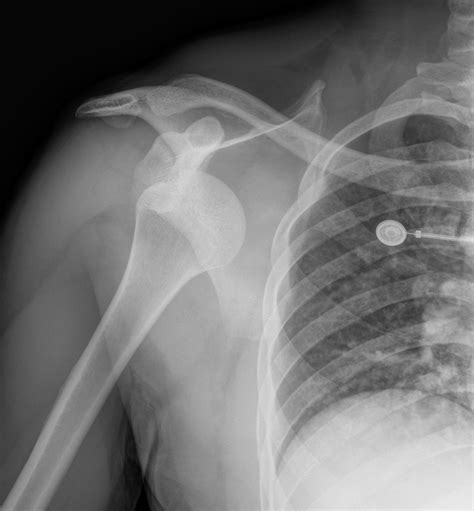
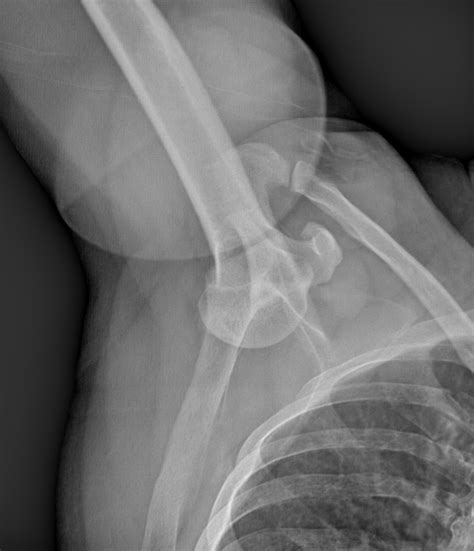
Diagnosis of Inferior Shoulder Dislocation

Diagnosing an inferior shoulder dislocation involves a combination of physical examination and imaging tests. The diagnostic process typically includes:

  • Physical examination: A healthcare provider will assess the shoulder for deformity, swelling, and range of motion.
  • X-rays: Imaging tests can confirm the dislocation and rule out fractures or other injuries.
  • CT scan or MRI: These advanced imaging techniques may be used to evaluate the extent of the injury and plan treatment.

Accurate diagnosis is crucial for determining the appropriate course of treatment and ensuring a successful recovery.

Treatment Options for Inferior Shoulder Dislocation

Treatment for inferior shoulder dislocation depends on the severity of the injury and the presence of any associated fractures or nerve damage. Common treatment options include:

Non-Surgical Treatment

For less severe cases, non-surgical treatment may be sufficient. This can include:

  • Closed reduction: A medical professional will manually realign the humeral head back into the glenoid fossa. This procedure is typically performed under sedation or anesthesia to minimize pain and discomfort.
  • Immobilization: After reduction, the shoulder may be immobilized in a sling or brace to allow the tissues to heal.
  • Physical therapy: Rehabilitation exercises can help restore range of motion, strength, and stability to the shoulder.

Surgical Treatment

In cases of severe injury or when non-surgical methods are ineffective, surgery may be necessary. Surgical options include:

  • Open reduction: This procedure involves making an incision to access the shoulder joint and manually realign the humeral head.
  • Arthroscopy: A minimally invasive technique using a small camera and instruments to repair the joint.
  • Bone grafting or hardware placement: In cases of fractures or significant bone damage, additional procedures may be required to stabilize the joint.

Surgical treatment aims to restore the shoulder's anatomy and function, allowing for a full recovery.

Recovery and Rehabilitation

Recovery from an inferior shoulder dislocation can be a lengthy process, depending on the severity of the injury and the chosen treatment method. Key aspects of recovery include:

  • Pain management: Medications and ice therapy can help manage pain and inflammation during the initial stages of recovery.
  • Immobilization: The shoulder may need to be immobilized for several weeks to allow the tissues to heal.
  • Physical therapy: A structured rehabilitation program can help restore range of motion, strength, and stability to the shoulder. Exercises may include:
Exercise Description Duration
Passive range of motion Gentle movements performed by a therapist to prevent stiffness 2-4 weeks
Active-assisted range of motion Patient performs movements with the help of a therapist or assistive device 4-6 weeks
Strengthening exercises Resistance exercises to build muscle strength and stability 6-12 weeks
Functional exercises Activities that mimic daily tasks to improve functional ability 12+ weeks

Following the rehabilitation program as prescribed by a healthcare provider is essential for a successful recovery.

📝 Note: Recovery times can vary, and it is important to follow the advice of your healthcare provider to avoid complications and ensure a full recovery.

Complications of Inferior Shoulder Dislocation

While rare, inferior shoulder dislocation can lead to several complications if not properly treated. Potential complications include:

  • Nerve damage: The dislocation can cause injury to the nerves in the shoulder, leading to numbness, tingling, or weakness in the arm or hand.
  • Blood vessel injury: Damage to blood vessels can result in reduced blood flow to the arm, causing pain, swelling, or discoloration.
  • Recurrent dislocations: In some cases, the shoulder may be prone to future dislocations, requiring additional treatment or surgery.
  • Arthritis: Chronic instability or repeated dislocations can lead to degenerative changes in the shoulder joint, resulting in arthritis.

Prompt diagnosis and appropriate treatment can help minimize the risk of these complications.

Prevention of Inferior Shoulder Dislocation

While it is not always possible to prevent an inferior shoulder dislocation, especially in cases of high-impact trauma, there are steps you can take to reduce the risk:

  • Wear appropriate protective gear during sports or high-risk activities.
  • Strengthen the muscles around the shoulder through regular exercise and physical therapy.
  • Maintain good posture and proper body mechanics to reduce strain on the shoulder.
  • Avoid activities that put excessive stress on the shoulder, especially if you have a history of shoulder injuries.

By taking these precautions, you can help protect your shoulder from injury and reduce the risk of an inferior shoulder dislocation.

Inferior shoulder dislocation is a serious condition that requires prompt medical attention and appropriate treatment. Understanding the causes, symptoms, diagnosis, and treatment options can help ensure a successful recovery and minimize the risk of complications. If you suspect an inferior shoulder dislocation, seek immediate medical care to prevent further damage and ensure the best possible outcome.

Related Terms:

  • types of dislocated shoulder
  • inferior shoulder dislocation reduction technique
  • inferior shoulder dislocation xray
  • types of dislocation shoulder joint
  • inferior shoulder dislocation xr
  • inferior dislocation of humeral head
Facebook Twitter WA
Ashley
Ashley
Author
Passionate content creator delivering insightful articles on technology, lifestyle, and more. Dedicated to bringing quality content that matters.
You Might Like