Normal Ct Of Brain

Understanding the intricacies of a normal CT of brain is crucial for both medical professionals and patients alike. A CT (Computed Tomography) scan is a powerful diagnostic tool that uses X-rays to create detailed images of the brain. These images help in identifying various conditions, from minor injuries to severe neurological disorders. This post delves into the significance of a normal CT of brain, the process involved, and what the results can reveal.

What is a CT Scan of the Brain?

A CT scan of the brain is a non-invasive procedure that produces cross-sectional images of the brain. These images are generated by a computer that processes data from multiple X-ray measurements taken from different angles. The resulting images provide a detailed view of the brain’s structure, allowing doctors to detect abnormalities that might not be visible through other diagnostic methods.

Why is a Normal CT of Brain Important?

A normal CT of brain serves as a baseline for comparison in future scans. It helps in ruling out serious conditions and provides peace of mind for patients who may be experiencing symptoms that could be attributed to less severe issues. For medical professionals, a normal CT scan is essential for:

  • Diagnosing and monitoring brain injuries, tumors, and other abnormalities.
  • Assessing the extent of damage in cases of stroke or trauma.
  • Guiding treatment plans and surgical interventions.

The Process of a CT Scan

The process of a CT scan is relatively straightforward and typically takes about 15-20 minutes. Here’s a step-by-step guide to what you can expect:

  • Preparation: Patients are usually asked to remove any metal objects, such as jewelry or clothing with metal zippers, as these can interfere with the scan. In some cases, a contrast dye may be administered to enhance the visibility of certain structures.
  • Positioning: The patient lies on a table that slides into the CT scanner. The table may move during the scan to capture images from different angles.
  • Scanning: The scanner rotates around the patient, taking multiple X-ray images. The patient must remain still during this process to ensure clear images.
  • Post-Scan: After the scan, the patient can usually resume normal activities. The images are then analyzed by a radiologist, who provides a report to the referring physician.

Interpreting a Normal CT of Brain

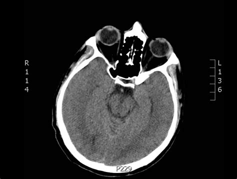
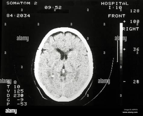
Interpreting a normal CT of brain involves looking for specific features that indicate the absence of abnormalities. Key elements that radiologists examine include:

  • Brain Tissue: The brain tissue should appear uniform and without any signs of swelling, bleeding, or tumors.
  • Ventricles: The ventricles, which are fluid-filled spaces within the brain, should be of normal size and shape.
  • Blood Vessels: The blood vessels should be clear and free of any blockages or aneurysms.
  • Skull and Bones: The skull and surrounding bones should be intact and without fractures or other abnormalities.

Common Findings in a Normal CT of Brain

A normal CT of brain typically reveals the following:

  • Clear and distinct brain tissue with no signs of lesions or tumors.
  • Normal-sized ventricles without any signs of hydrocephalus.
  • No evidence of bleeding or hemorrhaging.
  • Intact skull and bones with no fractures or deformities.

When to Consider a CT Scan

CT scans are often recommended in various situations, including:

  • Head Injuries: After a traumatic head injury, a CT scan can help assess the extent of damage and detect any internal bleeding or fractures.
  • Stroke Symptoms: If a patient exhibits symptoms of a stroke, such as sudden numbness, weakness, or difficulty speaking, a CT scan can quickly identify any blockages or bleeding in the brain.
  • Seizures: For patients experiencing seizures, a CT scan can help identify any underlying structural abnormalities that may be causing the seizures.
  • Persistent Headaches: In cases of persistent or severe headaches, a CT scan can rule out serious conditions like tumors or aneurysms.

Limitations of a CT Scan

While a CT scan is a valuable diagnostic tool, it does have limitations. Some of these include:

  • Radiation Exposure: CT scans involve exposure to ionizing radiation, which can be harmful with repeated or excessive use.
  • Contrast Reactions: Some patients may experience allergic reactions to the contrast dye used in certain scans.
  • Limited Soft Tissue Detail: CT scans are less effective at detecting soft tissue abnormalities compared to MRI scans.

📝 Note: Always consult with a healthcare provider to determine the most appropriate diagnostic test based on individual symptoms and medical history.

Comparing CT Scans and MRI Scans

Both CT scans and MRI scans are used to diagnose brain conditions, but they have different strengths and weaknesses. Here’s a comparison:

Feature CT Scan MRI Scan
Radiation Exposure Yes No
Soft Tissue Detail Limited Excellent
Speed Faster Slower
Cost Generally Lower Generally Higher
Use of Contrast Dye Sometimes Sometimes

Conclusion

A normal CT of brain is a critical diagnostic tool that provides valuable insights into the health of the brain. It helps in ruling out serious conditions, guiding treatment plans, and providing peace of mind for patients. Understanding the process, interpreting the results, and knowing when to consider a CT scan are essential for both medical professionals and patients. While CT scans have limitations, they remain a cornerstone of modern diagnostic medicine, offering quick and detailed images that can save lives.

Related Terms:

  • normal healthy brain ct
  • normal ct scan brain anatomy
  • ct images of brain
  • normal brain ct coronal
  • normal ct brain axial
  • normal ct head with contrast
Facebook Twitter WA
Ashley
Ashley
Author
Passionate content creator delivering insightful articles on technology, lifestyle, and more. Dedicated to bringing quality content that matters.
You Might Like