Orif Distal Radius

Understanding the Orif Distal Radius is crucial for anyone involved in orthopedics, radiology, or emergency medicine. The distal radius is the part of the radius bone in the forearm that is closest to the wrist. Fractures in this area are common, especially among individuals who have fallen on an outstretched hand. This blog post will delve into the anatomy, common injuries, diagnosis, and treatment options related to the Orif Distal Radius.

Anatomy of the Distal Radius

The distal radius is a critical component of the wrist joint, providing stability and support for the hand. It articulates with the scaphoid and lunate bones of the carpus, forming the radiocarpal joint. The distal radius also has a prominent feature called the radial styloid process, which is a bony prominence on the lateral side of the wrist.

The distal radius is composed of several important structures:

  • Articular Surface: The smooth surface that articulates with the carpal bones.
  • Radial Styloid Process: A bony prominence that provides attachment for ligaments and tendons.
  • Volar and Dorsal Tilt: The angles that determine the alignment of the wrist joint.
  • Ulnar Inclination: The angle between the articular surface and the long axis of the radius.

Common Injuries to the Distal Radius

Injuries to the Orif Distal Radius are prevalent, particularly in elderly individuals and those involved in high-impact activities. The most common types of injuries include:

  • Colles' Fracture: A fracture of the distal radius with dorsal displacement of the distal fragment.
  • Smith's Fracture: A fracture of the distal radius with volar displacement of the distal fragment.
  • Barton's Fracture: A fracture of the distal radius with involvement of the radiocarpal joint.
  • Chauffeur's Fracture: A fracture of the radial styloid process.

Diagnosis of Distal Radius Fractures

Diagnosing a fracture of the Orif Distal Radius involves a combination of clinical examination and imaging studies. The initial step is a thorough history and physical examination, followed by radiographic imaging.

Key diagnostic steps include:

  • Clinical Examination: Assessing swelling, deformity, tenderness, and range of motion.
  • Radiographic Imaging: Obtaining anteroposterior (AP) and lateral views of the wrist to visualize the fracture.
  • Computed Tomography (CT) Scan: Used for complex fractures to provide detailed images of the bone structure.
  • Magnetic Resonance Imaging (MRI): Occasionally used to assess soft tissue injuries associated with the fracture.

Treatment Options for Distal Radius Fractures

The treatment of distal radius fractures depends on the severity of the injury, the patient's age, and overall health. Treatment options range from non-surgical management to surgical intervention.

Non-Surgical Treatment

Non-surgical treatment is often sufficient for stable, minimally displaced fractures. This may include:

  • Immobilization: Using a cast or splint to immobilize the wrist and allow the bone to heal.
  • Pain Management: Medications to manage pain and inflammation.
  • Physical Therapy: Exercises to restore range of motion and strength once the fracture has healed.

Surgical Treatment

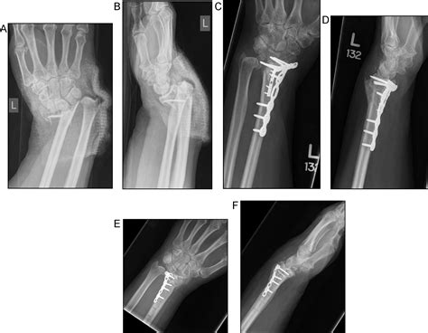
Surgical intervention is often necessary for displaced or unstable fractures. The most common surgical procedure for Orif Distal Radius fractures is open reduction and internal fixation (ORIF).

ORIF involves:

  • Open Reduction: Surgical exposure of the fracture site to realign the bone fragments.
  • Internal Fixation: Use of plates, screws, or pins to stabilize the fracture and promote healing.

Other surgical options include:

  • External Fixation: Use of an external frame to stabilize the fracture.
  • Percutaneous Pinning: Insertion of pins through the skin to hold the bone fragments in place.

Post-Operative Care and Rehabilitation

Post-operative care is crucial for a successful recovery from Orif Distal Radius surgery. This includes:

  • Immobilization: Use of a cast or splint for a period to protect the surgical site.
  • Pain Management: Medications to manage post-operative pain.
  • Physical Therapy: Gradual introduction of exercises to restore range of motion and strength.

Rehabilitation typically involves several phases:

  • Acute Phase: Focus on pain management and protection of the surgical site.
  • Subacute Phase: Introduction of gentle range-of-motion exercises.
  • Chronic Phase: Progressive strengthening and functional exercises.

📝 Note: It is essential to follow the rehabilitation protocol prescribed by the healthcare provider to ensure optimal recovery.

Complications of Distal Radius Fractures

While most distal radius fractures heal without complications, there are potential issues that can arise. These include:

  • Malunion: Healing of the fracture in a non-anatomical position, leading to deformity and functional impairment.
  • Nonunion: Failure of the fracture to heal, requiring further surgical intervention.
  • Compartment Syndrome: Increased pressure within the muscle compartments of the forearm, which can lead to tissue damage.
  • Nerve and Tendon Injuries: Damage to nerves or tendons near the fracture site.

Prevention of Distal Radius Fractures

Preventing distal radius fractures involves several strategies, particularly for individuals at higher risk, such as the elderly. Key preventive measures include:

  • Fall Prevention: Ensuring a safe environment to reduce the risk of falls.
  • Bone Health: Maintaining adequate calcium and vitamin D intake to support bone strength.
  • Exercise: Regular physical activity to improve bone density and muscle strength.
  • Protective Gear: Using appropriate protective equipment during high-impact activities.

For individuals with osteoporosis or other bone-related conditions, additional measures may be necessary, such as medication to improve bone density.

In summary, understanding the Orif Distal Radius is essential for effective diagnosis and treatment of distal radius fractures. From anatomy and common injuries to diagnostic methods and treatment options, a comprehensive approach is necessary for optimal patient care. Post-operative care and rehabilitation play a crucial role in recovery, and preventive measures can help reduce the risk of future injuries. By following these guidelines, healthcare providers can ensure the best possible outcomes for patients with distal radius fractures.

Related Terms:

  • orif distal radius icd 10
  • orif distal radius rehab protocol
  • cpt orif distal radius
  • orif distal radius therapy protocol
  • orif distal radius xr
  • orif distal radius fracture
Facebook Twitter WA
Ashley
Ashley
Author
Passionate content creator delivering insightful articles on technology, lifestyle, and more. Dedicated to bringing quality content that matters.
You Might Like