My Gums Are Eroding

Gum erosion is a common dental issue that can lead to significant oral health problems if left untreated. If you find yourself saying, "My gums are eroding," it's crucial to understand the causes, symptoms, and treatment options available. This guide will walk you through everything you need to know about gum erosion, from identifying the signs to seeking professional help.

Understanding Gum Erosion

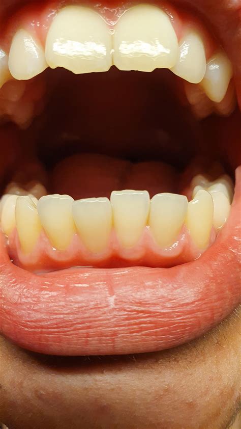
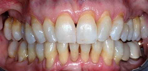
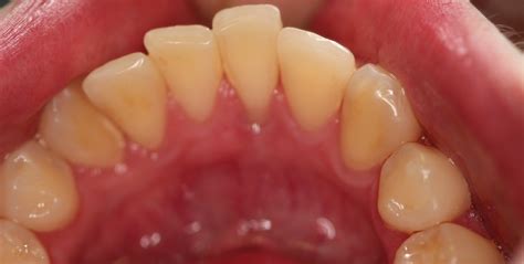
Gum erosion, also known as gum recession, occurs when the gum tissue surrounding the teeth wears away, exposing more of the tooth or the tooth's root. This condition can be caused by a variety of factors, including poor oral hygiene, aggressive brushing, periodontal disease, and even genetic predisposition. Understanding the underlying causes is the first step in addressing the issue effectively.

Common Causes of Gum Erosion

Several factors can contribute to gum erosion. Some of the most common causes include:

  • Poor Oral Hygiene: Inadequate brushing and flossing can lead to the buildup of plaque and tartar, which can irritate the gums and cause them to recede.
  • Aggressive Brushing: Brushing too hard or using a hard-bristled toothbrush can wear away the gum tissue over time.
  • Periodontal Disease: This bacterial infection can destroy the gum tissue and the supporting bone, leading to gum recession.
  • Genetic Predisposition: Some people are naturally more susceptible to gum erosion due to their genetic makeup.
  • Hormonal Changes: Fluctuations in hormone levels, such as those occurring during pregnancy or menopause, can make the gums more sensitive and prone to recession.
  • Tobacco Use: Smoking and chewing tobacco can weaken the immune system and make it harder for the gums to heal.
  • Grinding and Clenching: These habits can put excessive pressure on the teeth and gums, leading to erosion.

Symptoms of Gum Erosion

Recognizing the symptoms of gum erosion is essential for early intervention. Some of the most common signs include:

  • Sensitive Teeth: Exposed tooth roots can make teeth more sensitive to hot, cold, and sweet foods and drinks.
  • Visible Gum Line: The gum line may appear to be pulling away from the teeth, making them look longer.
  • Tooth Discoloration: The exposed root surfaces may appear yellowish compared to the rest of the tooth.
  • Bad Breath: Persistent bad breath can be a sign of gum disease, which is often associated with gum erosion.
  • Loose Teeth: As the supporting bone and tissue are lost, teeth may become loose or shift in position.

Diagnosing Gum Erosion

If you suspect that your gums are eroding, it's important to consult a dental professional. The diagnosis typically involves a thorough examination of your teeth and gums. The dentist may use various tools and techniques to assess the extent of the erosion, including:

  • Visual Examination: The dentist will visually inspect your gums for signs of recession.
  • Probing: A small instrument called a periodontal probe is used to measure the depth of the pockets between the teeth and gums.
  • X-Rays: Dental X-rays can help the dentist evaluate the condition of the supporting bone.
  • Imaging Techniques: In some cases, advanced imaging techniques may be used to get a more detailed view of the gum and bone structure.

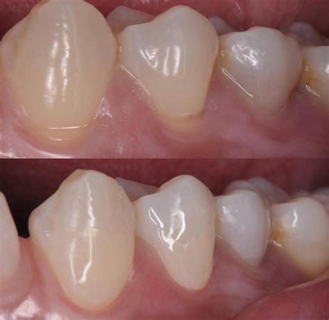
Treatment Options for Gum Erosion

The treatment for gum erosion depends on the underlying cause and the severity of the condition. Some common treatment options include:

  • Improved Oral Hygiene: Maintaining good oral hygiene practices, such as regular brushing and flossing, can help prevent further erosion.
  • Professional Cleaning: Regular dental cleanings can remove plaque and tartar buildup, reducing the risk of gum disease.
  • Scaling and Root Planing: This deep cleaning procedure involves removing bacteria and tartar from below the gum line and smoothing the root surfaces.
  • Gum Grafting: In severe cases, a gum graft may be necessary to cover the exposed root surfaces and restore the gum line.
  • Antibiotic Treatment: Antibiotics may be prescribed to treat any underlying infections.

Preventing Gum Erosion

Preventing gum erosion involves a combination of good oral hygiene practices and regular dental check-ups. Here are some tips to help you maintain healthy gums:

  • Brush Gently: Use a soft-bristled toothbrush and brush gently to avoid damaging the gum tissue.
  • Floss Daily: Flossing helps remove plaque and food particles from between the teeth and below the gum line.
  • Use Mouthwash: An antimicrobial mouthwash can help reduce bacteria in the mouth and prevent gum disease.
  • Regular Dental Check-ups: Schedule regular dental check-ups and cleanings to monitor your oral health and address any issues early.
  • Avoid Tobacco: Quitting smoking and avoiding other forms of tobacco can significantly improve your gum health.
  • Manage Stress: High stress levels can weaken the immune system and make it harder for the gums to heal. Practice stress-reduction techniques such as meditation or yoga.

When to Seek Professional Help

If you notice any signs of gum erosion, it's important to seek professional help as soon as possible. Early intervention can prevent further damage and improve the chances of successful treatment. Some signs that you should see a dentist include:

  • Persistent bad breath
  • Sensitive teeth
  • Visible gum recession
  • Loose teeth
  • Pain or discomfort in the gums

📝 Note: Regular dental check-ups are essential for maintaining good oral health. Even if you don't notice any symptoms, it's important to see your dentist every six months for a thorough examination.

Living with Gum Erosion

Living with gum erosion can be challenging, but with the right care and treatment, it's possible to manage the condition effectively. Here are some tips for living with gum erosion:

  • Follow Your Dentist's Advice: Your dentist will provide you with a personalized treatment plan. Follow their recommendations closely to ensure the best possible outcome.
  • Maintain Good Oral Hygiene: Continue to brush and floss regularly, and use any recommended oral care products.
  • Avoid Hard Foods: Hard or crunchy foods can put additional pressure on the teeth and gums, so try to avoid them if possible.
  • Stay Hydrated: Drinking plenty of water can help keep your mouth moist and reduce the risk of dry mouth, which can exacerbate gum erosion.
  • Manage Stress: High stress levels can weaken the immune system and make it harder for the gums to heal. Practice stress-reduction techniques such as meditation or yoga.

Gum erosion is a common dental issue that can lead to significant oral health problems if left untreated. If you find yourself saying, "My gums are eroding," it's crucial to understand the causes, symptoms, and treatment options available. By maintaining good oral hygiene practices, seeking professional help, and following your dentist's advice, you can effectively manage gum erosion and improve your overall oral health.

Gum erosion is a progressive condition, meaning it can worsen over time if not addressed. Early intervention is key to preventing further damage and improving the chances of successful treatment. Regular dental check-ups and cleanings are essential for maintaining good oral health and catching any issues early. If you notice any signs of gum erosion, such as sensitive teeth, visible gum recession, or persistent bad breath, it's important to see your dentist as soon as possible.

In addition to seeking professional help, there are several steps you can take to manage gum erosion at home. Maintaining good oral hygiene practices, such as brushing and flossing regularly, using an antimicrobial mouthwash, and avoiding hard foods, can help prevent further erosion. Staying hydrated and managing stress levels can also improve your overall oral health and make it easier for your gums to heal.

Living with gum erosion can be challenging, but with the right care and treatment, it's possible to manage the condition effectively. By following your dentist's advice, maintaining good oral hygiene, and making lifestyle changes, you can improve your oral health and reduce the risk of further erosion. Remember, early intervention is key to preventing further damage and improving the chances of successful treatment.

Gum erosion is a common dental issue that can lead to significant oral health problems if left untreated. If you find yourself saying, "My gums are eroding," it's crucial to understand the causes, symptoms, and treatment options available. By maintaining good oral hygiene practices, seeking professional help, and following your dentist's advice, you can effectively manage gum erosion and improve your overall oral health.

Gum erosion is a progressive condition, meaning it can worsen over time if not addressed. Early intervention is key to preventing further damage and improving the chances of successful treatment. Regular dental check-ups and cleanings are essential for maintaining good oral health and catching any issues early. If you notice any signs of gum erosion, such as sensitive teeth, visible gum recession, or persistent bad breath, it's important to see your dentist as soon as possible.

In addition to seeking professional help, there are several steps you can take to manage gum erosion at home. Maintaining good oral hygiene practices, such as brushing and flossing regularly, using an antimicrobial mouthwash, and avoiding hard foods, can help prevent further erosion. Staying hydrated and managing stress levels can also improve your overall oral health and make it easier for your gums to heal.

Living with gum erosion can be challenging, but with the right care and treatment, it's possible to manage the condition effectively. By following your dentist's advice, maintaining good oral hygiene, and making lifestyle changes, you can improve your oral health and reduce the risk of further erosion. Remember, early intervention is key to preventing further damage and improving the chances of successful treatment.

Gum erosion is a common dental issue that can lead to significant oral health problems if left untreated. If you find yourself saying, "My gums are eroding," it's crucial to understand the causes, symptoms, and treatment options available. By maintaining good oral hygiene practices, seeking professional help, and following your dentist's advice, you can effectively manage gum erosion and improve your overall oral health.

Gum erosion is a progressive condition, meaning it can worsen over time if not addressed. Early intervention is key to preventing further damage and improving the chances of successful treatment. Regular dental check-ups and cleanings are essential for maintaining good oral health and catching any issues early. If you notice any signs of gum erosion, such as sensitive teeth, visible gum recession, or persistent bad breath, it's important to see your dentist as soon as possible.

In addition to seeking professional help, there are several steps you can take to manage gum erosion at home. Maintaining good oral hygiene practices, such as brushing and flossing regularly, using an antimicrobial mouthwash, and avoiding hard foods, can help prevent further erosion. Staying hydrated and managing stress levels can also improve your overall oral health and make it easier for your gums to heal.

Living with gum erosion can be challenging, but with the right care and treatment, it's possible to manage the condition effectively. By following your dentist's advice, maintaining good oral hygiene, and making lifestyle changes, you can improve your oral health and reduce the risk of further erosion. Remember, early intervention is key to preventing further damage and improving the chances of successful treatment.

Gum erosion is a common dental issue that can lead to significant oral health problems if left untreated. If you find yourself saying, "My gums are eroding," it's crucial to understand the causes, symptoms, and treatment options available. By maintaining good oral hygiene practices, seeking professional help, and following your dentist's advice, you can effectively manage gum erosion and improve your overall oral health.

Gum erosion is a progressive condition, meaning it can worsen over time if not addressed. Early intervention is key to preventing further damage and improving the chances of successful treatment. Regular dental check-ups and cleanings are essential for maintaining good oral health and catching any issues early. If you notice any signs of gum erosion, such as sensitive teeth, visible gum recession, or persistent bad breath, it's important to see your dentist as soon as possible.

In addition to seeking professional help, there are several steps you can take to manage gum erosion at home. Maintaining good oral hygiene practices, such as brushing and flossing regularly, using an antimicrobial mouthwash, and avoiding hard foods, can help prevent further erosion. Staying hydrated and managing stress levels can also improve your overall oral health and make it easier for your gums to heal.

Living with gum erosion can be challenging, but with the right care and treatment, it's possible to manage the condition effectively. By following your dentist's advice, maintaining good oral hygiene, and making lifestyle changes, you can improve your oral health and reduce the risk of further erosion. Remember, early intervention is key to preventing further damage and improving the chances of successful treatment.

Gum erosion is a common dental issue that can lead to significant oral health problems if left untreated. If you find yourself saying, "My gums are eroding," it's crucial to understand the causes, symptoms, and treatment options available. By maintaining good oral hygiene practices, seeking professional help, and following your dentist's advice, you can effectively manage gum erosion and improve your overall oral health.

Gum erosion is a progressive condition, meaning it can worsen over time if not addressed. Early intervention is key to preventing further damage and improving the chances of successful treatment. Regular dental check-ups and cleanings are essential for maintaining good oral health and catching any issues early. If you notice any signs of gum erosion, such as sensitive teeth, visible gum recession, or persistent bad breath, it's important to see your dentist as soon as possible.

In addition to seeking professional help, there are several steps you can take to manage gum erosion at home. Maintaining good oral hygiene practices, such as brushing and flossing regularly, using an antimicrobial mouthwash, and avoiding hard foods, can help prevent further erosion. Staying hydrated and managing stress levels can also improve your overall oral health and make it easier for your gums to heal.

Living with gum erosion can be challenging, but with the right care and treatment, it's possible to manage the condition effectively. By following your dentist's advice, maintaining good oral hygiene, and making lifestyle changes, you can improve your oral health and reduce the risk of further erosion. Remember, early intervention is key to preventing further damage and improving the chances of successful treatment.

Gum erosion is a common dental issue that can lead to significant oral health problems if left untreated. If you find yourself saying, "My gums are eroding," it's crucial to understand the causes, symptoms, and treatment options available. By maintaining good oral hygiene practices, seeking professional help, and following your dentist's advice, you can effectively manage gum erosion and improve your overall oral health.

Gum erosion is a progressive condition, meaning it can worsen over time if not addressed. Early intervention is key to preventing further damage and improving the chances of successful treatment. Regular dental check-ups and cleanings are essential for maintaining good oral health and catching any issues early. If you notice any signs of gum erosion, such as sensitive teeth, visible gum recession, or persistent bad breath, it's important to see your dentist as soon as possible.

In addition to seeking professional help, there are several steps you can take to manage gum erosion at home. Maintaining good oral hygiene practices, such as brushing and flossing regularly, using an antimicrobial mouthwash, and avoiding hard foods, can help prevent further erosion. Staying hydrated and managing stress levels can also improve your overall oral health and make it easier for your gums to heal.

Living with gum erosion can be challenging, but with the right care and treatment, it's possible to manage the condition effectively. By following your dentist's advice, maintaining good oral hygiene, and making lifestyle changes, you can improve your oral health and reduce the risk of further erosion. Remember, early intervention is key to preventing further damage and improving the chances of successful treatment.

Gum erosion is a common dental issue that can lead to significant oral health problems if left untreated. If you find yourself saying, "My gums are eroding," it's crucial to understand the causes, symptoms, and treatment options available. By maintaining good oral hygiene practices, seeking professional help, and following your dentist's advice, you can effectively manage gum erosion and improve your overall oral health.

Gum erosion is a progressive condition, meaning it can worsen over time if not addressed. Early intervention is key to preventing further damage and improving the chances of successful treatment. Regular dental check-ups and cleanings are essential for maintaining good oral health and catching any issues early. If you notice any signs of gum erosion, such as sensitive teeth, visible gum recession, or persistent bad breath, it's important to see your dentist as soon as possible.

In addition to seeking professional help, there are several steps you can take to manage gum erosion at home. Maintaining good oral hygiene practices, such as brushing and flossing regularly, using an antimicrobial mouthwash, and avoiding hard foods, can help prevent further erosion. Staying hydrated and managing stress levels can also improve your overall oral health and make it easier for your gums to heal.

Living with gum erosion can be challenging, but with the right care and treatment, it's possible to manage the condition effectively. By following your dentist's advice, maintaining good oral hygiene, and making lifestyle changes, you can improve your oral health and reduce the risk of further erosion. Remember, early intervention is key to preventing further damage and improving the chances of successful treatment.

Gum erosion is a common dental issue that can lead to significant oral health problems if left untreated. If you find yourself saying, "My gums are eroding," it's crucial to understand the causes, symptoms, and treatment options available. By maintaining good oral hygiene practices, seeking professional help, and following your dentist's advice, you can effectively manage gum erosion and improve your overall oral health.

Gum erosion is a progressive condition, meaning it can worsen over time if not addressed. Early intervention is key to preventing further damage and improving the chances of successful treatment. Regular dental check-ups and cleanings are essential for maintaining good oral health and catching any issues early. If you notice any signs of gum erosion, such as sensitive teeth, visible gum recession, or persistent bad breath, it's important to see your dentist as soon as possible.

In addition to seeking professional help, there are several steps you can take to manage gum erosion at home. Maintaining good oral hygiene practices, such as brushing and flossing regularly, using an antimicrobial mouthwash, and avoiding hard foods

Related Terms:

  • why are my gums shrinking
  • early signs of receding gums
  • dental care for receding gums
  • how to fix receding gums
  • why does gum recession happen
  • how to stop receding gums
Facebook Twitter WA
Ashley
Ashley
Author
Passionate content creator delivering insightful articles on technology, lifestyle, and more. Dedicated to bringing quality content that matters.
You Might Like