Insomnio Familiar Fatal

Insomnia is a common sleep disorder that affects millions of people worldwide. It is characterized by difficulty falling asleep, staying asleep, or both. While insomnia can be a standalone condition, it can also be a symptom of other underlying health issues. One such condition that has gained attention in recent years is Insomnio Familiar Fatal (Fatal Familial Insomnia). This rare and devastating neurological disorder is caused by a genetic mutation and leads to progressive insomnia, dementia, and ultimately, death. Understanding the intricacies of Insomnio Familiar Fatal is crucial for raising awareness and supporting research efforts to find a cure.

What is Insomnio Familiar Fatal?

Insomnio Familiar Fatal, also known as Fatal Familial Insomnia (FFI), is a rare genetic disorder that affects the brain's ability to regulate sleep. It is caused by a mutation in the PRNP gene, which encodes the prion protein. This mutation leads to the accumulation of abnormal prion proteins in the brain, causing widespread neurodegeneration. FFI is inherited in an autosomal dominant manner, meaning that a person has a 50% chance of inheriting the mutation if one of their parents is affected.

Symptoms and Progression of Insomnio Familiar Fatal

The symptoms of Insomnio Familiar Fatal typically begin in midlife, with an average age of onset around 50 years. The disease progresses rapidly, with most patients dying within 18 months of symptom onset. The key symptoms of FFI include:

  • Progressive insomnia: This is the hallmark symptom of FFI. Patients experience increasing difficulty falling asleep and staying asleep, leading to severe sleep deprivation.
  • Dementia: As the disease progresses, patients develop cognitive impairment, including memory loss, confusion, and disorientation.
  • Autonomic dysfunction: Patients may experience symptoms such as sweating, high blood pressure, and rapid heart rate.
  • Motor symptoms: In the later stages of the disease, patients may develop ataxia (loss of coordination), myoclonus (muscle jerks), and spasticity (muscle stiffness).

The progression of FFI can be divided into four stages:

Stage Duration Symptoms
Stage 1 4-18 months Progressive insomnia, anxiety, and panic attacks
Stage 2 5-18 months Dementia, autonomic dysfunction, and motor symptoms
Stage 3 1-12 months Severe dementia, autonomic dysfunction, and motor symptoms
Stage 4 1-6 months Complete inability to sleep, severe dementia, and autonomic dysfunction

📝 Note: The duration of each stage can vary among individuals, and some patients may progress through the stages more quickly than others.

Diagnosis of Insomnio Familiar Fatal

Diagnosing Insomnio Familiar Fatal can be challenging due to its rarity and the overlap of symptoms with other neurological disorders. A comprehensive evaluation is necessary to confirm the diagnosis. The diagnostic process typically includes:

  • Clinical evaluation: A detailed medical history and physical examination are essential to assess the presence and progression of symptoms.
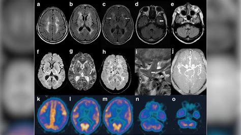
  • Neuroimaging: Magnetic resonance imaging (MRI) and positron emission tomography (PET) scans can help identify characteristic brain changes associated with FFI.
  • Genetic testing: Genetic analysis of the PRNP gene can confirm the presence of the mutation responsible for FFI.
  • Sleep studies: Polysomnography can help assess sleep patterns and rule out other sleep disorders.

Early and accurate diagnosis of Insomnio Familiar Fatal is crucial for providing appropriate support and care to patients and their families. It also enables participation in clinical trials and research studies aimed at finding effective treatments.

Treatment and Management of Insomnio Familiar Fatal

Currently, there is no cure for Insomnio Familiar Fatal. Treatment focuses on managing symptoms and providing supportive care to improve the quality of life for patients and their families. Some of the approaches used to manage FFI include:

  • Medications: Various medications can be prescribed to help manage insomnia, anxiety, and other symptoms. These may include sedatives, antidepressants, and antipsychotics.
  • Sleep hygiene: Maintaining good sleep hygiene practices can help improve sleep quality and reduce daytime sleepiness. This includes creating a comfortable sleep environment, establishing a regular sleep schedule, and avoiding stimulants before bedtime.
  • Supportive care: As the disease progresses, patients may require assistance with daily activities, such as bathing, dressing, and eating. Home care services or placement in a long-term care facility may be necessary.
  • Psychosocial support: Counseling and support groups can provide emotional support to patients and their families, helping them cope with the challenges of living with a terminal illness.

Research is ongoing to develop new treatments for Insomnio Familiar Fatal. Some promising avenues of research include:

  • Prion protein inhibitors: Drugs that target the abnormal prion protein may help slow or stop the progression of the disease.
  • Gene therapy: Techniques to correct the genetic mutation responsible for FFI are being explored as potential treatments.
  • Stem cell therapy: Transplanting healthy stem cells into the brain may help replace damaged neurons and restore normal brain function.

📝 Note: While these treatments show promise, they are still in the early stages of development and have not yet been proven effective in clinical trials.

The Impact of Insomnio Familiar Fatal on Families

Insomnio Familiar Fatal not only affects the individual diagnosed but also has a profound impact on their families. The progressive nature of the disease and the lack of effective treatments can be emotionally and financially devastating. Families often face:

  • Emotional stress: Watching a loved one deteriorate both physically and mentally can be incredibly painful and stressful.
  • Caregiving responsibilities: As the disease progresses, families may need to take on significant caregiving responsibilities, which can be physically and emotionally demanding.
  • Financial burden: The cost of medical care, medications, and long-term care can be substantial, placing a financial strain on families.
  • Genetic concerns: Family members may also be concerned about their own risk of inheriting the mutation and developing FFI.

Support groups and counseling services can provide valuable resources for families coping with Insomnio Familiar Fatal. These services offer a safe space to share experiences, gain emotional support, and access practical information and resources.

Research and Awareness Efforts

Raising awareness about Insomnio Familiar Fatal is crucial for advancing research and finding a cure. Several organizations and initiatives are dedicated to supporting research and providing resources for patients and families affected by FFI. Some key efforts include:

  • Funding research: Organizations such as the CureFFI Foundation and the Prion Alliance raise funds to support research into the causes and treatments of FFI.
  • Educational campaigns: Awareness campaigns aim to educate the public and healthcare professionals about the symptoms, diagnosis, and management of FFI.
  • Clinical trials: Participating in clinical trials is essential for testing new treatments and advancing our understanding of the disease.

By supporting these efforts, individuals and communities can contribute to the fight against Insomnio Familiar Fatal and help bring hope to those affected by this devastating condition.

Prion Protein Structure

Insomnio Familiar Fatal is a rare and devastating neurological disorder that highlights the complexities of genetic diseases and the urgent need for effective treatments. Through continued research, awareness, and support, we can work towards a future where this condition is better understood and ultimately cured. The journey is challenging, but with collective effort and determination, progress is possible.

Related Terms:

  • what causes fatal familial insomnia
  • insomnia disease that kills you
  • fatal familial insomnia mayo clinic
  • stages of fatal familial insomnia
  • insomnia due to medical condition
  • worst kind of insomnia
Facebook Twitter WA
Ashley
Ashley
Author
Passionate content creator delivering insightful articles on technology, lifestyle, and more. Dedicated to bringing quality content that matters.
You Might Like