Nondisplaced Bone Fracture

Bone fractures are a common injury that can occur due to various reasons, such as accidents, falls, or sports-related incidents. Among the different types of fractures, a nondisplaced bone fracture is one that is particularly noteworthy due to its unique characteristics and treatment options. Understanding the nuances of a nondisplaced bone fracture is crucial for both medical professionals and individuals who may experience such an injury. This post delves into the details of nondisplaced bone fractures, their causes, symptoms, diagnosis, treatment, and recovery processes.

Understanding Nondisplaced Bone Fractures

A nondisplaced bone fracture occurs when a bone breaks but the broken ends remain aligned and in their proper position. This type of fracture is less severe compared to displaced fractures, where the bone fragments are misaligned. Nondisplaced fractures are often easier to treat and typically have a better prognosis. However, it is essential to understand the underlying mechanisms and risk factors associated with these injuries to ensure proper management and recovery.

Causes of Nondisplaced Bone Fractures

Nondisplaced bone fractures can result from various causes, including:

  • Trauma: Accidents such as falls, car crashes, or sports injuries are common causes of nondisplaced fractures. The impact of these events can cause the bone to break without displacing the fragments.
  • Overuse: Repetitive stress on a bone, often seen in athletes or individuals with physically demanding jobs, can lead to stress fractures. These are a type of nondisplaced fracture that occurs due to overuse rather than a single traumatic event.
  • Osteoporosis: This condition weakens the bones, making them more susceptible to fractures. Even minor falls or impacts can result in a nondisplaced fracture in individuals with osteoporosis.
  • Pathological Conditions: Certain medical conditions, such as bone tumors or infections, can weaken the bone structure, leading to fractures.

Symptoms of Nondisplaced Bone Fractures

The symptoms of a nondisplaced bone fracture can vary depending on the location and severity of the injury. Common symptoms include:

  • Pain: The affected area may experience pain, which can range from mild to severe. The pain may worsen with movement or pressure.
  • Swelling: Swelling is a common symptom and can occur immediately after the injury or develop over time.
  • Bruising: Bruising may appear around the injured area due to broken blood vessels.
  • Limited Mobility: The affected limb or joint may have limited range of motion or be unable to bear weight.
  • Deformity: In some cases, there may be a visible deformity or misalignment, although this is less common in nondisplaced fractures.

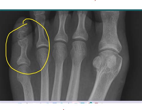
Diagnosing Nondisplaced Bone Fractures

Diagnosing a nondisplaced bone fracture typically involves a combination of physical examination and imaging tests. The diagnostic process may include:

  • Physical Examination: A healthcare provider will examine the injured area, checking for signs of swelling, bruising, and deformity. They may also assess the range of motion and pain levels.
  • Imaging Tests: X-rays are the primary imaging tool used to diagnose bone fractures. They can provide clear images of the bone structure, allowing the healthcare provider to determine the type and extent of the fracture. In some cases, additional imaging tests such as CT scans or MRI may be required for a more detailed assessment.

Treatment Options for Nondisplaced Bone Fractures

The treatment of a nondisplaced bone fracture depends on the location and severity of the injury. Common treatment options include:

  • Immobilization: The affected area is often immobilized using a cast, splint, or brace to prevent movement and promote healing. This is crucial for ensuring that the bone fragments remain in their proper position.
  • Pain Management: Over-the-counter pain relievers or prescription medications may be recommended to manage pain and inflammation. Nonsteroidal anti-inflammatory drugs (NSAIDs) are commonly used for this purpose.
  • Physical Therapy: Once the bone has started to heal, physical therapy may be recommended to restore strength, flexibility, and range of motion. A physical therapist can design a customized exercise program to aid in recovery.
  • Surgery: In some cases, surgery may be required to realign the bone fragments or to insert pins, plates, or screws to stabilize the fracture. This is more common in displaced fractures but may be necessary for complex or severe nondisplaced fractures.

📝 Note: Always follow the advice of your healthcare provider regarding treatment options. They can provide personalized recommendations based on your specific condition and medical history.

Recovery and Rehabilitation

The recovery process for a nondisplaced bone fracture can vary depending on the location and severity of the injury. Generally, the healing time for a nondisplaced fracture is shorter compared to a displaced fracture. The recovery process typically involves several stages:

  • Initial Healing: During the initial healing phase, the focus is on immobilizing the affected area and managing pain. This phase can last from a few weeks to a couple of months, depending on the type of fracture and the individual's overall health.
  • Rehabilitation: Once the bone has started to heal, rehabilitation begins. This may include physical therapy, exercises, and gradual reintroduction of activities to restore strength and mobility. The rehabilitation phase can last several weeks to a few months.
  • Full Recovery: Full recovery is achieved when the bone has healed completely, and the individual can resume normal activities without pain or limitations. This can take several months to a year, depending on the severity of the fracture and the individual's response to treatment.

Preventing Nondisplaced Bone Fractures

While it is not always possible to prevent bone fractures, there are several steps individuals can take to reduce their risk. These include:

  • Maintaining Bone Health: A balanced diet rich in calcium and vitamin D, along with regular exercise, can help maintain bone density and strength. This is particularly important for individuals at risk of osteoporosis.
  • Avoiding Falls: Taking precautions to prevent falls, such as using handrails, wearing appropriate footwear, and removing tripping hazards from the home, can reduce the risk of fractures.
  • Wearing Protective Gear: Athletes and individuals engaged in high-risk activities should wear protective gear, such as helmets, pads, and braces, to protect against injuries.
  • Regular Check-ups: Regular medical check-ups can help identify and manage conditions that may increase the risk of fractures, such as osteoporosis or bone tumors.

Special Considerations for Specific Populations

Certain populations may require special considerations when it comes to nondisplaced bone fractures. These include:

  • Children: Children's bones are still growing, and fractures in children may require different treatment approaches. Growth plates, which are areas of growing tissue near the ends of long bones, can be affected by fractures and may require careful monitoring.
  • Elderly: The elderly are at a higher risk of fractures due to age-related bone loss and increased fall risk. Treatment and rehabilitation may need to be tailored to address age-related factors, such as reduced mobility and chronic health conditions.
  • Athletes: Athletes may experience stress fractures due to repetitive stress on their bones. Proper training techniques, adequate rest, and nutrition are essential for preventing and managing stress fractures in athletes.

Common Myths and Misconceptions

There are several myths and misconceptions surrounding nondisplaced bone fractures. Addressing these can help individuals better understand and manage their injuries. Some common myths include:

  • Myth: Nondisplaced fractures are always minor injuries. While nondisplaced fractures are generally less severe than displaced fractures, they can still be significant injuries that require proper treatment and rehabilitation.
  • Myth: Immobilization is always necessary for nondisplaced fractures. In some cases, immobilization may not be required, especially for minor fractures. However, this should be determined by a healthcare provider based on the specific circumstances of the injury.
  • Myth: Physical therapy is only needed for severe fractures. Physical therapy can be beneficial for all types of fractures, including nondisplaced fractures, to restore strength, flexibility, and range of motion.

📝 Note: Always consult a healthcare provider for accurate information and treatment recommendations. They can provide personalized advice based on your specific condition and medical history.

Case Studies and Real-Life Examples

Understanding real-life examples of nondisplaced bone fractures can provide valuable insights into the diagnosis, treatment, and recovery processes. While specific case studies are not provided here, it is essential to recognize that each individual's experience with a nondisplaced fracture can vary. Factors such as age, overall health, and the specific circumstances of the injury can influence the outcome and recovery process.

For instance, a young athlete with a stress fracture in the foot may require a different treatment approach compared to an elderly individual with a nondisplaced fracture in the wrist. The athlete may benefit from a combination of rest, physical therapy, and gradual reintroduction of activities, while the elderly individual may need additional support to manage pain and mobility issues.

Real-life examples also highlight the importance of adherence to treatment plans and rehabilitation programs. Individuals who follow their healthcare provider's recommendations and engage in physical therapy are more likely to achieve full recovery and return to their normal activities.

Future Directions in Nondisplaced Bone Fracture Management

The field of orthopedics is continually evolving, with new research and technologies emerging to improve the management of nondisplaced bone fractures. Some future directions in this area include:

  • Advanced Imaging Techniques: New imaging technologies, such as 3D imaging and advanced MRI, can provide more detailed and accurate assessments of bone fractures, aiding in diagnosis and treatment planning.
  • Biological Therapies: Research is ongoing into the use of biological therapies, such as stem cells and growth factors, to enhance bone healing and reduce recovery time.
  • Personalized Treatment Plans: Advances in genomics and personalized medicine can help tailor treatment plans to individual patients, taking into account their genetic makeup, overall health, and specific needs.
  • Telemedicine and Remote Monitoring: The use of telemedicine and remote monitoring technologies can improve access to healthcare services and enable better monitoring of patients during the recovery process.

These advancements hold promise for improving the outcomes of nondisplaced bone fracture management, providing patients with more effective and personalized treatment options.

In conclusion, nondisplaced bone fractures are a common type of injury that can occur due to various causes, including trauma, overuse, and underlying medical conditions. Understanding the causes, symptoms, diagnosis, treatment, and recovery processes is essential for managing these injuries effectively. By following the advice of healthcare providers and engaging in appropriate rehabilitation programs, individuals can achieve full recovery and return to their normal activities. Preventive measures, such as maintaining bone health and avoiding falls, can also help reduce the risk of fractures. As research and technology continue to advance, the management of nondisplaced bone fractures is likely to improve, providing patients with better outcomes and a faster return to health.

Related Terms:

  • what does nondisplaced fracture mean
  • non displaced fracture recovery time
  • nondisplaced vs closed fracture
  • displaced vs nondisplaced fractures
  • non displaced fracture vs stress
  • non displaced bone fracture symptoms
Facebook Twitter WA
Ashley
Ashley
Author
Passionate content creator delivering insightful articles on technology, lifestyle, and more. Dedicated to bringing quality content that matters.
You Might Like