Mxailliary Sinus Ct

Understanding the intricacies of a Mxailliary Sinus CT scan is crucial for both medical professionals and patients. This diagnostic tool plays a pivotal role in the detection and management of various sinus-related conditions. By providing detailed images of the sinuses, a Mxailliary Sinus CT scan helps in diagnosing issues that might not be apparent through other methods.

What is a Mxailliary Sinus CT Scan?

A Mxailliary Sinus CT scan, or Computed Tomography scan, is a non-invasive imaging procedure that uses X-rays to create detailed cross-sectional images of the sinuses. These images help doctors to identify abnormalities, infections, or structural issues within the sinuses. The scan is particularly useful for diagnosing conditions such as sinusitis, nasal polyps, and tumors.

How Does a Mxailliary Sinus CT Scan Work?

The Mxailliary Sinus CT scan works by taking multiple X-ray images from different angles around the body. These images are then processed by a computer to create cross-sectional views of the sinuses. The resulting images provide a detailed view of the sinus cavities, allowing doctors to identify any abnormalities.

The process involves several steps:

  • Preparation: The patient is usually asked to remove any metal objects that could interfere with the scan.
  • Positioning: The patient lies on a table that slides into the CT scanner.
  • Scanning: The scanner rotates around the patient, taking multiple X-ray images.
  • Image Processing: The images are processed by a computer to create detailed cross-sectional views.

📝 Note: Patients may be asked to hold their breath during the scan to minimize movement and ensure clear images.

Indications for a Mxailliary Sinus CT Scan

A Mxailliary Sinus CT scan is recommended in various situations, including:

  • Chronic Sinusitis: Persistent sinus infections that do not respond to treatment.
  • Nasal Polyps: Growths in the nasal passages that can cause obstruction.
  • Tumors: Suspected tumors or masses in the sinus area.
  • Trauma: Injuries to the face or sinuses that may require surgical intervention.
  • Pre-Surgical Planning: Detailed imaging to plan for sinus surgery.

Benefits of a Mxailliary Sinus CT Scan

The Mxailliary Sinus CT scan offers several benefits:

  • Detailed Imaging: Provides high-resolution images of the sinuses, allowing for accurate diagnosis.
  • Non-Invasive: Does not require any incisions or injections.
  • Quick Procedure: Typically takes less than 30 minutes to complete.
  • Painless: Generally painless, although some patients may experience discomfort from lying still.

Risks and Limitations

While a Mxailliary Sinus CT scan is generally safe, there are some risks and limitations to consider:

  • Radiation Exposure: The scan involves exposure to X-rays, which can be harmful with repeated or high doses.
  • Allergic Reactions: Some patients may experience allergic reactions to the contrast dye used in certain scans.
  • Limited Soft Tissue Detail: CT scans may not provide as much detail for soft tissues as MRI scans.

📝 Note: Patients who are pregnant or have a history of allergic reactions to contrast dyes should inform their doctor before the scan.

Preparing for a Mxailliary Sinus CT Scan

Preparation for a Mxailliary Sinus CT scan is relatively straightforward. Patients are usually advised to:

  • Remove Metal Objects: Remove any jewelry, clothing with metal fasteners, or other metal objects.
  • Inform the Doctor: Inform the doctor about any allergies, especially to contrast dyes.
  • Follow Instructions: Follow any specific instructions provided by the healthcare provider, such as fasting or avoiding certain medications.

What to Expect During the Scan

During the Mxailliary Sinus CT scan, patients can expect the following:

  • Positioning: The patient will lie on a table that slides into the scanner.
  • Immobility: The patient will need to remain still during the scan to ensure clear images.
  • Noise: The scanner may make loud noises, but earplugs are usually provided.
  • Duration: The scan typically takes less than 30 minutes.

Interpreting the Results

The results of a Mxailliary Sinus CT scan are interpreted by a radiologist, who will look for signs of:

  • Inflammation: Swelling or infection in the sinuses.
  • Obstruction: Blockages in the sinus passages.
  • Abnormal Growths: Polyps, tumors, or other growths.
  • Structural Issues: Deviated septum or other structural abnormalities.

The radiologist will provide a report to the referring doctor, who will then discuss the findings with the patient and recommend appropriate treatment.

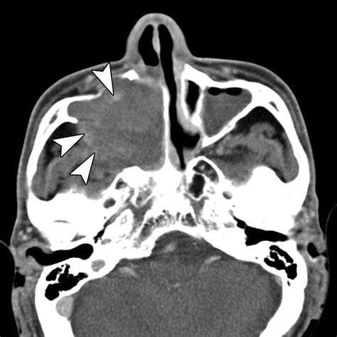
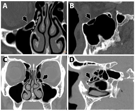
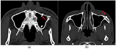
Common Findings in a Mxailliary Sinus CT Scan

Some common findings in a Mxailliary Sinus CT scan include:

  • Sinusitis: Inflammation of the sinuses, often due to infection.
  • Nasal Polyps: Benign growths in the nasal passages.
  • Tumors: Abnormal growths that may be benign or malignant.
  • Fractures: Bone fractures in the sinus area, often due to trauma.
  • Deviated Septum: A misaligned nasal septum that can cause obstruction.

These findings help doctors to diagnose and treat various sinus-related conditions effectively.

Treatment Options Based on Mxailliary Sinus CT Scan Results

Based on the results of a Mxailliary Sinus CT scan, doctors may recommend various treatment options, including:

  • Medications: Antibiotics, decongestants, or corticosteroids to treat infections or reduce inflammation.
  • Surgery: Surgical procedures to remove polyps, correct structural issues, or drain infected sinuses.
  • Lifestyle Changes: Recommendations for lifestyle changes, such as avoiding allergens or using saline nasal rinses.

Follow-Up Care

Follow-up care after a Mxailliary Sinus CT scan depends on the findings and recommended treatment. Patients may need to:

  • Monitor Symptoms: Keep track of symptoms and report any changes to the doctor.
  • Attend Follow-Up Appointments: Schedule and attend follow-up appointments to monitor progress.
  • Adhere to Treatment Plan: Follow the prescribed treatment plan, including medications and lifestyle changes.

📝 Note: Regular follow-up care is essential to ensure effective treatment and prevent complications.

Comparing Mxailliary Sinus CT Scan with Other Imaging Techniques

While a Mxailliary Sinus CT scan is a valuable diagnostic tool, it is not the only imaging technique available. Other methods include:

  • MRI (Magnetic Resonance Imaging): Provides detailed images of soft tissues but does not use radiation.
  • X-Ray: Offers basic images of the sinuses but lacks the detail of a CT scan.
  • Ultrasound: Uses sound waves to create images but is less effective for sinus imaging.

Each technique has its advantages and limitations, and the choice of imaging method depends on the specific needs of the patient and the condition being diagnosed.

Cost Considerations

The cost of a Mxailliary Sinus CT scan can vary depending on several factors, including:

  • Location: Costs can differ based on the geographic location.
  • Facility: Different healthcare facilities may have varying prices.
  • Insurance Coverage: Insurance plans may cover part or all of the cost.

It is advisable to check with the healthcare provider and insurance company to understand the potential costs and coverage.

Patient Experience and Comfort

Patient experience and comfort are important considerations for any medical procedure. During a Mxailliary Sinus CT scan, patients can expect a comfortable and non-invasive experience. However, some patients may feel anxious or claustrophobic in the scanner. To enhance comfort, patients can:

  • Communicate with the Technician: Inform the technician about any discomfort or anxiety.
  • Use Relaxation Techniques: Practice deep breathing or other relaxation techniques.
  • Bring a Companion: Some facilities allow a companion to be present during the scan.

Ensuring a positive patient experience can help reduce anxiety and improve the overall effectiveness of the scan.

The field of medical imaging is continually evolving, and future trends in Mxailliary Sinus CT scanning may include:

  • Advanced Imaging Techniques: Development of more advanced imaging techniques for better detail and accuracy.
  • Artificial Intelligence: Use of AI to enhance image analysis and diagnosis.
  • Reduced Radiation Exposure: Techniques to reduce radiation exposure while maintaining image quality.

These advancements aim to improve the diagnostic capabilities and patient experience of Mxailliary Sinus CT scans.

In conclusion, a Mxailliary Sinus CT scan is a crucial diagnostic tool for identifying and managing sinus-related conditions. By providing detailed images of the sinuses, it helps doctors to diagnose issues such as sinusitis, nasal polyps, and tumors. The scan is non-invasive, quick, and generally painless, making it a valuable option for patients. Understanding the benefits, risks, and preparation involved in a Mxailliary Sinus CT scan can help patients and healthcare providers make informed decisions about treatment and management.

Related Terms:

  • large maxillary sinuses
  • maxillary sinus location
  • maxillary sinus x ray
  • what is the maxillary sinus
  • maxillary sinus pyramid
  • maxillary sinuses diagram
Facebook Twitter WA
Ashley
Ashley
Author
Passionate content creator delivering insightful articles on technology, lifestyle, and more. Dedicated to bringing quality content that matters.
You Might Like