Liver Ultrasound Cyst

Understanding the significance of a liver ultrasound cyst diagnosis is crucial for anyone dealing with liver health issues. This non-invasive imaging technique provides valuable insights into the condition of the liver, helping healthcare professionals make informed decisions about treatment and management. In this post, we will delve into the details of liver ultrasound cysts, their causes, symptoms, diagnosis, and treatment options.

What is a Liver Ultrasound?

A liver ultrasound is a diagnostic imaging procedure that uses high-frequency sound waves to create detailed images of the liver and surrounding tissues. This procedure is commonly used to detect various liver conditions, including cysts, tumors, and infections. The ultrasound machine emits sound waves that bounce off the liver and other organs, creating a visual representation on a screen. This non-invasive method is safe, painless, and does not involve radiation, making it a preferred choice for many patients.

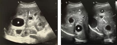
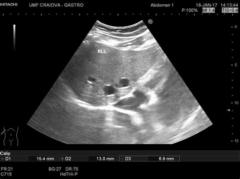
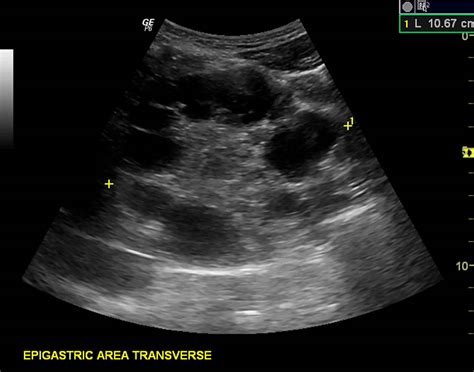
Understanding Liver Ultrasound Cysts

A liver ultrasound cyst is a fluid-filled sac that develops within the liver. These cysts can vary in size and number and are often discovered incidentally during routine imaging tests. Liver cysts can be classified into two main types: simple cysts and complex cysts. Simple cysts are benign and typically do not cause symptoms, while complex cysts may require further investigation due to the potential for malignancy.

Causes of Liver Ultrasound Cysts

The exact cause of liver ultrasound cysts is not always clear, but several factors can contribute to their development. Some of the common causes include:

  • Genetic Factors: Certain genetic conditions, such as polycystic liver disease, can predispose individuals to developing multiple liver cysts.
  • Infections: Parasitic infections, such as echinococcosis, can lead to the formation of cysts in the liver.
  • Trauma: Injury to the liver can sometimes result in the development of cysts.
  • Biliary Obstruction: Blockages in the bile ducts can cause fluid to accumulate, leading to cyst formation.

Symptoms of Liver Ultrasound Cysts

Many liver ultrasound cysts are asymptomatic and are discovered during routine imaging tests. However, some individuals may experience symptoms, especially if the cysts are large or numerous. Common symptoms include:

  • Abdominal pain or discomfort
  • Nausea and vomiting
  • Fever
  • Jaundice (yellowing of the skin and eyes)
  • Abdominal swelling

Diagnosis of Liver Ultrasound Cysts

The diagnosis of liver ultrasound cysts typically involves a combination of imaging tests and clinical evaluation. The primary diagnostic tool is the liver ultrasound, which provides detailed images of the liver and surrounding tissues. Additional tests may include:

  • Computed Tomography (CT) Scan: This imaging test uses X-rays to create detailed cross-sectional images of the liver.
  • Magnetic Resonance Imaging (MRI): MRI uses magnetic fields and radio waves to produce detailed images of the liver and other organs.
  • Blood Tests: Blood tests can help rule out other liver conditions and assess liver function.

Treatment Options for Liver Ultrasound Cysts

The treatment of liver ultrasound cysts depends on various factors, including the size, number, and type of cysts, as well as the presence of symptoms. Treatment options may include:

  • Observation: Small, asymptomatic cysts may not require treatment and can be monitored with regular imaging tests.
  • Medication: In some cases, medications may be prescribed to manage symptoms or treat underlying conditions.
  • Percutaneous Drainage: This procedure involves inserting a needle into the cyst to drain the fluid. It is often used for symptomatic cysts.
  • Surgical Removal: Large or symptomatic cysts may require surgical removal. This can be done through open surgery or minimally invasive techniques such as laparoscopy.
  • Sclerotherapy: This procedure involves injecting a sclerosing agent into the cyst to shrink it. It is often used in combination with percutaneous drainage.

Preventing Liver Ultrasound Cysts

While not all liver ultrasound cysts can be prevented, certain lifestyle changes and medical interventions can help reduce the risk of developing them. Some preventive measures include:

  • Maintaining a healthy diet and lifestyle to support liver health.
  • Avoiding alcohol and drugs that can damage the liver.
  • Getting vaccinated against hepatitis and other liver infections.
  • Regular medical check-ups and screening tests for early detection of liver conditions.

📝 Note: It is important to consult with a healthcare professional for personalized advice on preventing liver ultrasound cysts.

Living with Liver Ultrasound Cysts

Living with liver ultrasound cysts can be challenging, but with proper management and support, many individuals can lead healthy and fulfilling lives. Some tips for managing liver ultrasound cysts include:

  • Following the treatment plan prescribed by your healthcare provider.
  • Attending regular follow-up appointments and imaging tests.
  • Maintaining a healthy lifestyle, including a balanced diet and regular exercise.
  • Avoiding activities that can strain the liver, such as heavy lifting or contact sports.
  • Seeking support from family, friends, and support groups.

📝 Note: Always consult with your healthcare provider before making any significant changes to your lifestyle or treatment plan.

When to Seek Medical Attention

If you experience any of the following symptoms, it is important to seek medical attention promptly:

  • Severe abdominal pain or discomfort
  • Fever or chills
  • Jaundice (yellowing of the skin and eyes)
  • Nausea and vomiting
  • Abdominal swelling or tenderness

These symptoms may indicate a more serious condition that requires immediate medical attention.

Conclusion

Liver ultrasound cysts are a common finding in diagnostic imaging and can range from benign to potentially serious conditions. Understanding the causes, symptoms, diagnosis, and treatment options for liver ultrasound cysts is essential for effective management and improved quality of life. Regular medical check-ups, a healthy lifestyle, and prompt medical attention for concerning symptoms can help individuals with liver ultrasound cysts lead healthy and fulfilling lives.

Related Terms:

  • simple liver cyst nice cks
  • simple liver cyst look like
  • hepatic cyst ultrasound images
  • best imaging for liver cyst
  • liver cyst mri with contrast
  • simple cyst liver ultrasound
Facebook Twitter WA
Ashley
Ashley
Author
Passionate content creator delivering insightful articles on technology, lifestyle, and more. Dedicated to bringing quality content that matters.
You Might Like