Medullary Sponge Kidney Usg

Medullary Sponge Kidney (MSK) is a rare congenital disorder that affects the kidneys, characterized by cystic dilatation of the collecting ducts in the medulla. This condition can lead to various complications, including urinary tract infections, kidney stones, and even chronic kidney disease. Early detection and management are crucial for preventing these complications. One of the key diagnostic tools for Medullary Sponge Kidney is Ultrasound (USG). This blog post will delve into the intricacies of Medullary Sponge Kidney USG, its importance, and how it aids in the diagnosis and management of this condition.

Understanding Medullary Sponge Kidney

Medullary Sponge Kidney is a congenital anomaly where the collecting ducts in the renal medulla are dilated and spongy in appearance. This condition is often asymptomatic in its early stages, making it difficult to detect without proper diagnostic tools. The primary symptoms, when they do appear, include:

  • Recurrent urinary tract infections
  • Hematuria (blood in the urine)
  • Flank pain
  • Kidney stones

These symptoms can vary in severity and may not always be present, which underscores the importance of diagnostic imaging techniques like Medullary Sponge Kidney USG.

The Role of Ultrasound in Diagnosing Medullary Sponge Kidney

Ultrasound, or USG, is a non-invasive imaging technique that uses high-frequency sound waves to create images of the internal body structures. In the context of Medullary Sponge Kidney, USG plays a pivotal role in the diagnostic process. It helps in visualizing the cystic dilatation of the collecting ducts and assessing the overall condition of the kidneys.

Preparation for Medullary Sponge Kidney USG

Preparing for a Medullary Sponge Kidney USG involves several steps to ensure accurate results. Patients are typically advised to:

  • Drink plenty of water before the procedure to fill the bladder, which helps in better visualization of the kidneys.
  • Avoid eating or drinking for a few hours before the USG, as directed by the healthcare provider.
  • Wear comfortable clothing and remove any jewelry or metallic objects that could interfere with the ultrasound waves.

During the procedure, the patient lies on their back or side, and a gel is applied to the abdomen to enhance the transmission of sound waves. The ultrasound transducer is then moved over the abdomen to capture images of the kidneys.

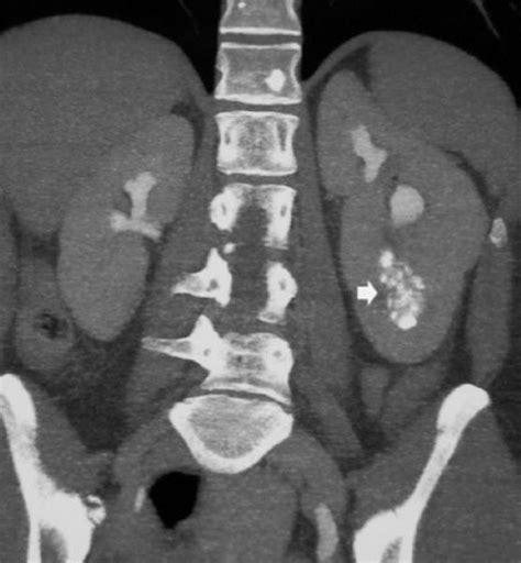
Interpreting Medullary Sponge Kidney USG Results

Interpreting the results of a Medullary Sponge Kidney USG requires expertise in radiology. The key findings that indicate Medullary Sponge Kidney include:

  • Cystic dilatation of the collecting ducts in the renal medulla.
  • Enlarged kidneys with a spongy appearance.
  • Presence of kidney stones or calcifications.
  • Thickening of the renal parenchyma.

These findings help in confirming the diagnosis of Medullary Sponge Kidney and guiding further management strategies.

Advantages of Medullary Sponge Kidney USG

Medullary Sponge Kidney USG offers several advantages over other diagnostic methods:

  • Non-invasive and painless, making it suitable for patients of all ages.
  • No radiation exposure, unlike CT scans or X-rays.
  • Cost-effective compared to other imaging techniques.
  • Provides real-time images, allowing for immediate assessment.

These advantages make Medullary Sponge Kidney USG a preferred diagnostic tool for many healthcare providers.

Limitations of Medullary Sponge Kidney USG

While Medullary Sponge Kidney USG is a valuable diagnostic tool, it does have some limitations:

  • May not detect small or early-stage cysts.
  • Results can be affected by the patient’s body habitus, such as obesity.
  • May not provide detailed information about the internal structure of the cysts.

In such cases, additional imaging techniques like CT scans or MRI may be recommended to complement the USG findings.

Management and Treatment of Medullary Sponge Kidney

The management of Medullary Sponge Kidney focuses on preventing complications and maintaining kidney function. Treatment strategies may include:

  • Medications to manage urinary tract infections and prevent kidney stones.
  • Hydration therapy to flush out kidney stones and reduce the risk of recurrence.
  • Dietary modifications to reduce the intake of substances that promote stone formation, such as calcium and oxalate.
  • Regular follow-up with a nephrologist to monitor kidney function and adjust treatment as needed.

Early detection through Medullary Sponge Kidney USG can significantly improve the outcomes and quality of life for patients with this condition.

Importance of Early Detection

Early detection of Medullary Sponge Kidney through USG is crucial for several reasons:

  • Prevents the progression of kidney damage and the development of chronic kidney disease.
  • Allows for timely intervention to manage symptoms and complications.
  • Enhances the effectiveness of treatment strategies and improves patient outcomes.

Regular screening and monitoring through Medullary Sponge Kidney USG can help in the early detection and management of this condition.

Case Studies and Real-Life Examples

To illustrate the importance of Medullary Sponge Kidney USG, let’s consider a few real-life examples:

Case Study 1: A 35-year-old patient presented with recurrent urinary tract infections and flank pain. An initial USG revealed cystic dilatation of the collecting ducts, confirming the diagnosis of Medullary Sponge Kidney. The patient was started on antibiotics and hydration therapy, which significantly reduced the frequency of infections and improved symptoms.

Case Study 2: A 45-year-old patient with a history of kidney stones underwent a Medullary Sponge Kidney USG, which showed enlarged kidneys with a spongy appearance and multiple calcifications. The patient was advised to follow a low-calcium diet and increase fluid intake, which helped in preventing further stone formation and maintaining kidney function.

These case studies highlight the diagnostic and therapeutic value of Medullary Sponge Kidney USG in managing this condition.

Future Directions in Medullary Sponge Kidney Diagnosis

Advances in medical technology continue to enhance the diagnostic capabilities for Medullary Sponge Kidney. Future directions in this field may include:

  • Development of more sensitive and specific imaging techniques.
  • Integration of artificial intelligence and machine learning for better interpretation of USG results.
  • Non-invasive biomarkers for early detection and monitoring of Medullary Sponge Kidney.

These advancements hold promise for improving the accuracy and efficiency of Medullary Sponge Kidney diagnosis and management.

📌 Note: While Medullary Sponge Kidney USG is a valuable diagnostic tool, it should be used in conjunction with other clinical assessments and imaging techniques for a comprehensive evaluation.

Medullary Sponge Kidney is a complex condition that requires careful diagnosis and management. Medullary Sponge Kidney USG plays a crucial role in the diagnostic process, providing valuable insights into the condition’s severity and guiding treatment strategies. Early detection through USG can significantly improve patient outcomes and quality of life. As medical technology continues to advance, the diagnostic capabilities for Medullary Sponge Kidney are expected to enhance, offering better management and treatment options for patients.

Related Terms:

  • medullary sponge kidney vs polycystic
  • medullary sponge kidney ultrasound images
  • medullary sponge kidney ultrasound appearance
  • medullary sponge kidney vs normal
  • sponge kidney ultrasound images
  • medullary sponge kidney vs nephrocalcinosis
Facebook Twitter WA
Ashley
Ashley
Author
Passionate content creator delivering insightful articles on technology, lifestyle, and more. Dedicated to bringing quality content that matters.
You Might Like