Mri Of Prostate

Prostate health is a critical aspect of men's overall well-being, and early detection of prostate issues can significantly improve treatment outcomes. One of the most effective diagnostic tools for evaluating prostate health is the MRI of prostate. This non-invasive imaging technique provides detailed images of the prostate gland, helping healthcare professionals to detect and diagnose various conditions, including prostate cancer, benign prostatic hyperplasia (BPH), and prostatitis.

Understanding the Prostate Gland

The prostate is a small, walnut-sized gland located below the bladder and in front of the rectum in men. It plays a crucial role in the male reproductive system by producing a fluid that nourishes and transports sperm. As men age, the prostate can become enlarged, inflamed, or develop cancerous cells, making regular check-ups and diagnostic tests essential.

What is an MRI of Prostate?

An MRI of prostate is a magnetic resonance imaging scan that uses powerful magnets and radio waves to create detailed images of the prostate gland. Unlike other imaging techniques such as ultrasound or CT scans, MRI provides high-resolution images that can detect even small abnormalities within the prostate. This makes it an invaluable tool for diagnosing and staging prostate cancer, as well as monitoring the effectiveness of treatments.

Indications for an MRI of Prostate

An MRI of prostate may be recommended for several reasons, including:

  • Suspected Prostate Cancer: If initial tests, such as a prostate-specific antigen (PSA) blood test or digital rectal exam (DRE), suggest the presence of prostate cancer, an MRI can help confirm the diagnosis and determine the extent of the disease.
  • Active Surveillance: For men with low-risk prostate cancer who choose active surveillance over immediate treatment, regular MRIs can monitor the progression of the disease and help decide when treatment may be necessary.
  • Treatment Planning: MRI images can guide healthcare professionals in planning treatments such as radiation therapy, surgery, or focal therapy, ensuring that the treatment is targeted and effective.
  • Post-Treatment Monitoring: After treatment for prostate cancer, MRIs can help monitor for recurrence or complications, allowing for early intervention if necessary.
  • Other Prostate Conditions: MRI can also be used to diagnose and monitor conditions such as BPH and prostatitis, providing valuable information for treatment planning.

Preparing for an MRI of Prostate

Preparing for an MRI of prostate involves several steps to ensure the procedure is safe and effective. Here are some key points to consider:

  • Consultation with Healthcare Provider: Before the MRI, patients should discuss any medical conditions, allergies, or previous reactions to contrast agents with their healthcare provider.
  • Removal of Metal Objects: Patients must remove any metal objects, such as jewelry, watches, or piercings, as they can interfere with the magnetic field used in MRI.
  • Clothing: Patients may be asked to change into a hospital gown to avoid any metal fasteners or zippers that could interfere with the scan.
  • Contrast Agents: In some cases, a contrast agent may be administered intravenously to enhance the visibility of certain tissues. Patients should inform their healthcare provider if they have any allergies or kidney problems.
  • Endorectal Coil: For a more detailed examination, an endorectal coil may be used. This involves inserting a small coil into the rectum to improve image quality. Patients should discuss any concerns or discomfort with their healthcare provider.

The MRI Procedure

The MRI of prostate procedure typically takes about 30 to 60 minutes. Here is what patients can expect during the scan:

  • Positioning: The patient will lie on their back on a movable table that slides into the MRI machine. The table may have straps or pillows to help the patient stay still.
  • Insertion of Endorectal Coil: If an endorectal coil is used, it will be inserted into the rectum. This may cause some discomfort, but it is generally well-tolerated.
  • Scanning: The MRI machine will produce loud knocking or tapping noises as it takes images. Patients will be given earplugs or headphones to reduce the noise.
  • Staying Still: It is crucial for patients to remain still during the scan to ensure clear images. Any movement can blur the images and require a repeat scan.
  • Communication: Patients can communicate with the technologist through an intercom system if they have any concerns or need to stop the scan.

📝 Note: Patients with claustrophobia may find the MRI machine confining. In such cases, sedation or an open MRI machine may be considered.

Interpreting MRI Results

After the MRI of prostate, a radiologist will review the images and provide a report to the referring healthcare provider. The report will include details about any abnormalities detected, such as:

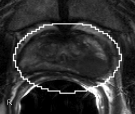
  • Size and Shape of the Prostate: The MRI can show the overall size and shape of the prostate, which can indicate conditions like BPH.
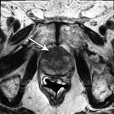
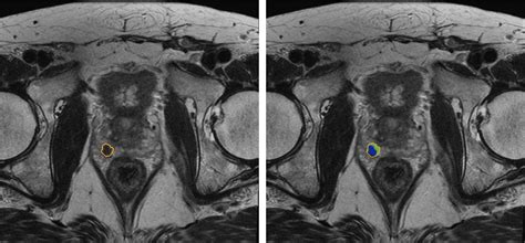
  • Tumors or Lesions: The presence of tumors or lesions within the prostate can be detected and characterized based on their size, shape, and location.
  • Extracapsular Extension: MRI can determine if the cancer has spread beyond the prostate capsule, which is crucial for staging and treatment planning.
  • Lymph Node Involvement: The MRI can also assess nearby lymph nodes for signs of cancer spread.

Benefits of MRI of Prostate

An MRI of prostate offers several benefits over other imaging techniques:

  • High-Resolution Images: MRI provides detailed images that can detect small abnormalities within the prostate.
  • Non-Invasive: Unlike biopsies, MRI is a non-invasive procedure that does not require tissue samples.
  • No Radiation Exposure: MRI uses magnetic fields and radio waves instead of ionizing radiation, making it a safer option for repeated scans.
  • Versatility: MRI can be used to diagnose and monitor a variety of prostate conditions, including cancer, BPH, and prostatitis.
  • Treatment Planning: The detailed images from MRI can guide healthcare professionals in planning targeted treatments.

Limitations of MRI of Prostate

While MRI of prostate is a powerful diagnostic tool, it does have some limitations:

  • Cost: MRI scans can be more expensive than other imaging techniques, such as ultrasound or CT scans.
  • Availability: MRI machines may not be available in all healthcare facilities, especially in rural or remote areas.
  • Contrast Agents: Some patients may have allergies or kidney problems that prevent the use of contrast agents, which can enhance the visibility of certain tissues.
  • Patient Comfort: The procedure can be uncomfortable, especially if an endorectal coil is used. Patients with claustrophobia may also find the MRI machine confining.

Advanced Techniques in MRI of Prostate

Recent advancements in MRI technology have enhanced the diagnostic capabilities of MRI of prostate. Some of the advanced techniques include:

  • Multiparametric MRI (mpMRI): This technique combines multiple MRI sequences, including T2-weighted imaging, diffusion-weighted imaging (DWI), and dynamic contrast-enhanced (DCE) imaging, to provide a comprehensive evaluation of the prostate.
  • Prostate Imaging Reporting and Data System (PI-RADS): This standardized reporting system helps radiologists interpret MRI findings and classify the likelihood of clinically significant prostate cancer.
  • Fusion Biopsy: This technique combines MRI images with real-time ultrasound guidance to perform targeted biopsies, improving the accuracy of cancer detection.

📝 Note: Advanced techniques like mpMRI and fusion biopsy are becoming increasingly important in the diagnosis and management of prostate cancer, offering more precise and personalized treatment options.

Future Directions in MRI of Prostate

The field of prostate MRI is continually evolving, with ongoing research and technological advancements paving the way for even more accurate and efficient diagnostic tools. Some future directions include:

  • Artificial Intelligence (AI): AI algorithms are being developed to assist in the interpretation of MRI images, potentially improving the detection and characterization of prostate cancer.
  • Molecular Imaging: New contrast agents and molecular imaging techniques are being explored to provide more detailed information about the biological characteristics of prostate tumors.
  • Improved Image Quality: Advances in MRI technology, such as higher magnetic field strengths and improved coil designs, are enhancing image quality and diagnostic accuracy.

In conclusion, the MRI of prostate is a valuable diagnostic tool that plays a crucial role in the detection, diagnosis, and management of prostate conditions. Its ability to provide high-resolution images makes it an essential component of modern prostate healthcare. As technology continues to advance, the future of prostate MRI holds even greater promise for improving patient outcomes and quality of life.

Related Terms:

  • mri of the prostate procedure
  • prostate mri preparation day before
  • mri of the prostate cpt
  • mri for prostate cancer screening
  • prostate mri preparation
Facebook Twitter WA
Ashley
Ashley
Author
Passionate content creator delivering insightful articles on technology, lifestyle, and more. Dedicated to bringing quality content that matters.
You Might Like