Normal Lung Xray

Understanding the significance of a normal lung X-ray is crucial for healthcare professionals and patients alike. A lung X-ray is a common diagnostic tool used to visualize the structures within the chest, including the lungs, heart, and bones. This imaging technique helps in the detection of various conditions, from pneumonia to lung cancer. However, interpreting a normal lung X-ray requires a keen eye and a solid understanding of what constitutes normal anatomy.

Understanding Lung X-rays

A lung X-ray, also known as a chest radiograph, is a quick and painless procedure that uses a small amount of radiation to produce images of the chest. These images are then analyzed by radiologists to identify any abnormalities. The primary purpose of a normal lung X-ray is to serve as a baseline for future comparisons, ensuring that any changes in lung health can be detected early.

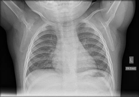
What Does a Normal Lung X-ray Look Like?

A normal lung X-ray typically shows clear lung fields with no signs of inflammation, infection, or other abnormalities. The lungs appear black due to the air they contain, while the heart and other structures appear white. The diaphragm, the muscle that separates the chest from the abdomen, is visible as a curved line at the bottom of the lungs. The ribs and spine are also clearly visible.

Here are some key features of a normal lung X-ray:

  • Clear lung fields with no opacities or infiltrates.
  • Visible heart and mediastinal structures.
  • Clear costophrenic angles (the areas where the ribs meet the diaphragm).
  • No signs of pleural effusion (fluid around the lungs).
  • Normal appearance of the trachea and bronchi.

Interpreting a Normal Lung X-ray

Interpreting a normal lung X-ray involves a systematic approach to ensure that all relevant structures are examined. Radiologists follow a specific protocol to analyze the images:

  • Technique: Ensure the X-ray was taken correctly, with proper exposure and positioning.
  • Airways: Check the trachea and bronchi for any narrowing or obstruction.
  • Lungs: Examine the lung fields for any opacities, infiltrates, or nodules.
  • Heart and Mediastinum: Assess the size and shape of the heart and the mediastinal structures.
  • Diaphragm: Ensure the diaphragm is intact and in the correct position.
  • Pleura: Look for any signs of pleural effusion or thickening.
  • Bones: Check the ribs, spine, and clavicles for any fractures or abnormalities.

Radiologists use a systematic approach to ensure that no detail is missed. This includes comparing the current X-ray with previous images, if available, to detect any changes over time.

Common Abnormalities in Lung X-rays

While a normal lung X-ray shows no signs of disease, it is essential to recognize common abnormalities that may appear on a lung X-ray. These include:

  • Pneumonia: Inflammation of the lung tissue, often caused by infection, which appears as opacities or infiltrates.
  • Lung Cancer: Tumors or nodules that may appear as masses or opacities.
  • Pleural Effusion: Fluid accumulation around the lungs, which appears as a white area at the lung bases.
  • Pneumothorax: Air in the pleural space, which appears as a black area without lung markings.
  • Tuberculosis: Infections that can cause cavitary lesions or nodules.

These abnormalities can significantly impact a patient's health and require prompt diagnosis and treatment.

The Role of a Normal Lung X-ray in Diagnosis

A normal lung X-ray plays a crucial role in the diagnostic process. It serves as a baseline for future comparisons and helps rule out certain conditions. For example, if a patient presents with symptoms of pneumonia, a normal lung X-ray can help rule out this diagnosis, guiding the healthcare provider to consider other potential causes.

In some cases, a normal lung X-ray may be followed by additional imaging studies, such as a CT scan or MRI, to provide a more detailed view of the lungs and surrounding structures. These advanced imaging techniques can detect abnormalities that may not be visible on a standard X-ray.

Preparing for a Lung X-ray

Preparing for a lung X-ray is relatively straightforward. Patients are typically asked to remove any jewelry or clothing that contains metal, as these can interfere with the X-ray images. They may also be asked to wear a hospital gown. The procedure itself is quick and painless, usually taking only a few minutes.

During the X-ray, the patient will be asked to stand or sit in front of the X-ray machine and hold their breath for a brief moment. This helps to ensure that the images are clear and free of motion artifacts.

📝 Note: Patients with pacemakers or other implanted devices should inform their healthcare provider before undergoing an X-ray.

Limitations of Lung X-rays

While a normal lung X-ray is a valuable diagnostic tool, it has certain limitations. X-rays use ionizing radiation, which, although in small amounts, can pose a risk with repeated exposure. Additionally, X-rays may not detect small abnormalities or early-stage diseases, which can be better visualized with more advanced imaging techniques.

Some conditions, such as early-stage lung cancer or small nodules, may not be visible on a normal lung X-ray. In these cases, additional imaging studies, such as a CT scan or MRI, may be recommended to provide a more detailed view of the lungs.

Advanced Imaging Techniques

In addition to a normal lung X-ray, several advanced imaging techniques can provide more detailed information about the lungs and surrounding structures. These include:

  • Computed Tomography (CT) Scan: Provides cross-sectional images of the lungs, allowing for a more detailed view of the lung tissue and any abnormalities.
  • Magnetic Resonance Imaging (MRI): Uses magnetic fields and radio waves to produce detailed images of the lungs and surrounding structures.
  • Positron Emission Tomography (PET) Scan: Combines a CT scan with a radioactive tracer to detect areas of increased metabolic activity, which can indicate the presence of cancer or other diseases.

These advanced imaging techniques are often used in conjunction with a normal lung X-ray to provide a comprehensive evaluation of lung health.

Conclusion

A normal lung X-ray is an essential diagnostic tool that provides valuable information about the health of the lungs and surrounding structures. Understanding what constitutes a normal lung X-ray is crucial for healthcare professionals and patients alike. By recognizing the key features of a normal lung X-ray and being aware of common abnormalities, healthcare providers can make accurate diagnoses and provide appropriate treatment. While a normal lung X-ray has its limitations, it serves as a valuable baseline for future comparisons and can guide the use of more advanced imaging techniques when necessary. Regular lung X-rays can help detect changes in lung health early, ensuring prompt intervention and better outcomes for patients.

Related Terms:

  • lung x ray images
  • abnormal chest x ray symptoms
  • healthy chest x ray male
  • normal chest x ray labeled
  • chest x ray examples
  • chest x ray with labels
Facebook Twitter WA
Ashley
Ashley
Author
Passionate content creator delivering insightful articles on technology, lifestyle, and more. Dedicated to bringing quality content that matters.
You Might Like