Osgood Schlatter Icd 10

Osgood-Schlatter disease is a common cause of knee pain in growing adolescents, particularly those who are physically active. This condition, also known as Osgood Schlatter Icd 10 M92.0, is characterized by inflammation and irritation of the patellar tendon at the tibial tuberosity, the bony bump just below the kneecap. Understanding the symptoms, causes, diagnosis, and treatment options for Osgood-Schlatter disease is crucial for managing this condition effectively.

Understanding Osgood-Schlatter Disease

Osgood-Schlatter disease primarily affects adolescents during their growth spurts, typically between the ages of 10 and 15 for boys and 8 and 13 for girls. It is more prevalent in athletes and individuals who engage in activities that involve running, jumping, and sudden changes in direction, such as soccer, basketball, and gymnastics. The condition is named after the doctors who first described it, Robert Osgood and Carl Schlatter.

Symptoms of Osgood-Schlatter Disease

The most common symptom of Osgood-Schlatter disease is pain and tenderness just below the kneecap, at the tibial tuberosity. Other symptoms may include:

  • Swelling and redness around the affected area
  • Pain that worsens with physical activity, especially during sports or exercise
  • Pain that improves with rest
  • A noticeable bump below the kneecap, which may be more prominent in severe cases

In some cases, the pain may be so severe that it interferes with daily activities and participation in sports. It is important to note that the symptoms of Osgood-Schlatter disease can vary from person to person, and some individuals may experience mild discomfort, while others may have more severe pain.

Causes of Osgood-Schlatter Disease

Osgood-Schlatter disease is primarily caused by repetitive stress and strain on the patellar tendon, which connects the kneecap to the shinbone. During growth spurts, the bones, muscles, and tendons grow at different rates, leading to increased tension on the patellar tendon. This tension can cause micro-tears and inflammation at the tibial tuberosity, resulting in pain and swelling.

Several factors can contribute to the development of Osgood-Schlatter disease, including:

  • Overuse and repetitive stress on the knee, often from sports or physical activities
  • Growth spurts, during which the bones grow faster than the muscles and tendons
  • Tightness in the quadriceps muscles and hamstrings, which can increase tension on the patellar tendon
  • Weakness in the quadriceps muscles, which can lead to increased stress on the patellar tendon

Diagnosing Osgood-Schlatter Disease

Diagnosing Osgood-Schlatter disease typically involves a physical examination and a review of the patient's medical history. The healthcare provider will ask about the symptoms, the onset of pain, and any recent changes in physical activity. They will also perform a physical examination to assess the affected knee, checking for tenderness, swelling, and any visible bumps.

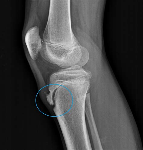
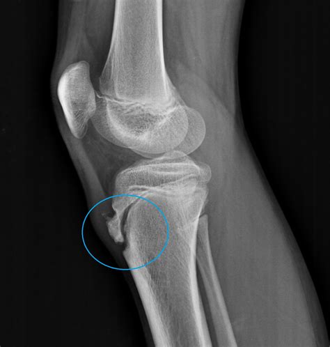
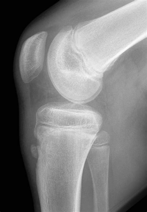
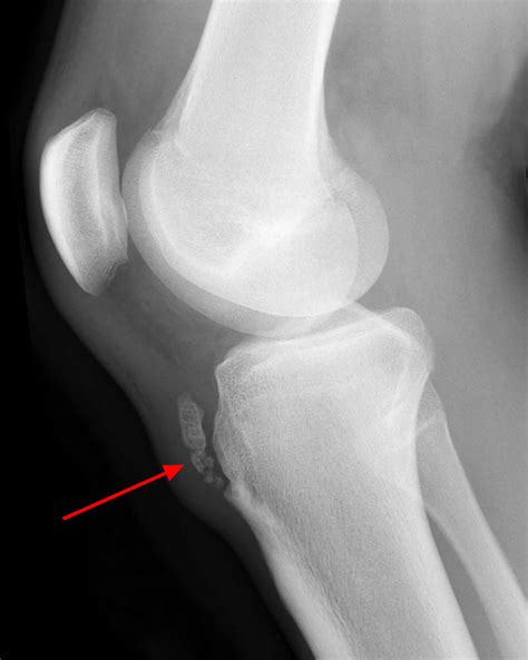
In some cases, imaging tests such as X-rays, ultrasound, or MRI may be ordered to rule out other conditions and confirm the diagnosis. These tests can help visualize the tibial tuberosity and the patellar tendon, providing a clearer picture of the inflammation and any underlying issues.

Treatment Options for Osgood-Schlatter Disease

The treatment for Osgood-Schlatter disease focuses on reducing pain and inflammation, promoting healing, and preventing further injury. Treatment options may include:

Rest and Activity Modification

Resting the affected knee and avoiding activities that exacerbate the pain is essential for allowing the inflammation to subside. This may involve taking a break from sports or physical activities for a period of time. Activity modification, such as switching to low-impact exercises like swimming or cycling, can help maintain fitness levels while reducing stress on the knee.

Ice and Compression

Applying ice to the affected area for 15-20 minutes, several times a day, can help reduce pain and inflammation. Compression, using an elastic bandage or knee sleeve, can also help control swelling and provide support to the knee.

Pain Management

Over-the-counter pain relievers such as ibuprofen or naproxen can help manage pain and reduce inflammation. It is important to follow the dosage instructions and consult a healthcare provider before taking any medication, especially for children and adolescents.

Physical Therapy

Physical therapy can play a crucial role in the treatment of Osgood-Schlatter disease. A physical therapist can design a customized exercise program to strengthen the quadriceps, hamstrings, and other muscles around the knee. Stretching exercises can help improve flexibility and reduce tension on the patellar tendon. Some common exercises may include:

  • Quad sets: Tightening the quadriceps muscles while keeping the knee straight
  • Straight leg raises: Lifting the leg while keeping the knee straight
  • Hamstring curls: Bending the knee while lying on the stomach
  • Calf raises: Standing on the toes and lowering down

Physical therapy may also include modalities such as ultrasound or electrical stimulation to promote healing and reduce pain.

Bracing and Support

Wearing a knee brace or patellar tendon strap can help reduce stress on the patellar tendon and provide additional support to the knee. These devices can be particularly helpful during physical activities or sports.

Surgical Intervention

In rare cases, surgical intervention may be necessary to remove the bony prominence at the tibial tuberosity. This procedure is typically reserved for severe cases where conservative treatments have failed to provide relief. Surgery is usually followed by a period of rehabilitation to restore strength and flexibility to the knee.

📝 Note: It is important to consult a healthcare provider before starting any treatment plan for Osgood-Schlatter disease. They can provide personalized recommendations based on the individual's symptoms, severity of the condition, and overall health.

Preventing Osgood-Schlatter Disease

While it may not be possible to completely prevent Osgood-Schlatter disease, especially during growth spurts, there are several strategies that can help reduce the risk of developing this condition:

  • Gradually increasing the intensity and duration of physical activities to allow the body to adapt
  • Warming up before exercise and cooling down afterward to prepare the muscles and tendons for activity
  • Stretching regularly to maintain flexibility and reduce tension on the patellar tendon
  • Strengthening the quadriceps, hamstrings, and other muscles around the knee to provide better support
  • Wearing appropriate footwear and using supportive equipment during sports and physical activities
  • Taking breaks and resting the knee when pain or discomfort is experienced

Long-Term Outlook

Osgood-Schlatter disease is typically a self-limiting condition, meaning it resolves on its own once the growth plates have closed. Most individuals with Osgood-Schlatter disease experience a full recovery and are able to return to their normal activities without any long-term complications. However, it is important to follow the recommended treatment plan and take necessary precautions to prevent further injury.

In some cases, individuals may continue to experience pain or discomfort in the affected knee, even after the growth plates have closed. This can be due to residual inflammation or the development of a bony prominence at the tibial tuberosity. If symptoms persist, it is important to consult a healthcare provider for further evaluation and treatment.

Osgood-Schlatter disease can be a challenging condition to manage, but with the right treatment and preventive measures, most individuals can achieve a full recovery and return to their normal activities. Understanding the symptoms, causes, and treatment options for Osgood-Schlatter disease is essential for managing this condition effectively and promoting long-term knee health.

Osgood-Schlatter disease is a common cause of knee pain in growing adolescents, particularly those who are physically active. This condition, also known as Osgood Schlatter Icd 10 M92.0, is characterized by inflammation and irritation of the patellar tendon at the tibial tuberosity, the bony bump just below the kneecap. Understanding the symptoms, causes, diagnosis, and treatment options for Osgood-Schlatter disease is crucial for managing this condition effectively.

Osgood-Schlatter disease primarily affects adolescents during their growth spurts, typically between the ages of 10 and 15 for boys and 8 and 13 for girls. It is more prevalent in athletes and individuals who engage in activities that involve running, jumping, and sudden changes in direction, such as soccer, basketball, and gymnastics. The condition is named after the doctors who first described it, Robert Osgood and Carl Schlatter.

Osgood-Schlatter disease is primarily caused by repetitive stress and strain on the patellar tendon, which connects the kneecap to the shinbone. During growth spurts, the bones, muscles, and tendons grow at different rates, leading to increased tension on the patellar tendon. This tension can cause micro-tears and inflammation at the tibial tuberosity, resulting in pain and swelling.

Several factors can contribute to the development of Osgood-Schlatter disease, including:

  • Overuse and repetitive stress on the knee, often from sports or physical activities
  • Growth spurts, during which the bones grow faster than the muscles and tendons
  • Tightness in the quadriceps muscles and hamstrings, which can increase tension on the patellar tendon
  • Weakness in the quadriceps muscles, which can lead to increased stress on the patellar tendon

Diagnosing Osgood-Schlatter disease typically involves a physical examination and a review of the patient's medical history. The healthcare provider will ask about the symptoms, the onset of pain, and any recent changes in physical activity. They will also perform a physical examination to assess the affected knee, checking for tenderness, swelling, and any visible bumps.

In some cases, imaging tests such as X-rays, ultrasound, or MRI may be ordered to rule out other conditions and confirm the diagnosis. These tests can help visualize the tibial tuberosity and the patellar tendon, providing a clearer picture of the inflammation and any underlying issues.

The treatment for Osgood-Schlatter disease focuses on reducing pain and inflammation, promoting healing, and preventing further injury. Treatment options may include:

Rest and Activity Modification

Resting the affected knee and avoiding activities that exacerbate the pain is essential for allowing the inflammation to subside. This may involve taking a break from sports or physical activities for a period of time. Activity modification, such as switching to low-impact exercises like swimming or cycling, can help maintain fitness levels while reducing stress on the knee.

Ice and Compression

Applying ice to the affected area for 15-20 minutes, several times a day, can help reduce pain and inflammation. Compression, using an elastic bandage or knee sleeve, can also help control swelling and provide support to the knee.

Pain Management

Over-the-counter pain relievers such as ibuprofen or naproxen can help manage pain and reduce inflammation. It is important to follow the dosage instructions and consult a healthcare provider before taking any medication, especially for children and adolescents.

Physical Therapy

Physical therapy can play a crucial role in the treatment of Osgood-Schlatter disease. A physical therapist can design a customized exercise program to strengthen the quadriceps, hamstrings, and other muscles around the knee. Stretching exercises can help improve flexibility and reduce tension on the patellar tendon. Some common exercises may include:

  • Quad sets: Tightening the quadriceps muscles while keeping the knee straight
  • Straight leg raises: Lifting the leg while keeping the knee straight
  • Hamstring curls: Bending the knee while lying on the stomach
  • Calf raises: Standing on the toes and lowering down

Physical therapy may also include modalities such as ultrasound or electrical stimulation to promote healing and reduce pain.

Bracing and Support

Wearing a knee brace or patellar tendon strap can help reduce stress on the patellar tendon and provide additional support to the knee. These devices can be particularly helpful during physical activities or sports.

Surgical Intervention

In rare cases, surgical intervention may be necessary to remove the bony prominence at the tibial tuberosity. This procedure is typically reserved for severe cases where conservative treatments have failed to provide relief. Surgery is usually followed by a period of rehabilitation to restore strength and flexibility to the knee.

While it may not be possible to completely prevent Osgood-Schlatter disease, especially during growth spurts, there are several strategies that can help reduce the risk of developing this condition:

  • Gradually increasing the intensity and duration of physical activities to allow the body to adapt
  • Warming up before exercise and cooling down afterward to prepare the muscles and tendons for activity
  • Stretching regularly to maintain flexibility and reduce tension on the patellar tendon
  • Strengthening the quadriceps, hamstrings, and other muscles around the knee to provide better support
  • Wearing appropriate footwear and using supportive equipment during sports and physical activities
  • Taking breaks and resting the knee when pain or discomfort is experienced

Osgood-Schlatter disease is typically a self-limiting condition, meaning it resolves on its own once the growth plates have closed. Most individuals with Osgood-Schlatter disease experience a full recovery and are able to return to their normal activities without any long-term complications. However, it is important to follow the recommended treatment plan and take necessary precautions to prevent further injury.

In some cases, individuals may continue to experience pain or discomfort in the affected knee, even after the growth plates have closed. This can be due to residual inflammation or the development of a bony prominence at the tibial tuberosity. If symptoms persist, it is important to consult a healthcare provider for further evaluation and treatment.

Osgood-Schlatter disease can be a challenging condition to manage, but with the right treatment and preventive measures, most individuals can achieve a full recovery and return to their normal activities. Understanding the symptoms, causes, and treatment options for Osgood-Schlatter disease is essential for managing this condition effectively and promoting long-term knee health.

Osgood-Schlatter disease is a common cause of knee pain in growing adolescents, particularly those who are physically active. This condition, also known as Osgood Schlatter Icd 10 M92.0, is characterized by inflammation and irritation of the patellar tendon at the tibial tuberosity, the bony bump just below the kneecap. Understanding the symptoms, causes, diagnosis, and treatment options for Osgood-Schlatter disease is crucial for managing this condition effectively.

Osgood-Schlatter disease primarily affects adolescents during their growth spurts, typically between the ages of 10 and 15 for boys and 8 and 13 for girls. It is more prevalent in athletes and individuals who engage in activities that involve running, jumping, and sudden changes in direction, such as soccer, basketball, and gymnastics. The condition is named after the doctors who first described it, Robert Osgood and Carl Schlatter.

Osgood-Schlatter disease is primarily caused by repetitive stress and strain on the patellar tendon, which connects the kneecap to the shinbone. During growth spurts, the bones, muscles, and tendons grow at different rates, leading to increased tension on the patellar tendon. This tension can cause micro-tears and inflammation at the tibial tuberosity, resulting in pain and swelling.

Several factors can contribute to the development of Osgood-Schlatter disease, including:

  • Overuse and repetitive stress on the knee, often from sports or physical activities
  • Growth spurts, during which the bones grow faster than the muscles and tendons
  • Tightness in the quadriceps muscles and hamstrings, which can increase tension on the patellar tendon
  • Weakness in the quadriceps muscles, which can lead to increased stress on the patellar tendon

Diagnosing Osgood-Schlatter disease typically involves a physical examination and a review of the patient's medical history. The healthcare provider will ask about the symptoms, the onset of pain, and any recent changes in physical activity. They will also perform a physical examination to assess the affected knee, checking for tenderness, swelling, and any visible bumps.

In some cases, imaging tests such as X-rays, ultrasound, or MRI may be ordered to rule out other conditions and confirm the diagnosis. These tests can help visualize the tibial tuberosity and the patellar tendon, providing a clearer picture of the inflammation and any underlying issues.

The treatment for Osgood-Schlatter disease focuses on reducing pain and inflammation, promoting healing, and preventing further injury. Treatment options may include:

Rest and Activity Modification

Resting the affected knee and avoiding activities that exacerbate the pain is essential for allowing the inflammation to subside. This may involve taking a break from sports or physical activities for a period of time. Activity modification, such as switching to low-impact exercises like swimming or cycling, can help maintain fitness levels while reducing stress on the knee.

Ice and Compression

Applying ice to the affected area for 15-20 minutes, several times a day, can help reduce pain and inflammation. Compression, using an elastic bandage or knee sleeve, can also help control swelling and provide support to the knee.

Pain Management

Over-the-counter pain relievers such as ibuprofen or naproxen can help manage pain and reduce inflammation. It is important to follow the dosage instructions and consult a healthcare provider before taking any medication, especially for children and adolescents.

Physical Therapy

Physical therapy can play a crucial role in the treatment of Osgood-Schlatter disease. A physical therapist can design a customized exercise program to strengthen the quadriceps, hamstrings, and other muscles around the knee. Stretching exercises can help improve flexibility and reduce tension on the patellar tendon. Some common exercises may include:

  • Quad sets: Tightening the quadriceps muscles while keeping the knee straight
  • Straight leg raises: Lifting the leg while keeping the knee straight
  • Hamstring curls: Bending the knee while lying on the stomach
  • Calf raises: Standing on the toes and lowering down

Physical therapy may also include modalities such as ultrasound or electrical stimulation to promote healing and reduce pain.

Bracing and Support

Wearing a knee brace or patellar tendon strap can help reduce stress on the patellar tendon and provide additional support to the knee. These devices can be particularly helpful during physical activities or sports.

Surgical Intervention

Related Terms:

  • osgood schlatter disease tests
  • osgood schlatter syndrome icd 10
  • osgood schlatter disease assessment
  • osgood schlatter diagnostic test
  • differential diagnosis of osgood schlatter
  • right osgood schlatter icd 10
Facebook Twitter WA
Ashley
Ashley
Author
Passionate content creator delivering insightful articles on technology, lifestyle, and more. Dedicated to bringing quality content that matters.
You Might Like