Perianal Abscesses Pictures

Perianal abscesses are a common yet often misunderstood medical condition. These abscesses occur around the anus and can cause significant discomfort and pain. Understanding the causes, symptoms, and treatment options for perianal abscesses is crucial for anyone experiencing these issues. This post will delve into the details of perianal abscesses, including what they are, how they are diagnosed, and the various treatment options available. Additionally, we will explore the importance of seeking medical attention and the potential complications if left untreated.

What Are Perianal Abscesses?

Perianal abscesses are collections of pus that form near the anus. They are typically caused by an infection in the anal glands, which can become blocked and infected. This condition is more common in individuals with certain risk factors, such as those with inflammatory bowel disease, diabetes, or a weakened immune system. Perianal abscesses can be quite painful and may require medical intervention for proper treatment.

Causes of Perianal Abscesses

The primary cause of perianal abscesses is an infection in the anal glands. These glands can become blocked, leading to the accumulation of pus. Several factors can increase the risk of developing a perianal abscess:

  • Inflammatory Bowel Disease (IBD): Conditions like Crohn’s disease and ulcerative colitis can increase the risk of abscesses.
  • Diabetes: High blood sugar levels can weaken the immune system, making it harder to fight infections.
  • Weakened Immune System: Conditions or medications that suppress the immune system can increase susceptibility to infections.
  • Anal Fissures or Fistulas: These conditions can create openings for bacteria to enter and cause infections.
  • Poor Hygiene: Inadequate cleaning of the anal area can lead to bacterial infections.

Symptoms of Perianal Abscesses

Recognizing the symptoms of a perianal abscess is the first step in seeking appropriate treatment. Common symptoms include:

  • Pain and Swelling: Severe pain and swelling around the anus are typical symptoms.
  • Redness and Warmth: The affected area may appear red and feel warm to the touch.
  • Drainage: There may be drainage of pus from the abscess.
  • Fever: Some individuals may experience a low-grade fever.
  • Difficulty Sitting or Walking: The pain can make it difficult to sit or walk comfortably.

Diagnosing Perianal Abscesses

Diagnosing a perianal abscess typically involves a physical examination by a healthcare provider. The doctor will examine the affected area and may ask about symptoms and medical history. In some cases, additional tests may be necessary to confirm the diagnosis or rule out other conditions. These tests may include:

  • Blood Tests: To check for signs of infection or inflammation.
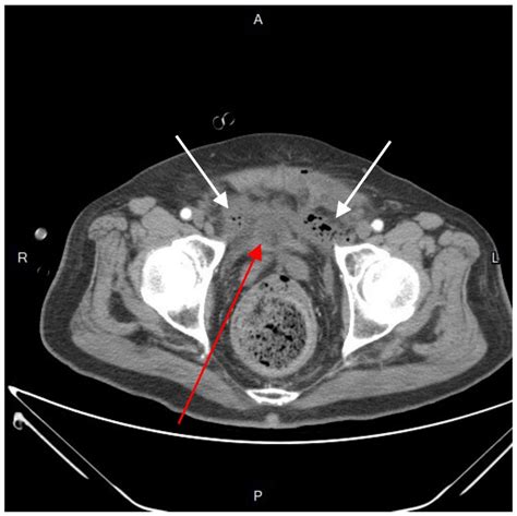
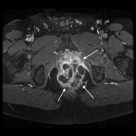
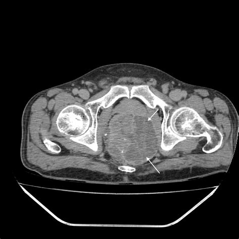
  • Imaging Tests: Such as an ultrasound or CT scan to visualize the abscess and surrounding tissues.
  • Endoscopy: In some cases, an endoscopy may be performed to examine the rectum and colon.

Treatment Options for Perianal Abscesses

Treatment for perianal abscesses typically involves draining the abscess to relieve pain and prevent further infection. The specific treatment approach may vary depending on the severity and location of the abscess. Common treatment options include:

  • Incision and Drainage: This procedure involves making a small incision in the abscess to drain the pus. It is usually performed under local anesthesia.
  • Antibiotics: In some cases, antibiotics may be prescribed to treat the infection, especially if the abscess is severe or if the individual has a weakened immune system.
  • Sitz Baths: Soaking the affected area in warm water can help relieve pain and promote healing.
  • Pain Management: Over-the-counter pain relievers or prescription medications may be recommended to manage pain.

Perianal Abscesses Pictures

Visual aids can be incredibly helpful in understanding medical conditions. While it’s important to note that viewing perianal abscesses pictures can be graphic and may not be suitable for all audiences, they can provide a clear understanding of what these abscesses look like. These images often show the redness, swelling, and drainage associated with the condition. If you are considering viewing such images, it is advisable to do so under the guidance of a healthcare professional.

Complications of Perianal Abscesses

If left untreated, perianal abscesses can lead to several complications. Some of the potential complications include:

  • Recurrent Abscesses: Without proper treatment, abscesses can recur, leading to chronic pain and discomfort.
  • Fistulas: An abscess that does not heal properly can develop into a fistula, which is an abnormal connection between the infected gland and the skin surface.
  • Sepsis: In rare cases, the infection can spread to the bloodstream, leading to a serious condition called sepsis.
  • Scarring: Repeated infections and treatments can lead to scarring and tissue damage.

Preventing Perianal Abscesses

While not all perianal abscesses can be prevented, there are several steps individuals can take to reduce their risk:

  • Maintain Good Hygiene: Keep the anal area clean and dry to prevent bacterial infections.
  • Manage Chronic Conditions: Properly manage conditions like diabetes and inflammatory bowel disease to reduce the risk of infections.
  • Avoid Constipation: A high-fiber diet and adequate hydration can help prevent constipation, which can reduce the risk of abscesses.
  • Seek Prompt Treatment: If you experience symptoms of a perianal abscess, seek medical attention promptly to prevent complications.

📌 Note: Always consult a healthcare provider for medical advice tailored to your specific situation.

Perianal abscesses are a serious condition that requires prompt medical attention. Understanding the causes, symptoms, and treatment options can help individuals seek appropriate care and prevent complications. If you suspect you have a perianal abscess, do not hesitate to consult a healthcare provider for a proper diagnosis and treatment plan. Early intervention can significantly improve outcomes and reduce the risk of recurrence.

Related Terms:

  • perianal abscess teachmesurgery
  • perianal abscess i&d cpt
  • perianal abscess drainage
  • perianal abscess incision and drainage
  • idsa guidelines perianal abscess
  • perianal vs perirectal abscess wikem
Facebook Twitter WA
Ashley
Ashley
Author
Passionate content creator delivering insightful articles on technology, lifestyle, and more. Dedicated to bringing quality content that matters.
You Might Like