Leukoplakia On The Lips

Leukoplakia on the lips is a condition characterized by the appearance of thick, white patches on the lips. These patches are typically painless but can be a cause for concern due to their potential to develop into cancer. Understanding the causes, symptoms, and treatment options for leukoplakia on the lips is crucial for early detection and effective management.

What is Leukoplakia on the Lips?

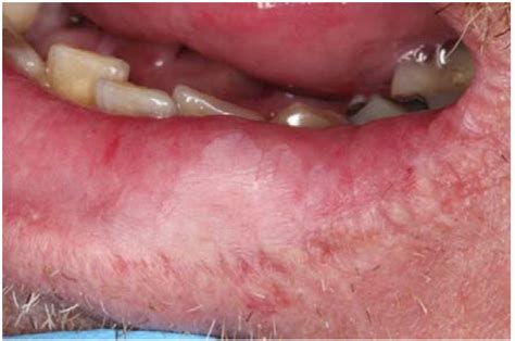
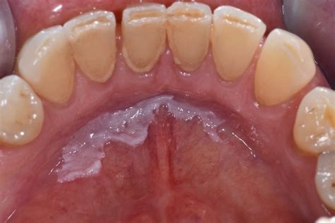
Leukoplakia on the lips refers to the development of white patches or plaques that cannot be scraped off. These patches are usually found on the inner surfaces of the lips and can vary in size and shape. The condition is more common in individuals who smoke or use tobacco products, as well as those who consume excessive amounts of alcohol.

Causes of Leukoplakia on the Lips

Several factors contribute to the development of leukoplakia on the lips. The primary causes include:

  • Tobacco Use: Smoking cigarettes, cigars, or pipes, as well as chewing tobacco, significantly increases the risk of developing leukoplakia.
  • Alcohol Consumption: Excessive alcohol intake can irritate the mucous membranes of the mouth, leading to the formation of white patches.
  • Chronic Irritation: Prolonged irritation from rough teeth, ill-fitting dentures, or sharp edges of dental appliances can cause leukoplakia.
  • Human Papillomavirus (HPV): Certain strains of HPV have been linked to the development of leukoplakia.
  • Genetic Factors: Some individuals may have a genetic predisposition to developing leukoplakia.

Symptoms of Leukoplakia on the Lips

Leukoplakia on the lips often presents with the following symptoms:

  • Thick, white patches or plaques on the lips that cannot be scraped off.
  • Patches that may be slightly raised or have a rough texture.
  • Patches that can be painless or cause discomfort, especially if they become inflamed or infected.
  • In some cases, the patches may develop into ulcers or sores.

Diagnosis of Leukoplakia on the Lips

Diagnosing leukoplakia on the lips involves a thorough examination by a healthcare professional. The diagnostic process typically includes:

  • Medical History: The doctor will review the patient’s medical history, including any history of tobacco use, alcohol consumption, and exposure to irritants.
  • Physical Examination: A visual inspection of the mouth and lips to identify the presence of white patches.
  • Biopsy: A small sample of the affected tissue may be taken for laboratory analysis to rule out cancerous cells.

Treatment Options for Leukoplakia on the Lips

Treatment for leukoplakia on the lips depends on the severity of the condition and the presence of any underlying factors. Common treatment options include:

  • Lifestyle Changes: Quitting smoking and reducing alcohol consumption can help prevent the progression of leukoplakia.
  • Removal of Irritants: Addressing any sources of chronic irritation, such as rough teeth or ill-fitting dentures, can aid in the healing process.
  • Medications: Topical medications, such as retinoids or corticosteroids, may be prescribed to reduce inflammation and promote healing.
  • Surgical Removal: In severe cases, surgical excision of the affected tissue may be necessary to prevent the development of cancer.
  • Laser Therapy: Laser treatment can be used to remove the white patches and promote tissue regeneration.

Prevention of Leukoplakia on the Lips

Preventing leukoplakia on the lips involves adopting healthy habits and avoiding known risk factors. Key preventive measures include:

  • Quitting smoking and avoiding tobacco products.
  • Limiting alcohol consumption.
  • Maintaining good oral hygiene, including regular dental check-ups.
  • Addressing any sources of chronic irritation in the mouth.
  • Getting vaccinated against HPV, if recommended by a healthcare provider.

When to Seek Medical Attention

It is essential to seek medical attention if you notice any white patches on your lips that do not go away within a few weeks. Early detection and treatment of leukoplakia on the lips can prevent the development of more serious conditions, including cancer. Regular dental check-ups and self-examinations can help identify any changes in the mouth and lips.

Risk Factors for Leukoplakia on the Lips

Several risk factors increase the likelihood of developing leukoplakia on the lips. Understanding these factors can help individuals take proactive measures to reduce their risk. The primary risk factors include:

Risk Factor Description
Tobacco Use Smoking cigarettes, cigars, or pipes, as well as chewing tobacco, significantly increases the risk.
Alcohol Consumption Excessive alcohol intake can irritate the mucous membranes of the mouth.
Chronic Irritation Prolonged irritation from rough teeth, ill-fitting dentures, or sharp edges of dental appliances.
Human Papillomavirus (HPV) Certain strains of HPV have been linked to the development of leukoplakia.
Genetic Factors Some individuals may have a genetic predisposition to developing leukoplakia.

📝 Note: Regular dental check-ups and self-examinations can help identify any changes in the mouth and lips early, allowing for prompt intervention and treatment.

Leukoplakia on the lips is a condition that requires attention and proper management. By understanding the causes, symptoms, and treatment options, individuals can take proactive steps to prevent and manage this condition effectively. Early detection and intervention are crucial in preventing the development of more serious conditions, including cancer. Regular dental check-ups and self-examinations play a vital role in maintaining oral health and identifying any changes that may require medical attention.

Related Terms:

  • is leukoplakia painful
  • leukoplakia symptoms
  • does leukoplakia scrape off
  • leukoplakia causes
  • leukoplakia under tongue
  • leukoplakia hard palate
Facebook Twitter WA
Ashley
Ashley
Author
Passionate content creator delivering insightful articles on technology, lifestyle, and more. Dedicated to bringing quality content that matters.
You Might Like