Medial Malleolus Fracture

Injuries to the ankle can range from minor sprains to severe fractures, with one of the more complex and painful types being a Medial Malleolus Fracture. This type of fracture involves the inner part of the ankle, specifically the medial malleolus, which is the bony prominence on the inner side of the ankle. Understanding the causes, symptoms, diagnosis, and treatment options for a Medial Malleolus Fracture is crucial for anyone who has experienced this injury or is at risk of it.

Understanding the Medial Malleolus

The medial malleolus is a bony protrusion on the inner side of the ankle, part of the tibia bone. It plays a critical role in stabilizing the ankle joint and providing support during movement. The medial malleolus, along with the lateral malleolus (part of the fibula) and the posterior malleolus (part of the tibia), forms the ankle mortise, which helps to hold the talus bone in place. A fracture in this area can significantly impact the stability and function of the ankle.

Causes of Medial Malleolus Fracture

A Medial Malleolus Fracture typically occurs due to a traumatic event that exerts excessive force on the ankle. Common causes include:

  • High-Impact Sports: Activities like football, basketball, and soccer, where sudden changes in direction or high-impact collisions are common.
  • Falls: Tripping, slipping, or falling from a height can result in a fracture, especially if the foot is planted firmly and the body twists.
  • Motor Vehicle Accidents: The force of a car crash can cause severe ankle injuries, including fractures.
  • Osteoporosis: In individuals with weakened bones, even a minor fall or twist can lead to a fracture.

Symptoms of Medial Malleolus Fracture

Recognizing the symptoms of a Medial Malleolus Fracture is essential for prompt treatment. Common symptoms include:

  • Severe Pain: Immediate and intense pain in the ankle, especially on the inner side.
  • Swelling: Rapid swelling around the ankle, which can make it difficult to move or bear weight.
  • Bruising: Discoloration around the ankle, which may spread to the foot and lower leg.
  • Deformity: In some cases, the ankle may appear deformed or misaligned.
  • Inability to Bear Weight: Difficulty or inability to put weight on the affected foot.

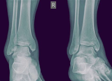
Diagnosing a Medial Malleolus Fracture

Diagnosing a Medial Malleolus Fracture involves a combination of physical examination and imaging tests. The process typically includes:

  • Physical Examination: A healthcare provider will assess the ankle for swelling, tenderness, and deformity. They may also check the range of motion and stability of the joint.
  • Imaging Tests:
    • X-Rays: The primary imaging tool for diagnosing fractures. X-rays can show the location and severity of the fracture.
    • CT Scans: Provides detailed images of the bone structure, useful for complex fractures or when surgical planning is required.
    • MRI Scans: Useful for assessing soft tissue damage, such as ligament tears, which may accompany the fracture.

Treatment Options for Medial Malleolus Fracture

The treatment for a Medial Malleolus Fracture depends on the severity of the fracture and the overall health of the patient. Options range from non-surgical to surgical interventions.

Non-Surgical Treatment

For less severe fractures, non-surgical treatment may be sufficient. This typically includes:

  • Rest, Ice, Compression, and Elevation (RICE): Helps to reduce pain and swelling.
  • Immobilization: Using a cast, boot, or brace to keep the ankle stable and promote healing.
  • Pain Management: Over-the-counter pain relievers or prescription medications to manage discomfort.
  • Physical Therapy: Exercises to improve range of motion, strength, and flexibility once the fracture has healed.

Surgical Treatment

For more severe fractures, surgery may be necessary to realign the bones and stabilize the joint. Surgical options include:

  • Open Reduction and Internal Fixation (ORIF): Involves making an incision to realign the bones and using plates, screws, or rods to hold them in place.
  • Arthroscopy: A minimally invasive procedure using a small camera to visualize and repair the joint.

Recovery and Rehabilitation

Recovery from a Medial Malleolus Fracture can take several weeks to months, depending on the severity of the injury and the type of treatment. The rehabilitation process typically involves:

  • Initial Healing Phase: Focuses on reducing pain and swelling, and protecting the fracture site.
  • Immobilization: Wearing a cast, boot, or brace to keep the ankle stable.
  • Physical Therapy: Gradually increasing range of motion, strength, and flexibility through exercises.
  • Weight-Bearing: Slowly reintroducing weight-bearing activities as the fracture heals.
  • Return to Activities: Gradually returning to normal activities and sports, with clearance from a healthcare provider.

πŸ“ Note: The recovery timeline can vary significantly based on the individual's overall health, the severity of the fracture, and adherence to the rehabilitation plan.

Complications of Medial Malleolus Fracture

While most Medial Malleolus Fractures heal without complications, there are potential risks to be aware of:

  • Non-Union or Malunion: The fracture may not heal properly, leading to persistent pain and instability.
  • Arthritis: Long-term complications can include post-traumatic arthritis, which may require further treatment.
  • Infection: There is a risk of infection, especially if surgery is involved.
  • Nerve or Blood Vessel Damage: Injury to nearby nerves or blood vessels can occur, leading to numbness, weakness, or poor circulation.

Preventing Medial Malleolus Fracture

While not all Medial Malleolus Fractures can be prevented, there are steps you can take to reduce the risk:

  • Wear Appropriate Footwear: Choose shoes that provide good support and stability, especially during physical activities.
  • Strengthen Ankles: Regular exercises to strengthen the muscles and ligaments around the ankle can improve stability.
  • Avoid High-Risk Activities: Be cautious during high-impact sports or activities that increase the risk of falls.
  • Maintain Bone Health: Ensure adequate calcium and vitamin D intake to maintain bone strength, especially for those at risk of osteoporosis.

πŸ“ Note: If you suspect a Medial Malleolus Fracture, seek medical attention promptly to ensure proper diagnosis and treatment.

Comparing Medial Malleolus Fracture with Other Ankle Injuries

It’s important to differentiate a Medial Malleolus Fracture from other common ankle injuries. Here is a comparison:

Injury Type Common Causes Symptoms Treatment
Medial Malleolus Fracture High-impact sports, falls, motor vehicle accidents Severe pain, swelling, bruising, deformity, inability to bear weight RICE, immobilization, pain management, physical therapy, surgery if necessary
Lateral Malleolus Fracture Inversion injuries, falls, sports Pain, swelling, bruising, instability RICE, immobilization, pain management, physical therapy, surgery if necessary
Ankle Sprain Inversion or eversion injuries, sports, falls Pain, swelling, bruising, instability RICE, immobilization, pain management, physical therapy
Achilles Tendon Rupture Sudden acceleration, jumping, sports Sudden pain, swelling, inability to push off the foot Immobilization, pain management, physical therapy, surgery if necessary

Conclusion

A Medial Malleolus Fracture is a serious injury that requires prompt medical attention and appropriate treatment. Understanding the causes, symptoms, and treatment options can help individuals manage this injury effectively. Whether through non-surgical methods or surgical intervention, the goal is to promote healing, restore function, and prevent long-term complications. Early diagnosis and adherence to the rehabilitation plan are crucial for a successful recovery. By taking preventive measures, individuals can reduce the risk of such injuries and maintain overall ankle health.

Related Terms:

  • medial malleolus fracture splint
  • medial malleolus
  • medial malleolus fracture icd
  • medial malleolus fracture radiology
  • medial malleolus fracture classification
  • posterior malleolus fracture
Facebook Twitter WA
Ashley
Ashley
Author
Passionate content creator delivering insightful articles on technology, lifestyle, and more. Dedicated to bringing quality content that matters.
You Might Like