Mtp Joint Pain

Mtp joint pain, or pain in the metatarsophalangeal joint, is a common issue that affects many individuals, particularly those who are active or have certain foot conditions. This joint, located at the base of the toes, plays a crucial role in walking, running, and maintaining balance. Understanding the causes, symptoms, and treatment options for Mtp joint pain is essential for managing this condition effectively.

Understanding the Mtp Joint

The metatarsophalangeal (Mtp) joint is the joint where the metatarsal bones of the foot meet the phalanges of the toes. This joint is essential for the foot’s range of motion and stability. The Mtp joint allows the toes to bend and straighten, which is vital for activities like walking, running, and jumping. Any disruption or injury to this joint can lead to significant discomfort and mobility issues.

Common Causes of Mtp Joint Pain

Mtp joint pain can arise from various factors, including:

  • Overuse and Strain: Activities that involve repetitive impact on the feet, such as running or dancing, can lead to overuse injuries and strain on the Mtp joint.
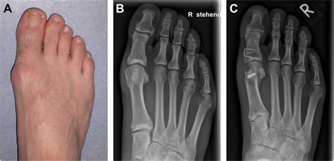
  • Foot Deformities: Conditions like bunions, hammertoes, and claw toes can cause misalignment and increased pressure on the Mtp joint, leading to pain.
  • Arthritis: Both osteoarthritis and rheumatoid arthritis can affect the Mtp joint, causing inflammation, stiffness, and pain.
  • Injuries: Traumatic injuries, such as fractures or dislocations, can damage the Mtp joint and result in chronic pain.
  • Poor Footwear: Wearing shoes that do not provide adequate support or have a poor fit can exacerbate Mtp joint pain.

Symptoms of Mtp Joint Pain

Recognizing the symptoms of Mtp joint pain is the first step in seeking appropriate treatment. Common symptoms include:

  • Pain and Tenderness: Persistent pain and tenderness in the ball of the foot or at the base of the toes.
  • Swelling: Inflammation and swelling around the Mtp joint.
  • Stiffness: Reduced range of motion and stiffness in the affected joint.
  • Difficulty Walking: Pain that worsens with walking or standing for extended periods.
  • Deformities: Visible changes in the shape of the toes or foot, such as bunions or hammertoes.

Diagnosing Mtp Joint Pain

Diagnosing Mtp joint pain typically involves a combination of physical examination and diagnostic tests. A healthcare provider will:

  • Review the patient’s medical history and symptoms.
  • Conduct a physical examination to assess the range of motion, tenderness, and any visible deformities.
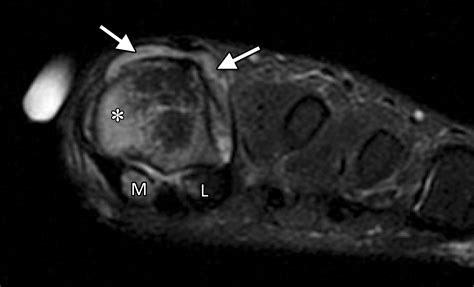
  • Order imaging tests, such as X-rays, MRI, or CT scans, to visualize the joint and surrounding structures.

Treatment Options for Mtp Joint Pain

Treatment for Mtp joint pain depends on the underlying cause and severity of the condition. Common treatment options include:

Conservative Treatments

Conservative treatments are often the first line of defense against Mtp joint pain. These may include:

  • Rest and Ice: Resting the affected foot and applying ice packs to reduce swelling and pain.
  • Medications: Over-the-counter pain relievers, such as ibuprofen or naproxen, can help manage pain and inflammation.
  • Orthotics: Custom orthotic inserts can provide additional support and correct foot alignment.
  • Physical Therapy: Exercises and stretches to improve strength, flexibility, and range of motion in the affected joint.
  • Proper Footwear: Wearing shoes with good arch support and a wide toe box to reduce pressure on the Mtp joint.

Surgical Interventions

In cases where conservative treatments are ineffective, surgical intervention may be necessary. Surgical options include:

  • Bunion Surgery: Correcting bunions to realign the Mtp joint and reduce pain.
  • Joint Replacement: Replacing the damaged joint with an artificial implant.
  • Arthrodesis: Fusing the joint to eliminate pain and improve stability.

📝 Note: Surgical interventions should be considered only after consulting with a healthcare provider and exploring all conservative treatment options.

Preventing Mtp Joint Pain

Preventing Mtp joint pain involves taking proactive measures to maintain foot health and avoid injuries. Some preventive strategies include:

  • Wearing Appropriate Footwear: Choosing shoes that fit well and provide adequate support.
  • Maintaining a Healthy Weight: Excess weight can put additional pressure on the feet and joints.
  • Regular Exercise: Engaging in low-impact exercises to strengthen the muscles and improve flexibility.
  • Stretching: Regularly stretching the feet and toes to maintain range of motion.
  • Avoiding High-Impact Activities: Limiting activities that involve repetitive impact on the feet.

Living with Mtp Joint Pain

Living with Mtp joint pain can be challenging, but with the right management strategies, it is possible to maintain an active lifestyle. Some tips for managing Mtp joint pain include:

  • Pain Management: Using over-the-counter pain relievers and applying ice packs to manage pain and inflammation.
  • Physical Therapy: Engaging in physical therapy exercises to improve strength and flexibility.
  • Orthotics: Using custom orthotic inserts to provide additional support and correct foot alignment.
  • Lifestyle Modifications: Making adjustments to daily activities to reduce pressure on the affected joint.

Mtp joint pain can significantly impact daily activities and quality of life. However, with proper diagnosis, treatment, and preventive measures, it is possible to manage this condition effectively. Understanding the causes, symptoms, and treatment options for Mtp joint pain is crucial for maintaining foot health and overall well-being.

Mtp joint pain is a common issue that affects many individuals, particularly those who are active or have certain foot conditions. This joint, located at the base of the toes, plays a crucial role in walking, running, and maintaining balance. Understanding the causes, symptoms, and treatment options for Mtp joint pain is essential for managing this condition effectively.

Related Terms:

  • mtp joint pain and swelling
  • mtp joint pain icd 10
  • first mtp joint pain
  • mtp joint pain differential
  • mtp joint pain icd
  • metatarsophalangeal joint
Facebook Twitter WA
Ashley
Ashley
Author
Passionate content creator delivering insightful articles on technology, lifestyle, and more. Dedicated to bringing quality content that matters.
You Might Like