Kerley B Lines Cxr

Understanding the intricacies of chest X-rays (CXR) is crucial for medical professionals, as it aids in the diagnosis of various respiratory conditions. One of the key findings in CXR is the presence of Kerley B lines, which are indicative of certain pulmonary pathologies. This post delves into the significance of Kerley B lines in CXR, their clinical implications, and how they are interpreted in the context of pulmonary edema and other respiratory diseases.

What are Kerley B Lines?

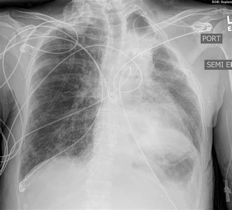
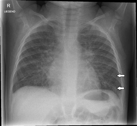
Kerley B lines are short, horizontal, linear opacities seen on chest X-rays. They are typically found in the peripheral lung fields, particularly in the costophrenic angles. These lines are named after Peter Kerley, the radiologist who first described them. Kerley B lines are often associated with interstitial edema, which is the accumulation of fluid in the interstitial spaces of the lungs.

Clinical Significance of Kerley B Lines

Kerley B lines are clinically significant as they can indicate the presence of pulmonary edema, a condition where fluid accumulates in the lungs. This can be due to various causes, including heart failure, renal failure, and other systemic diseases. The presence of Kerley B lines on a CXR can prompt further investigation and management of the underlying condition.

Interpreting Kerley B Lines on CXR

Interpreting Kerley B lines on a CXR requires a systematic approach. Here are the steps involved:

  • Identify the Location: Kerley B lines are usually found in the peripheral lung fields, particularly in the costophrenic angles.
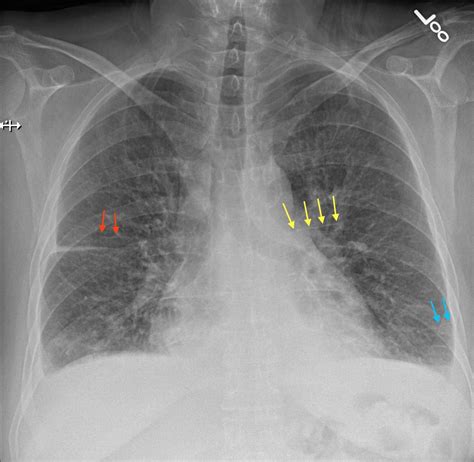
  • Assess the Pattern: Look for short, horizontal, linear opacities. These lines are typically less than 1 cm in length and are often seen in clusters.
  • Evaluate the Context: Consider the clinical context and other findings on the CXR. Kerley B lines are often accompanied by other signs of pulmonary edema, such as alveolar opacities and pleural effusions.
  • Differentiate from Other Findings: Kerley B lines can sometimes be confused with other linear opacities, such as those seen in interstitial lung diseases. Careful evaluation of the pattern and distribution can help differentiate Kerley B lines from other findings.

📝 Note: It is important to correlate the radiographic findings with the clinical presentation and other diagnostic tests to make an accurate diagnosis.

Kerley B Lines in Pulmonary Edema

Pulmonary edema is a common condition where fluid accumulates in the lungs, leading to respiratory distress. Kerley B lines are often seen in patients with pulmonary edema, particularly in the early stages. The presence of Kerley B lines on a CXR can be an early indicator of interstitial edema, prompting further evaluation and management.

Differential Diagnosis of Kerley B Lines

While Kerley B lines are often associated with pulmonary edema, they can also be seen in other conditions. Some of the differential diagnoses include:

  • Interstitial Lung Diseases: Conditions such as idiopathic pulmonary fibrosis and sarcoidosis can also present with linear opacities on CXR.
  • Pneumonia: Certain types of pneumonia, particularly those with interstitial involvement, can mimic Kerley B lines.
  • Lymphangitic Carcinomatosis: This condition, where cancer cells spread through the lymphatic system, can also present with linear opacities on CXR.

Management of Conditions Associated with Kerley B Lines

The management of conditions associated with Kerley B lines depends on the underlying cause. Here are some general principles:

  • Pulmonary Edema: Management includes diuretics to reduce fluid overload, oxygen therapy to improve oxygenation, and treatment of the underlying cause, such as heart failure or renal failure.
  • Interstitial Lung Diseases: Treatment may include corticosteroids, immunosuppressive agents, and supportive care.
  • Pneumonia: Antibiotics are the mainstay of treatment, along with supportive care.
  • Lymphangitic Carcinomatosis: Treatment involves chemotherapy, radiation therapy, and supportive care.

Case Studies and Examples

To better understand the clinical significance of Kerley B lines, let’s consider a few case studies:

Case Study 1: Pulmonary Edema

A 65-year-old patient presents with shortness of breath and orthopnea. A CXR reveals Kerley B lines in the peripheral lung fields, along with alveolar opacities and pleural effusions. The patient is diagnosed with pulmonary edema secondary to heart failure and is managed with diuretics and oxygen therapy.

Case Study 2: Interstitial Lung Disease

A 50-year-old patient presents with a chronic cough and dyspnea. A CXR shows Kerley B lines and reticular opacities. Further evaluation with a high-resolution CT scan confirms the diagnosis of idiopathic pulmonary fibrosis. The patient is started on corticosteroids and immunosuppressive therapy.

Case Study 3: Lymphangitic Carcinomatosis

A 70-year-old patient with a history of lung cancer presents with progressive dyspnea. A CXR reveals Kerley B lines and nodular opacities. A CT scan confirms the diagnosis of lymphangitic carcinomatosis. The patient is started on chemotherapy and supportive care.

Conclusion

Kerley B lines on CXR are a crucial finding that can indicate the presence of pulmonary edema and other respiratory conditions. Understanding their clinical significance, interpretation, and differential diagnosis is essential for medical professionals. By correlating radiographic findings with clinical presentation and other diagnostic tests, accurate diagnosis and management of underlying conditions can be achieved. Early recognition of Kerley B lines can prompt timely intervention, improving patient outcomes.

Related Terms:

  • cephalization cxr
  • kerley b lines meaning
  • septal lines
  • bat wing cxr
  • kerley b lines echo
  • kerley b lines ultrasound
Facebook Twitter WA
Ashley
Ashley
Author
Passionate content creator delivering insightful articles on technology, lifestyle, and more. Dedicated to bringing quality content that matters.
You Might Like